> Antigen, Antibodies, ELISA, Western Blot > Primary Antibody > Polyclonal Antibodies > P450SCC / CYP11A1 Antibody (aa78-418)Brand |
Leading Biology | Catalog Number |
APR08903G |
Product Type |
Polyclonal Antibodies | Field of Research |
|
Product Overview |
We constantly strive to ensure we provide our customers with the best antibodies. As a result of this work we offer this antibody in purified format.
We are in the process of updating our datasheets. If you have any questions regarding this update, please feel free to contact our technical support team.
This product is a high quality P450SCC / CYP11A1 antibody (aa78-418).
|
||
Molecular Weight |
60kDa
|
||
Cellular Localization |
Antigen Cellular Localization:
Mitochondrion membrane.
|
||
Host |
Rabbit
|
||
Species Reactivity |
Human
|
||
Target |
Human P450SCC / CYP11A1
|
||
Symbol |
CYP11A
|
||
GeneID |
|||
UniProt ID |
|||
Function |
Catalyzes the side-chain cleavage reaction of cholesterol to pregnenolone.
|
||
Summary |
Catalyzes the side-chain cleavage reaction of cholesterol to pregnenolone.
|
||
Form |
Liquid. In PBS containing 0.02% sodium azide. |
||
Storage & Stability |
Store at +4°C short term. For long-term storage, aliquot and store at -20°C or below. Stable for 12 months at -20°C. Avoid repeated freeze-thaw cycles.
|
||
Applications |
WB, IHC-P
|
||
Dilution |
IHC-P (5-10 μg/ml)
|
||
Synonyms |
Cholesterol side-chain cleavage enzyme, mitochondrial, 1.14.15.6, CYPXIA1, Cholesterol desmolase, Cytochrome P450 11A1, Cytochrome P450(scc), CYP11A1, CYP11A
|
||
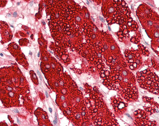
Images |
Human Adrenal: Formalin-Fixed, Paraffin-Embedded (FFPE) |
||
Specification |
|||
Quantity |
|
||
| Select | Brand | Catalog No. | Product Name | Pack Size | Type | Field of Research | Specification | Quantity | Price(USD) | |
| 1 | Leading Biology | APR03440G | ITGA11 Antibody (N-term) | 100 μl | Polyclonal Antibodies |
|
$495.00 | Add Ask | ||
| 2 | Leading Biology | APR04537G | CMIP Antibody (C-term) | 100 μl | Polyclonal Antibodies |
|
$495.00 | Add Ask | ||
| 3 | Leading Biology | APR12422G | Human H4 Histamine Receptor (extracellular) Antibody | 50 μl | Polyclonal Antibodies |
|
$695.00 | Add Ask | ||
| 4 | Leading Biology | APR03844G | UBE2W Antibody (C-term) | 100 μl | Polyclonal Antibodies |
|
$495.00 | Add Ask | ||
| 5 | Leading Biology | APR04349G | HECTD2 Antibody (N-term) | 100 μl | Polyclonal Antibodies |
|
$495.00 | Add Ask | ||
| 6 | Leading Biology | APR03502G | IGHG1 Antibody (Center) | 100 μl | Polyclonal Antibodies |
|
$495.00 | Add Ask |
Leading Biology Inc.
2600 Hilltop DR, Building G, B Suite C138
Richmond, CA, 94806
Tel: 1-661-524(LBI)-0262
Email: info@leadingbiology.com
Complete this form and click send to ask us a question, request a quote or simply say hello.

You have 0 item in your cart

You have 0 item in your inquiry list