> Antigen, Antibodies, ELISA, Western Blot > Primary Antibody > Polyclonal Antibodies > GGT1 / GGT Antibody (N-Terminus)Brand |
Leading Biology | Catalog Number |
AMM04772G |
Product Type |
Polyclonal Antibodies | Field of Research |
|
Product Overview |
We constantly strive to ensure we provide our customers with the best antibodies. As a result of this work we offer this antibody in purified format.
We are in the process of updating our datasheets. If you have any questions regarding this update, please feel free to contact our technical support team.
This product is a high quality GGT1 / GGT antibody (N-Terminus).
|
||
Molecular Weight |
61kDa
|
||
Cellular Localization |
Antigen Cellular Localization:
Cell membrane; Single-pass type II membrane protein
|
||
Host |
Goat
|
||
Species Reactivity |
Human, Monkey
|
||
Target |
Human GGT1 / GGT. Reported variants represent identical protein: NP_038347.2, NP_001027536.1, NP_001027537.1, NP_005256.2.
|
||
Symbol |
GGT
|
||
GeneID |
|||
UniProt ID |
|||
Function |
Cleaves the gamma-glutamyl bond of extracellular glutathione (gamma-Glu-Cys-Gly), glutathione conjugates, and other gamma-glutamyl compounds. The metabolism of glutathione releases free glutamate and the dipeptide, cysteinyl-glycine, which is hydrolyzed to cysteine and glycine by dipeptidases. In the presence of high concentrations of dipeptides and some amino acids, can also catalyze a transpeptidation reaction, transferring the gamma-glutamyl moiety to an acceptor amino acid to form a new gamma-glutamyl compound. Initiates extracellular glutathione (GSH) breakdown, provides cells with a local cysteine supply and contributes to maintain intracellular GSH level. It is part of the cell antioxidant defense mechanism. Isoform 3 seems to be inactive.
|
||
Summary |
Cleaves the gamma-glutamyl bond of extracellular glutathione (gamma-Glu-Cys-Gly), glutathione conjugates, and other gamma-glutamyl compounds. The metabolism of glutathione releases free glutamate and the dipeptide, cysteinyl-glycine, which is hydrolyzed to cysteine and glycine by dipeptidases. In the presence of high concentrations of dipeptides and some amino acids, can also catalyze a transpeptidation reaction, transferring the gamma-glutamyl moiety to an acceptor amino acid to form a new gamma-glutamyl compound. Initiates extracellular glutathione (GSH) breakdown, provides cells with a local cysteine supply and contributes to maintain intracellular GSH level. It is part of the cell antioxidant defense mechanism. Isoform 3 seems to be inactive.
|
||
Form |
Liquid |
||
Storage & Stability |
Store at +4°C short term. For long-term storage, aliquot and store at -20°C or below. Stable for 12 months at -20°C. Avoid repeated freeze-thaw cycles.
|
||
Applications |
WB, IHC-P, E
|
||
Dilution |
ELISA (1:128000), IHC-P (5 μg/ml), WB (0.3-1 μg/ml)
|
||
Synonyms |
Gamma-glutamyltranspeptidase 1, GGT 1, 2.3.2.2, Gamma-glutamyltransferase 1, Glutathione hydrolase 1, 3.4.19.13, Leukotriene-C4 hydrolase, 3.4.19.14, CD224, Gamma-glutamyltranspeptidase 1 heavy chain, Gamma-glutamyltranspeptidase 1 light chain, GGT1, GGT
|
||
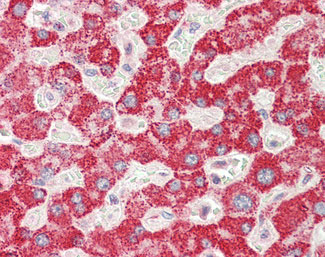
Images |
GGT1 antibody (0.3 ug/ml) staining of Human Kidney lysate (35 ug protein in RIPA buffer).
Anti-GGT1 / GGT antibody IHC staining of human liver. |
||
Specification |
|||
Quantity |
|
||
| Select | Brand | Catalog No. | Product Name | Pack Size | Type | Field of Research | Specification | Quantity | Price(USD) | |
| 1 | Leading Biology | APR03440G | ITGA11 Antibody (N-term) | 100 μl | Polyclonal Antibodies |
|
$495.00 | Add Ask | ||
| 2 | Leading Biology | APR04537G | CMIP Antibody (C-term) | 100 μl | Polyclonal Antibodies |
|
$495.00 | Add Ask | ||
| 3 | Leading Biology | APR12422G | Human H4 Histamine Receptor (extracellular) Antibody | 50 μl | Polyclonal Antibodies |
|
$695.00 | Add Ask | ||
| 4 | Leading Biology | APR03844G | UBE2W Antibody (C-term) | 100 μl | Polyclonal Antibodies |
|
$495.00 | Add Ask | ||
| 5 | Leading Biology | APR04349G | HECTD2 Antibody (N-term) | 100 μl | Polyclonal Antibodies |
|
$495.00 | Add Ask | ||
| 6 | Leading Biology | APR03502G | IGHG1 Antibody (Center) | 100 μl | Polyclonal Antibodies |
|
$495.00 | Add Ask |
Leading Biology Inc.
2600 Hilltop DR, Building G, B Suite C138
Richmond, CA, 94806
Tel: 1-661-524(LBI)-0262
Email: info@leadingbiology.com
Complete this form and click send to ask us a question, request a quote or simply say hello.

You have 0 item in your cart

You have 0 item in your inquiry list