> Antigen, Antibodies, ELISA, Western Blot > Primary Antibody > Polyclonal Antibodies > NLGN2 / Neuroligin 2 Antibody (Internal)Brand |
Leading Biology | Catalog Number |
AMM06710G |
Product Type |
Polyclonal Antibodies | Field of Research |
|
Product Overview |
We constantly strive to ensure we provide our customers with the best antibodies. As a result of this work we offer this antibody in purified format.
We are in the process of updating our datasheets. If you have any questions regarding this update, please feel free to contact our technical support team.
This product is a high quality NLGN2 / Neuroligin 2 antibody (Internal).
|
||
Molecular Weight |
91kDa
|
||
Cellular Localization |
Antigen Cellular Localization:
Cell membrane; Single-pass type I membrane protein. Cell junction, synapse, postsynaptic cell membrane. Cell junction, synapse, presynaptic cell membrane. Note=Detected at postsynaptic membranes in brain. Detected at dendritic spines in cultured neurons. Colocalizes with GPHN and ARHGEF9 at neuronal cell membranes (By similarity). Localized at presynaptic membranes in retina. Colocalizes with GABRG2 at inhibitory synapses in the retina (By similarity).
|
||
Host |
Goat
|
||
Species Reactivity |
Human, Monkey
|
||
Target |
Human NLGN2.
|
||
Symbol |
KIAA1366
|
||
GeneID |
|||
UniProt ID |
|||
Function |
Transmembrane scaffolding protein involved in cell-cell interactions via its interactions with neurexin family members. Mediates cell-cell interactions both in neurons and in other types of cells, such as Langerhans beta cells. Plays a role in synapse function and synaptic signal transmission, especially via gamma- aminobutyric acid receptors (GABA(A) receptors). Functions by recruiting and clustering synaptic proteins. Promotes clustering of postsynaptic GABRG2 and GPHN. Modulates signaling by inhibitory synapses, and thereby plays a role in controlling the ratio of signaling by excitatory and inhibitory synapses and information processing. Required for normal signal amplitude from inhibitory synapses, but is not essential for normal signal frequency. May promote the initial formation of synapses, but is not essential for this. In vitro, triggers the de novo formation of presynaptic structures. Mediates cell-cell interactions between Langerhans beta cells and modulates insulin secretion (By similarity).
|
||
Summary |
Transmembrane scaffolding protein involved in cell-cell interactions via its interactions with neurexin family members. Mediates cell-cell interactions both in neurons and in other types of cells, such as Langerhans beta cells. Plays a role in synapse function and synaptic signal transmission, especially via gamma- aminobutyric acid receptors (GABA(A) receptors). Functions by recruiting and clustering synaptic proteins. Promotes clustering of postsynaptic GABRG2 and GPHN. Modulates signaling by inhibitory synapses, and thereby plays a role in controlling the ratio of signaling by excitatory and inhibitory synapses and information processing. Required for normal signal amplitude from inhibitory synapses, but is not essential for normal signal frequency. May promote the initial formation of synapses, but is not essential for this. In vitro, triggers the de novo formation of presynaptic structures. Mediates cell-cell interactions between Langerhans beta cells and modulates insulin secretion (By similarity).
|
||
Form |
Liquid |
||
Storage & Stability |
Store at +4°C short term. For long-term storage, aliquot and store at -20°C or below. Stable for 12 months at -20°C. Avoid repeated freeze-thaw cycles.
|
||
Applications |
WB, IHC-P, E
|
||
Dilution |
ELISA (1:8000), IHC-P (5 μg/ml), WB (1-3 μg/ml)
|
||
Synonyms |
Neuroligin-2, NLGN2, KIAA1366
|
||
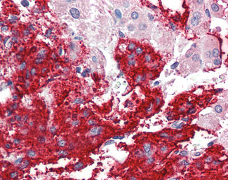
Images |
Anti-NLGN2 / Neuroligin 2 antibody IHC staining of human adrenal.
Antibody (0.1 ug/ml) staining of Human Pancreas lysate (35 ug protein in RIPA buffer). |
||
Specification |
|||
Quantity |
|
||
| Select | Brand | Catalog No. | Product Name | Pack Size | Type | Field of Research | Specification | Quantity | Price(USD) | |
| 1 | Leading Biology | APR03440G | ITGA11 Antibody (N-term) | 100 μl | Polyclonal Antibodies |
|
$495.00 | Add Ask | ||
| 2 | Leading Biology | APR04537G | CMIP Antibody (C-term) | 100 μl | Polyclonal Antibodies |
|
$495.00 | Add Ask | ||
| 3 | Leading Biology | APR12422G | Human H4 Histamine Receptor (extracellular) Antibody | 50 μl | Polyclonal Antibodies |
|
$695.00 | Add Ask | ||
| 4 | Leading Biology | APR03844G | UBE2W Antibody (C-term) | 100 μl | Polyclonal Antibodies |
|
$495.00 | Add Ask | ||
| 5 | Leading Biology | APR04349G | HECTD2 Antibody (N-term) | 100 μl | Polyclonal Antibodies |
|
$495.00 | Add Ask | ||
| 6 | Leading Biology | APR03502G | IGHG1 Antibody (Center) | 100 μl | Polyclonal Antibodies |
|
$495.00 | Add Ask |
Leading Biology Inc.
2600 Hilltop DR, Building G, B Suite C138
Richmond, CA, 94806
Tel: 1-661-524(LBI)-0262
Email: info@leadingbiology.com
Complete this form and click send to ask us a question, request a quote or simply say hello.

You have 0 item in your cart

You have 0 item in your inquiry list