> Antigen, Antibodies, ELISA, Western Blot > Primary Antibody > Polyclonal Antibodies > ZIC3 Antibody (aa178-189)Brand |
Leading Biology | Catalog Number |
APR14039G |
Product Type |
Polyclonal Antibodies | Field of Research |
|
Product Overview |
We constantly strive to ensure we provide our customers with the best antibodies. As a result of this work we offer this antibody in purified format.
We are in the process of updating our datasheets. If you have any questions regarding this update, please feel free to contact our technical support team.
This product is a high quality ZIC3 antibody (aa178-189).
|
||
Molecular Weight |
51kDa
|
||
Cellular Localization |
Antigen Cellular Localization:
Nucleus. Cytoplasm. Note=Localizes in the cytoplasm in presence of MDFIC overexpression (By similarity). Translocation to the nucleus requires KPNA1 or KPNA6.
|
||
Host |
Goat
|
||
Species Reactivity |
Human, Mouse, Rat, Rabbit, Monkey, Horse, Bovine, Guinea Pig, Dog
|
||
Target |
Human ZIC3. This antibody is expected to NOT cross-react with other ZIC proteins.
|
||
Symbol |
ZNF203
|
||
GeneID |
|||
UniProt ID |
|||
Function |
Acts as transcriptional activator. Required in the earliest stages in both axial midline development and left-right (LR) asymmetry specification. Binds to the minimal GLI-consensus sequence 5'-GGGTGGTC-3'.
|
||
Summary |
Acts as transcriptional activator. Required in the earliest stages in both axial midline development and left-right (LR) asymmetry specification. Binds to the minimal GLI-consensus sequence 5'-GGGTGGTC-3'.
|
||
Form |
Liquid |
||
Storage & Stability |
Store at +4°C short term. For long-term storage, aliquot and store at -20°C or below. Stable for 12 months at -20°C. Avoid repeated freeze-thaw cycles.
|
||
Applications |
IHC-P, E
|
||
Dilution |
ELISA (1:64000), IHC-P (5 μg/ml),
|
||
Synonyms |
Zinc finger protein ZIC 3, Zinc finger protein 203, Zinc finger protein of the cerebellum 3, ZIC3, ZNF203
|
||
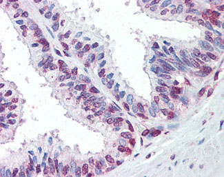
Images |
Anti-ZIC3 antibody IHC staining of human prostate. |
||
Specification |
|||
Quantity |
|
||
| Select | Brand | Catalog No. | Product Name | Pack Size | Type | Field of Research | Specification | Quantity | Price(USD) | |
| 1 | Leading Biology | APR03440G | ITGA11 Antibody (N-term) | 100 μl | Polyclonal Antibodies |
|
$495.00 | Add Ask | ||
| 2 | Leading Biology | APR04537G | CMIP Antibody (C-term) | 100 μl | Polyclonal Antibodies |
|
$495.00 | Add Ask | ||
| 3 | Leading Biology | APR12422G | Human H4 Histamine Receptor (extracellular) Antibody | 50 μl | Polyclonal Antibodies |
|
$695.00 | Add Ask | ||
| 4 | Leading Biology | APR03844G | UBE2W Antibody (C-term) | 100 μl | Polyclonal Antibodies |
|
$495.00 | Add Ask | ||
| 5 | Leading Biology | APR04349G | HECTD2 Antibody (N-term) | 100 μl | Polyclonal Antibodies |
|
$495.00 | Add Ask | ||
| 6 | Leading Biology | APR03502G | IGHG1 Antibody (Center) | 100 μl | Polyclonal Antibodies |
|
$495.00 | Add Ask |
Leading Biology Inc.
2600 Hilltop DR, Building G, B Suite C138
Richmond, CA, 94806
Tel: 1-661-524(LBI)-0262
Email: info@leadingbiology.com
Complete this form and click send to ask us a question, request a quote or simply say hello.

You have 0 item in your cart

You have 0 item in your inquiry list