> Antigen, Antibodies, ELISA, Western Blot > Primary Antibody > Polyclonal Antibodies > STAU1 / Staufen Antibody (C-Terminus)Brand |
Leading Biology | Catalog Number |
APR13567G |
Product Type |
Polyclonal Antibodies | Field of Research |
|
Product Overview |
We constantly strive to ensure we provide our customers with the best antibodies. As a result of this work we offer this antibody in purified format.
We are in the process of updating our datasheets. If you have any questions regarding this update, please feel free to contact our technical support team.
This product is a high quality STAU1 / Staufen antibody (C-Terminus).
|
||
Molecular Weight |
63kDa
|
||
Cellular Localization |
Antigen Cellular Localization:
Cytoplasm. Rough endoplasmic reticulum Note=Localizes exclusively with the rough reticulum endoplasmic (RER)
|
||
Host |
Rabbit
|
||
Species Reactivity |
Human, Mouse, Rat
|
||
Target |
Human STAU1
|
||
Symbol |
STAU
|
||
GeneID |
|||
UniProt ID |
|||
Function |
Binds double-stranded RNA (regardless of the sequence) and tubulin. May play a role in specific positioning of mRNAs at given sites in the cell by cross-linking cytoskeletal and RNA components, and in stimulating their translation at the site.
|
||
Summary |
Binds double-stranded RNA (regardless of the sequence) and tubulin. May play a role in specific positioning of mRNAs at given sites in the cell by cross-linking cytoskeletal and RNA components, and in stimulating their translation at the site.
|
||
Form |
Liquid |
||
Storage & Stability |
Store at +4°C short term. For long-term storage, aliquot and store at -20°C or below. Stable for 12 months at -20°C. Avoid repeated freeze-thaw cycles.
|
||
Applications |
WB, IHC-P, IF, E
|
||
Dilution |
IHC-P (5 μg/ml), WB (1-2 μg/ml),
|
||
Synonyms |
Double-stranded RNA-binding protein Staufen homolog 1, STAU1, STAU
|
||
Images |
Immunofluorescence of STAU1 in Human Brain cells with STAU1 antibody at 20 ug/ml.
Western blot analysis of STAU1 in rat brain tissue lysate with STAU1 antibody at (A) 1 and (B) 2...
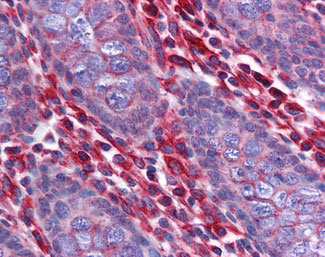
Anti-STAU1 / Staufen antibody IHC of human colon. |
||
Specification |
|||
Quantity |
|
||
| Select | Brand | Catalog No. | Product Name | Pack Size | Type | Field of Research | Specification | Quantity | Price(USD) | |
| 1 | Leading Biology | APR03440G | ITGA11 Antibody (N-term) | 100 μl | Polyclonal Antibodies |
|
$495.00 | Add Ask | ||
| 2 | Leading Biology | APR04537G | CMIP Antibody (C-term) | 100 μl | Polyclonal Antibodies |
|
$495.00 | Add Ask | ||
| 3 | Leading Biology | APR12422G | Human H4 Histamine Receptor (extracellular) Antibody | 50 μl | Polyclonal Antibodies |
|
$695.00 | Add Ask | ||
| 4 | Leading Biology | APR03844G | UBE2W Antibody (C-term) | 100 μl | Polyclonal Antibodies |
|
$495.00 | Add Ask | ||
| 5 | Leading Biology | APR04349G | HECTD2 Antibody (N-term) | 100 μl | Polyclonal Antibodies |
|
$495.00 | Add Ask | ||
| 6 | Leading Biology | APR03502G | IGHG1 Antibody (Center) | 100 μl | Polyclonal Antibodies |
|
$495.00 | Add Ask |
Leading Biology Inc.
2600 Hilltop DR, Building G, B Suite C138
Richmond, CA, 94806
Tel: 1-661-524(LBI)-0262
Email: info@leadingbiology.com
Complete this form and click send to ask us a question, request a quote or simply say hello.

You have 0 item in your cart

You have 0 item in your inquiry list