> Antigen, Antibodies, ELISA, Western Blot > Primary Antibody > Polyclonal Antibodies > LRRK2 Antibody (C-Terminus)Brand |
Leading Biology | Catalog Number |
APR12471G |
Product Type |
Polyclonal Antibodies | Field of Research |
|
Product Overview |
We constantly strive to ensure we provide our customers with the best antibodies. As a result of this work we offer this antibody in purified format.
We are in the process of updating our datasheets. If you have any questions regarding this update, please feel free to contact our technical support team.
This product is a high quality LRRK2 antibody (C-Terminus).
|
||
Molecular Weight |
286kDa
|
||
Cellular Localization |
Antigen Cellular Localization:
Membrane; Peripheral membrane protein. Cytoplasm. Perikaryon. Mitochondrion. Golgi apparatus. Cell projection, axon. Cell projection, dendrite. Endoplasmic reticulum. Cytoplasmic vesicle, secretory vesicle, synaptic vesicle membrane; Peripheral membrane protein; Cytoplasmic side. Endosome. Lysosome. Mitochondrion outer membrane Mitochondrion inner membrane. Mitochondrion matrix. Note=Predominantly associated with intracytoplasmic vesicular and membranous structures (By similarity). Localized in the cytoplasm and associated with cellular membrane structures Predominantly associated with the mitochondrial outer membrane of the mitochondria. Colocalized with RAB29 along tubular structures emerging from Golgi apparatus. Localizes in intracytoplasmic punctate structures of neuronal perikarya and dendritic and axonal processes.
|
||
Host |
Goat
|
||
Species Reactivity |
Human, Rabbit, Bovine
|
||
Target |
Human LRRK2.
|
||
Symbol |
PARK8
|
||
GeneID |
|||
UniProt ID |
|||
Function |
Positively regulates autophagy through a calcium- dependent activation of the CaMKK/AMPK signaling pathway. The process involves activation of nicotinic acid adenine dinucleotide phosphate (NAADP) receptors, increase in lysosomal pH, and calcium release from lysosomes. Together with RAB29, plays a role in the retrograde trafficking pathway for recycling proteins, such as mannose 6 phosphate receptor (M6PR), between lysosomes and the Golgi apparatus in a retromer-dependent manner. Regulates neuronal process morphology in the intact central nervous system (CNS). Plays a role in synaptic vesicle trafficking. Phosphorylates PRDX3. Has GTPase activity. May play a role in the phosphorylation of proteins central to Parkinson disease.
|
||
Summary |
Positively regulates autophagy through a calcium- dependent activation of the CaMKK/AMPK signaling pathway. The process involves activation of nicotinic acid adenine dinucleotide phosphate (NAADP) receptors, increase in lysosomal pH, and calcium release from lysosomes. Together with RAB29, plays a role in the retrograde trafficking pathway for recycling proteins, such as mannose 6 phosphate receptor (M6PR), between lysosomes and the Golgi apparatus in a retromer-dependent manner. Regulates neuronal process morphology in the intact central nervous system (CNS). Plays a role in synaptic vesicle trafficking. Phosphorylates PRDX3. Has GTPase activity. May play a role in the phosphorylation of proteins central to Parkinson disease.
|
||
Form |
Liquid |
||
Storage & Stability |
Store at +4°C short term. For long-term storage, aliquot and store at -20°C or below. Stable for 12 months at -20°C. Avoid repeated freeze-thaw cycles.
|
||
Applications |
WB, IHC-P, E
|
||
Dilution |
ELISA (1:64000), IHC-P (5 μg/ml), WB (0.3-1 μg/ml)
|
||
Synonyms |
Leucine-rich repeat serine/threonine-protein kinase 2, 2.7.11.1, Dardarin, LRRK2, PARK8
|
||
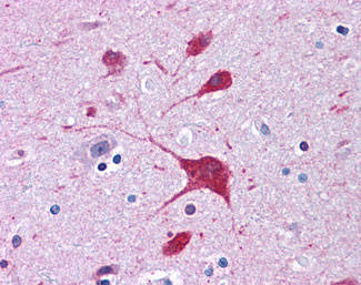
Images |
Anti-LRRK2 antibody IHC of human brain, cortex. |
||
Specification |
|||
Quantity |
|
||
| Select | Brand | Catalog No. | Product Name | Pack Size | Type | Field of Research | Specification | Quantity | Price(USD) | |
| 1 | Leading Biology | APR03440G | ITGA11 Antibody (N-term) | 100 μl | Polyclonal Antibodies |
|
$495.00 | Add Ask | ||
| 2 | Leading Biology | APR04537G | CMIP Antibody (C-term) | 100 μl | Polyclonal Antibodies |
|
$495.00 | Add Ask | ||
| 3 | Leading Biology | APR12422G | Human H4 Histamine Receptor (extracellular) Antibody | 50 μl | Polyclonal Antibodies |
|
$695.00 | Add Ask | ||
| 4 | Leading Biology | APR03844G | UBE2W Antibody (C-term) | 100 μl | Polyclonal Antibodies |
|
$495.00 | Add Ask | ||
| 5 | Leading Biology | APR04349G | HECTD2 Antibody (N-term) | 100 μl | Polyclonal Antibodies |
|
$495.00 | Add Ask | ||
| 6 | Leading Biology | APR03502G | IGHG1 Antibody (Center) | 100 μl | Polyclonal Antibodies |
|
$495.00 | Add Ask |
Leading Biology Inc.
2600 Hilltop DR, Building G, B Suite C138
Richmond, CA, 94806
Tel: 1-661-524(LBI)-0262
Email: info@leadingbiology.com
Complete this form and click send to ask us a question, request a quote or simply say hello.

You have 0 item in your cart

You have 0 item in your inquiry list