> Antigen, Antibodies, ELISA, Western Blot > Primary Antibody > Polyclonal Antibodies > SCD1 / SCD Antibody (C-Terminus)Brand |
Leading Biology | Catalog Number |
AMR09824G |
Product Type |
Polyclonal Antibodies | Field of Research |
|
Product Overview |
We constantly strive to ensure we provide our customers with the best antibodies. As a result of this work we offer this antibody in purified format.
We are in the process of updating our datasheets. If you have any questions regarding this update, please feel free to contact our technical support team.
This product is a high quality SCD1 / SCD antibody (C-Terminus).
|
||
Molecular Weight |
42kDa
|
||
Cellular Localization |
Antigen Cellular Localization:
Endoplasmic reticulum membrane; Multi-pass membrane protein
|
||
Host |
Goat
|
||
Species Reactivity |
Human
|
||
Target |
Human SCD.
|
||
GeneID |
|||
UniProt ID |
|||
Function |
Terminal component of the liver microsomal stearyl-CoA desaturase system, that utilizes O(2) and electrons from reduced cytochrome b5 to catalyze the insertion of a double bond into a spectrum of fatty acyl-CoA substrates including palmitoyl-CoA and stearoyl-CoA.
|
||
Summary |
Terminal component of the liver microsomal stearyl-CoA desaturase system, that utilizes O(2) and electrons from reduced cytochrome b5 to catalyze the insertion of a double bond into a spectrum of fatty acyl-CoA substrates including palmitoyl-CoA and stearoyl-CoA.
|
||
Form |
Liquid |
||
Storage & Stability |
Store at +4°C short term. For long-term storage, aliquot and store at -20°C or below. Stable for 12 months at -20°C. Avoid repeated freeze-thaw cycles.
|
||
Applications |
IHC-P, E
|
||
Dilution |
ELISA (1:64000), IHC-P (5 μg/ml),
|
||
Synonyms |
Acyl-CoA desaturase, 1.14.19.1, Delta(9)-desaturase, Delta-9 desaturase, Fatty acid desaturase, Stearoyl-CoA desaturase, SCD
|
||
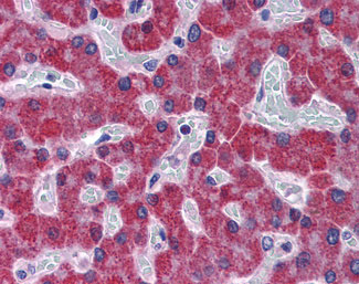
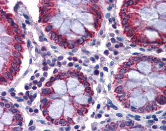
Images |
Anti-SCD antibody IHC of human colon.
Anti-SCD antibody IHC of human liver. |
||
Specification |
|||
Quantity |
|
||
| Select | Brand | Catalog No. | Product Name | Pack Size | Type | Field of Research | Specification | Quantity | Price(USD) | |
| 1 | Leading Biology | APR03440G | ITGA11 Antibody (N-term) | 100 μl | Polyclonal Antibodies |
|
$495.00 | Add Ask | ||
| 2 | Leading Biology | APR04537G | CMIP Antibody (C-term) | 100 μl | Polyclonal Antibodies |
|
$495.00 | Add Ask | ||
| 3 | Leading Biology | APR12422G | Human H4 Histamine Receptor (extracellular) Antibody | 50 μl | Polyclonal Antibodies |
|
$695.00 | Add Ask | ||
| 4 | Leading Biology | APR03844G | UBE2W Antibody (C-term) | 100 μl | Polyclonal Antibodies |
|
$495.00 | Add Ask | ||
| 5 | Leading Biology | APR04349G | HECTD2 Antibody (N-term) | 100 μl | Polyclonal Antibodies |
|
$495.00 | Add Ask | ||
| 6 | Leading Biology | APR03502G | IGHG1 Antibody (Center) | 100 μl | Polyclonal Antibodies |
|
$495.00 | Add Ask |
Leading Biology Inc.
2600 Hilltop DR, Building G, B Suite C138
Richmond, CA, 94806
Tel: 1-661-524(LBI)-0262
Email: info@leadingbiology.com
Complete this form and click send to ask us a question, request a quote or simply say hello.

You have 0 item in your cart

You have 0 item in your inquiry list