> Antigen, Antibodies, ELISA, Western Blot > Primary Antibody > Polyclonal Antibodies > BAIAP2 / IRSP53 Antibody (Isoform 1)Brand |
Leading Biology | Catalog Number |
APR11485G |
Product Type |
Polyclonal Antibodies | Field of Research |
|
Product Overview |
We constantly strive to ensure we provide our customers with the best antibodies. As a result of this work we offer this antibody in purified format.
We are in the process of updating our datasheets. If you have any questions regarding this update, please feel free to contact our technical support team.
This product is a high quality BAIAP2 / IRSP53 antibody (Isoform 1).
|
||
Molecular Weight |
61kDa
|
||
Cellular Localization |
Antigen Cellular Localization:
Cytoplasm. Membrane; Peripheral membrane protein. Cell projection, filopodium. Cell projection, ruffle Cytoplasm, cytoskeleton. Note=Detected throughout the cytoplasm in the absence of specific binding partners. Detected in filopodia and close to membrane ruffles. Recruited to actin pedestals that are formed upon infection by bacteria at bacterial attachment sites
|
||
Host |
Goat
|
||
Species Reactivity |
Human, Mouse, Rat, Pig, Dog
|
||
Target |
Human BAIAP2 / IRSP53. This antibody is expected to recognise only human isoform 1 according to NP_059344.1.
|
||
GeneID |
|||
UniProt ID |
|||
Function |
Adapter protein that links membrane-bound small G- proteins to cytoplasmic effector proteins. Necessary for CDC42- mediated reorganization of the actin cytoskeleton and for RAC1- mediated membrane ruffling. Involved in the regulation of the actin cytoskeleton by WASF family members and the Arp2/3 complex. Plays a role in neurite growth. Acts syngeristically with ENAH to promote filipodia formation. Plays a role in the reorganization of the actin cytoskeleton in response to bacterial infection. Participates in actin bundling when associated with EPS8, promoting filopodial protrusions.
|
||
Summary |
Adapter protein that links membrane-bound small G- proteins to cytoplasmic effector proteins. Necessary for CDC42- mediated reorganization of the actin cytoskeleton and for RAC1- mediated membrane ruffling. Involved in the regulation of the actin cytoskeleton by WASF family members and the Arp2/3 complex. Plays a role in neurite growth. Acts syngeristically with ENAH to promote filipodia formation. Plays a role in the reorganization of the actin cytoskeleton in response to bacterial infection. Participates in actin bundling when associated with EPS8, promoting filopodial protrusions.
|
||
Form |
Liquid |
||
Storage & Stability |
Store at +4°C short term. For long-term storage, aliquot and store at -20°C or below. Stable for 12 months at -20°C. Avoid repeated freeze-thaw cycles.
|
||
Applications |
WB, IHC-P, E
|
||
Dilution |
ELISA (1:64000), IHC-P (5 μg/ml), WB (1-3 μg/ml)
|
||
Synonyms |
Brain-specific angiogenesis inhibitor 1-associated protein 2, BAI-associated protein 2, BAI1-associated protein 2, Protein BAP2, Fas ligand-associated factor 3, FLAF3, Insulin receptor substrate p53/p58, IRS-58, IRSp53/58, Insulin receptor substrate protein of 53 kDa, IRSp53, Insulin receptor substrate p53, BAIAP2
|
||
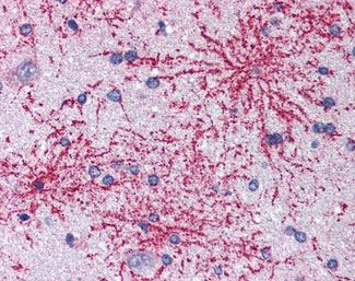
Images |
Anti-BAIAP2 / IRSP53 antibody IHC of human brain, cortex. |
||
Specification |
|||
Quantity |
|
||
| Select | Brand | Catalog No. | Product Name | Pack Size | Type | Field of Research | Specification | Quantity | Price(USD) | |
| 1 | Leading Biology | APR03440G | ITGA11 Antibody (N-term) | 100 μl | Polyclonal Antibodies |
|
$495.00 | Add Ask | ||
| 2 | Leading Biology | APR04537G | CMIP Antibody (C-term) | 100 μl | Polyclonal Antibodies |
|
$495.00 | Add Ask | ||
| 3 | Leading Biology | APR12422G | Human H4 Histamine Receptor (extracellular) Antibody | 50 μl | Polyclonal Antibodies |
|
$695.00 | Add Ask | ||
| 4 | Leading Biology | APR03844G | UBE2W Antibody (C-term) | 100 μl | Polyclonal Antibodies |
|
$495.00 | Add Ask | ||
| 5 | Leading Biology | APR04349G | HECTD2 Antibody (N-term) | 100 μl | Polyclonal Antibodies |
|
$495.00 | Add Ask | ||
| 6 | Leading Biology | APR03502G | IGHG1 Antibody (Center) | 100 μl | Polyclonal Antibodies |
|
$495.00 | Add Ask |
Leading Biology Inc.
2600 Hilltop DR, Building G, B Suite C138
Richmond, CA, 94806
Tel: 1-661-524(LBI)-0262
Email: info@leadingbiology.com
Complete this form and click send to ask us a question, request a quote or simply say hello.

You have 0 item in your cart

You have 0 item in your inquiry list