> Antigen, Antibodies, ELISA, Western Blot > Primary Antibody > Polyclonal Antibodies > AMPH / Amphiphysin Antibody (Internal)Brand |
Leading Biology | Catalog Number |
APR11401G |
Product Type |
Polyclonal Antibodies | Field of Research |
|
Product Overview |
We constantly strive to ensure we provide our customers with the best antibodies. As a result of this work we offer this antibody in purified format.
We are in the process of updating our datasheets. If you have any questions regarding this update, please feel free to contact our technical support team.
This product is a high quality AMPH / Amphiphysin antibody (Internal).
|
||
Molecular Weight |
76kDa
|
||
Cellular Localization |
Antigen Cellular Localization:
Cytoplasmic vesicle, secretory vesicle, synaptic vesicle membrane; Peripheral membrane protein; Cytoplasmic side. Cytoplasm, cytoskeleton
|
||
Host |
Goat
|
||
Species Reactivity |
Human, Mouse, Rat, Rabbit, Hamster, Monkey, Horse, Bovine, Dog
|
||
Target |
Human AMPH / Amphiphysin. This antibody is expected to recognise both reported isoforms (NP_001626.1 and NP_647477.1).
|
||
Symbol |
AMPH1
|
||
GeneID |
|||
UniProt ID |
|||
Function |
May participate in mechanisms of regulated exocytosis in synapses and certain endocrine cell types. May control the properties of the membrane associated cytoskeleton.
|
||
Summary |
May participate in mechanisms of regulated exocytosis in synapses and certain endocrine cell types. May control the properties of the membrane associated cytoskeleton.
|
||
Form |
Liquid |
||
Storage & Stability |
Store at +4°C short term. For long-term storage, aliquot and store at -20°C or below. Stable for 12 months at -20°C. Avoid repeated freeze-thaw cycles.
|
||
Applications |
WB, IHC-P, E
|
||
Dilution |
ELISA (1:16000), IHC-P (2.5 μg/ml), WB (0.1-0.5 μg/ml)
|
||
Synonyms |
Amphiphysin, AMPH, AMPH1
|
||
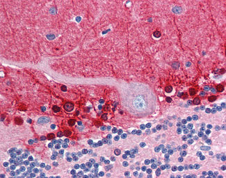
Images |
Anti-AMPH / Amphiphysin antibody IHC of human brain, cerebellum.
Antibody (0.5 ug/ml) staining of mouse brain lysate (35 ug protein in RIPA buffer). |
||
Specification |
|||
Quantity |
|
||
| Select | Brand | Catalog No. | Product Name | Pack Size | Type | Field of Research | Specification | Quantity | Price(USD) | |
| 1 | Leading Biology | APR03440G | ITGA11 Antibody (N-term) | 100 μl | Polyclonal Antibodies |
|
$495.00 | Add Ask | ||
| 2 | Leading Biology | APR04537G | CMIP Antibody (C-term) | 100 μl | Polyclonal Antibodies |
|
$495.00 | Add Ask | ||
| 3 | Leading Biology | APR12422G | Human H4 Histamine Receptor (extracellular) Antibody | 50 μl | Polyclonal Antibodies |
|
$695.00 | Add Ask | ||
| 4 | Leading Biology | APR03844G | UBE2W Antibody (C-term) | 100 μl | Polyclonal Antibodies |
|
$495.00 | Add Ask | ||
| 5 | Leading Biology | APR04349G | HECTD2 Antibody (N-term) | 100 μl | Polyclonal Antibodies |
|
$495.00 | Add Ask | ||
| 6 | Leading Biology | APR03502G | IGHG1 Antibody (Center) | 100 μl | Polyclonal Antibodies |
|
$495.00 | Add Ask |
Leading Biology Inc.
2600 Hilltop DR, Building G, B Suite C138
Richmond, CA, 94806
Tel: 1-661-524(LBI)-0262
Email: info@leadingbiology.com
Complete this form and click send to ask us a question, request a quote or simply say hello.

You have 0 item in your cart

You have 0 item in your inquiry list