> Antigen, Antibodies, ELISA, Western Blot > Primary Antibody > Polyclonal Antibodies > ELOVL6 Antibody (N-Terminus)Brand |
Leading Biology | Catalog Number |
APR07680G |
Product Type |
Polyclonal Antibodies | Field of Research |
|
Product Overview |
We constantly strive to ensure we provide our customers with the best antibodies. As a result of this work we offer this antibody in purified format.
We are in the process of updating our datasheets. If you have any questions regarding this update, please feel free to contact our technical support team.
This product is a high quality ELOVL6 antibody (N-Terminus).
|
||
Molecular Weight |
31kDa
|
||
Cellular Localization |
Antigen Cellular Localization:
Endoplasmic reticulum membrane; Multi-pass membrane protein
|
||
Host |
Rabbit
|
||
Species Reactivity |
Human, Mouse, Rat
|
||
Symbol |
FACE, LCE
|
||
GeneID |
|||
UniProt ID |
|||
Function |
Condensing enzyme that catalyzes the synthesis of saturated and monounsaturated fatty acids. Highest activity toward C16:0 acyl-CoAs.
|
||
Summary |
Condensing enzyme that catalyzes the synthesis of saturated and monounsaturated fatty acids. Highest activity toward C16:0 acyl-CoAs.
|
||
Form |
Liquid |
||
Storage & Stability |
Store at +4°C short term. For long-term storage, aliquot and store at -20°C or below. Stable for 12 months at -20°C. Avoid repeated freeze-thaw cycles.
|
||
Applications |
WB, IHC-P, IF, E
|
||
Dilution |
IHC-P (5 μg/ml), WB (1-2 μg/ml),
|
||
Synonyms |
Elongation of very long chain fatty acids protein 6, 2.3.1.199, 3-keto acyl-CoA synthase ELOVL6, ELOVL fatty acid elongase 6, ELOVL FA elongase 6, Fatty acid elongase 2, hELO2, Fatty acyl-CoA elongase, Long-chain fatty-acyl elongase, Very-long-chain 3-oxoacyl-CoA synthase 6, ELOVL6, FACE, LCE
|
||
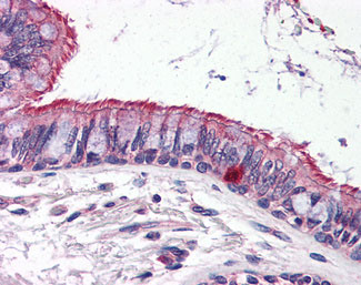
Images |
Immunofluorescence of ELOVL6 in Human Brain cells with ELOVL6 antibody at 20 ug/ml.
Anti-ELOVL6 antibody IHC of human lung. |
||
Specification |
|||
Quantity |
|
||
| Select | Brand | Catalog No. | Product Name | Pack Size | Type | Field of Research | Specification | Quantity | Price(USD) | |
| 1 | Leading Biology | APR03440G | ITGA11 Antibody (N-term) | 100 μl | Polyclonal Antibodies |
|
$495.00 | Add Ask | ||
| 2 | Leading Biology | APR04537G | CMIP Antibody (C-term) | 100 μl | Polyclonal Antibodies |
|
$495.00 | Add Ask | ||
| 3 | Leading Biology | APR12422G | Human H4 Histamine Receptor (extracellular) Antibody | 50 μl | Polyclonal Antibodies |
|
$695.00 | Add Ask | ||
| 4 | Leading Biology | APR03844G | UBE2W Antibody (C-term) | 100 μl | Polyclonal Antibodies |
|
$495.00 | Add Ask | ||
| 5 | Leading Biology | APR04349G | HECTD2 Antibody (N-term) | 100 μl | Polyclonal Antibodies |
|
$495.00 | Add Ask | ||
| 6 | Leading Biology | APR03502G | IGHG1 Antibody (Center) | 100 μl | Polyclonal Antibodies |
|
$495.00 | Add Ask |
Leading Biology Inc.
2600 Hilltop DR, Building G, B Suite C138
Richmond, CA, 94806
Tel: 1-661-524(LBI)-0262
Email: info@leadingbiology.com
Complete this form and click send to ask us a question, request a quote or simply say hello.

You have 0 item in your cart

You have 0 item in your inquiry list