> Antigen, Antibodies, ELISA, Western Blot > Primary Antibody > Polyclonal Antibodies > DISC1 Antibody (C-Terminus)Brand |
Leading Biology | Catalog Number |
APR11725G |
Product Type |
Polyclonal Antibodies | Field of Research |
|
Product Overview |
We constantly strive to ensure we provide our customers with the best antibodies. As a result of this work we offer this antibody in purified format.
We are in the process of updating our datasheets. If you have any questions regarding this update, please feel free to contact our technical support team.
This product is a high quality DISC1 antibody (C-Terminus).
|
||
Molecular Weight |
94kDa
|
||
Cellular Localization |
Antigen Cellular Localization:
Cytoplasm. Cytoplasm, cytoskeleton. Cytoplasm, cytoskeleton, microtubule organizing center, centrosome. Cell junction, synapse, postsynaptic cell membrane, postsynaptic density. Note=Colocalizes with NDEL1 in the perinuclear region and the centrosome (By similarity) Localizes to punctate cytoplasmic foci which overlap in part with mitochondria. Colocalizes with PCNT at the centrosome
|
||
Host |
Rabbit
|
||
Species Reactivity |
Human
|
||
Target |
synthetic peptide corresponding to C-terminal residues of human DISC1 (Disrupted in schizophrenia 1 protein)
|
||
Symbol |
KIAA0457
|
||
GeneID |
|||
UniProt ID |
|||
Function |
Involved in the regulation of multiple aspects of embryonic and adult neurogenesis. Required for neural progenitor proliferation in the ventrical/subventrical zone during embryonic brain development and in the adult dentate gyrus of the hippocampus. Participates in the Wnt-mediated neural progenitor proliferation as a positive regulator by modulating GSK3B activity and CTNNB1 abundance. Plays a role as a modulator of the AKT-mTOR signaling pathway controlling the tempo of the process of newborn neurons integration during adult neurogenesis, including neuron positioning, dendritic development and synapse formation. Inhibits the activation of AKT-mTOR signaling upon interaction with CCDC88A. Regulates the migration of early-born granule cell precursors toward the dentate gyrus during the hippocampal development. Plays a role, together with PCNT, in the microtubule network formation.
|
||
Summary |
Involved in the regulation of multiple aspects of embryonic and adult neurogenesis. Required for neural progenitor proliferation in the ventrical/subventrical zone during embryonic brain development and in the adult dentate gyrus of the hippocampus. Participates in the Wnt-mediated neural progenitor proliferation as a positive regulator by modulating GSK3B activity and CTNNB1 abundance. Plays a role as a modulator of the AKT-mTOR signaling pathway controlling the tempo of the process of newborn neurons integration during adult neurogenesis, including neuron positioning, dendritic development and synapse formation. Inhibits the activation of AKT-mTOR signaling upon interaction with CCDC88A. Regulates the migration of early-born granule cell precursors toward the dentate gyrus during the hippocampal development. Plays a role, together with PCNT, in the microtubule network formation.
|
||
Form |
Liquid |
||
Storage & Stability |
Store at +4°C short term. For long-term storage, aliquot and store at -20°C or below. Stable for 12 months at -20°C. Avoid repeated freeze-thaw cycles.
|
||
Applications |
WB, IHC-P, E
|
||
Dilution |
IHC-P (10-20 μg/ml), WB (1 μg/ml),
|
||
Synonyms |
Disrupted in schizophrenia 1 protein, DISC1, KIAA0457
|
||
Images |
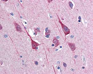
Anti-DISC1 antibody IHC of human brain, cortex. |
||
Specification |
|||
Quantity |
|
||
| Select | Brand | Catalog No. | Product Name | Pack Size | Type | Field of Research | Specification | Quantity | Price(USD) | |
| 1 | Leading Biology | APR03440G | ITGA11 Antibody (N-term) | 100 μl | Polyclonal Antibodies |
|
$495.00 | Add Ask | ||
| 2 | Leading Biology | APR04537G | CMIP Antibody (C-term) | 100 μl | Polyclonal Antibodies |
|
$495.00 | Add Ask | ||
| 3 | Leading Biology | APR12422G | Human H4 Histamine Receptor (extracellular) Antibody | 50 μl | Polyclonal Antibodies |
|
$695.00 | Add Ask | ||
| 4 | Leading Biology | APR03844G | UBE2W Antibody (C-term) | 100 μl | Polyclonal Antibodies |
|
$495.00 | Add Ask | ||
| 5 | Leading Biology | APR04349G | HECTD2 Antibody (N-term) | 100 μl | Polyclonal Antibodies |
|
$495.00 | Add Ask | ||
| 6 | Leading Biology | APR03502G | IGHG1 Antibody (Center) | 100 μl | Polyclonal Antibodies |
|
$495.00 | Add Ask |
Leading Biology Inc.
2600 Hilltop DR, Building G, B Suite C138
Richmond, CA, 94806
Tel: 1-661-524(LBI)-0262
Email: info@leadingbiology.com
Complete this form and click send to ask us a question, request a quote or simply say hello.

You have 0 item in your cart

You have 0 item in your inquiry list