> Antigen, Antibodies, ELISA, Western Blot > Primary Antibody > Polyclonal Antibodies > PITX3 Antibody (N-Terminus)Brand |
Leading Biology | Catalog Number |
APR12885G |
Product Type |
Polyclonal Antibodies | Field of Research |
|
Product Overview |
We constantly strive to ensure we provide our customers with the best antibodies. As a result of this work we offer this antibody in purified format.
We are in the process of updating our datasheets. If you have any questions regarding this update, please feel free to contact our technical support team.
This product is a high quality PITX3 antibody (N-Terminus).
|
||
Molecular Weight |
32kDa
|
||
Cellular Localization |
Antigen Cellular Localization:
Nucleus {ECO:0000255|PROSITE- ProRule:PRU00108, ECO:0000255|PROSITE-ProRule:PRU00138}
|
||
Host |
Rabbit
|
||
Species Reactivity |
Human, Mouse
|
||
Target |
Recognizes mouse PiTX3 protein. Reactivity has been confirmed with fetal mouse brain homogenate.
|
||
Symbol |
PTX3
|
||
GeneID |
|||
UniProt ID |
|||
Function |
Transcriptional regulator which is important for the differentiation and maintenance of meso-diencephalic dopaminergic (mdDA) neurons during development. In addition to its importance during development, it also has roles in the long-term survival and maintenance of the mdDA neurons. Activates NR4A2/NURR1- mediated transcription of genes such as SLC6A3, SLC18A2, TH and DRD2 which are essential for development of mdDA neurons. Acts by decreasing the interaction of NR4A2/NURR1 with the corepressor NCOR2/SMRT which acts through histone deacetylases (HDACs) to keep promoters of NR4A2/NURR1 target genes in a repressed deacetylated state. Essential for the normal lens development and differentiation. Plays a critical role in the maintenance of mitotic activity of lens epithelial cells, fiber cell differentiation and in the control of the temporal and spatial activation of fiber cell-specific crystallins. Positively regulates FOXE3 expression and negatively regulates PROX1 in the anterior lens epithelium, preventing activation of CDKN1B/P27Kip1 and CDKN1C/P57Kip2 and thus maintains lens epithelial cells in cell cycle (By similarity).
|
||
Summary |
Transcriptional regulator which is important for the differentiation and maintenance of meso-diencephalic dopaminergic (mdDA) neurons during development. In addition to its importance during development, it also has roles in the long-term survival and maintenance of the mdDA neurons. Activates NR4A2/NURR1- mediated transcription of genes such as SLC6A3, SLC18A2, TH and DRD2 which are essential for development of mdDA neurons. Acts by decreasing the interaction of NR4A2/NURR1 with the corepressor NCOR2/SMRT which acts through histone deacetylases (HDACs) to keep promoters of NR4A2/NURR1 target genes in a repressed deacetylated state. Essential for the normal lens development and differentiation. Plays a critical role in the maintenance of mitotic activity of lens epithelial cells, fiber cell differentiation and in the control of the temporal and spatial activation of fiber cell-specific crystallins. Positively regulates FOXE3 expression and negatively regulates PROX1 in the anterior lens epithelium, preventing activation of CDKN1B/P27Kip1 and CDKN1C/P57Kip2 and thus maintains lens epithelial cells in cell cycle (By similarity).
|
||
Form |
Liquid |
||
Storage & Stability |
Store at +4°C short term. For long-term storage, aliquot and store at -20°C or below. Stable for 12 months at -20°C. Avoid repeated freeze-thaw cycles.
|
||
Applications |
WB, IHC-P, IF
|
||
Dilution |
IF (0.7-2 μg/ml), IHC-P (5 μg/ml), WB (1-3 μg/ml)
|
||
Synonyms |
Pituitary homeobox 3, Homeobox protein PITX3, Paired-like homeodomain transcription factor 3, PITX3, PTX3
|
||
Images |
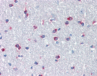
Anti-PITX3 antibody IHC of human brain, cortex, white matter. |
||
Specification |
|||
Quantity |
|
||
| Select | Brand | Catalog No. | Product Name | Pack Size | Type | Field of Research | Specification | Quantity | Price(USD) | |
| 1 | Leading Biology | APR03440G | ITGA11 Antibody (N-term) | 100 μl | Polyclonal Antibodies |
|
$495.00 | Add Ask | ||
| 2 | Leading Biology | APR04537G | CMIP Antibody (C-term) | 100 μl | Polyclonal Antibodies |
|
$495.00 | Add Ask | ||
| 3 | Leading Biology | APR12422G | Human H4 Histamine Receptor (extracellular) Antibody | 50 μl | Polyclonal Antibodies |
|
$695.00 | Add Ask | ||
| 4 | Leading Biology | APR03844G | UBE2W Antibody (C-term) | 100 μl | Polyclonal Antibodies |
|
$495.00 | Add Ask | ||
| 5 | Leading Biology | APR04349G | HECTD2 Antibody (N-term) | 100 μl | Polyclonal Antibodies |
|
$495.00 | Add Ask | ||
| 6 | Leading Biology | APR03502G | IGHG1 Antibody (Center) | 100 μl | Polyclonal Antibodies |
|
$495.00 | Add Ask |
Leading Biology Inc.
2600 Hilltop DR, Building G, B Suite C138
Richmond, CA, 94806
Tel: 1-661-524(LBI)-0262
Email: info@leadingbiology.com
Complete this form and click send to ask us a question, request a quote or simply say hello.

You have 0 item in your cart

You have 0 item in your inquiry list