> Antigen, Antibodies, ELISA, Western Blot > Primary Antibody > Polyclonal Antibodies > RDH11 Antibody (N-Terminus)Brand |
Leading Biology | Catalog Number |
AMR09708G |
Product Type |
Polyclonal Antibodies | Field of Research |
|
Product Overview |
We constantly strive to ensure we provide our customers with the best antibodies. As a result of this work we offer this antibody in purified format.
We are in the process of updating our datasheets. If you have any questions regarding this update, please feel free to contact our technical support team.
This product is a high quality RDH11 antibody (N-Terminus).
|
||
Molecular Weight |
35kDa
|
||
Cellular Localization |
Antigen Cellular Localization:
Endoplasmic reticulum membrane; Single-pass type II membrane protein
|
||
Host |
Rabbit
|
||
Species Reactivity |
Human
|
||
Target |
N terminal sequence MVELMFP and the C terminal sequence LLGLPID of the human PSDR1 protein.
|
||
Symbol |
ARSDR1, PSDR1
|
||
GeneID |
|||
UniProt ID |
|||
Function |
Exhibits an oxidoreductive catalytic activity towards retinoids. Most efficient as an NADPH-dependent retinal reductase. Displays high activity towards 9-cis and all-trans-retinol. Also involved in the metabolism of short-chain aldehydes. No steroid dehydrogenase activity detected.
|
||
Summary |
Exhibits an oxidoreductive catalytic activity towards retinoids. Most efficient as an NADPH-dependent retinal reductase. Displays high activity towards 9-cis and all-trans-retinol. Also involved in the metabolism of short-chain aldehydes. No steroid dehydrogenase activity detected.
|
||
Form |
Liquid |
||
Storage & Stability |
Store at +4°C short term. For long-term storage, aliquot and store at -20°C or below. Stable for 12 months at -20°C. Avoid repeated freeze-thaw cycles.
|
||
Applications |
WB, IHC-P
|
||
Dilution |
IHC-P (5 μg/ml), WB (1:500-1:1000),
|
||
Synonyms |
Retinol dehydrogenase 11, 1.1.1.300, Androgen-regulated short-chain dehydrogenase/reductase 1, HCV core-binding protein HCBP12, Prostate short-chain dehydrogenase/reductase 1, Retinal reductase 1, RalR1, RDH11, ARSDR1, PSDR1
|
||
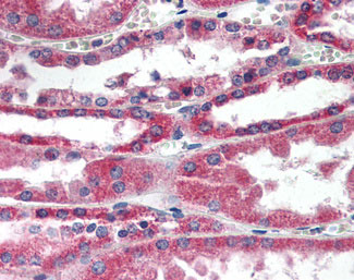
Images |
Anti-RDH11 antibody IHC of human kidney. |
||
Specification |
|||
Quantity |
|
||
| Select | Brand | Catalog No. | Product Name | Pack Size | Type | Field of Research | Specification | Quantity | Price(USD) | |
| 1 | Leading Biology | APR03440G | ITGA11 Antibody (N-term) | 100 μl | Polyclonal Antibodies |
|
$495.00 | Add Ask | ||
| 2 | Leading Biology | APR04537G | CMIP Antibody (C-term) | 100 μl | Polyclonal Antibodies |
|
$495.00 | Add Ask | ||
| 3 | Leading Biology | APR12422G | Human H4 Histamine Receptor (extracellular) Antibody | 50 μl | Polyclonal Antibodies |
|
$695.00 | Add Ask | ||
| 4 | Leading Biology | APR03844G | UBE2W Antibody (C-term) | 100 μl | Polyclonal Antibodies |
|
$495.00 | Add Ask | ||
| 5 | Leading Biology | APR04349G | HECTD2 Antibody (N-term) | 100 μl | Polyclonal Antibodies |
|
$495.00 | Add Ask | ||
| 6 | Leading Biology | APR03502G | IGHG1 Antibody (Center) | 100 μl | Polyclonal Antibodies |
|
$495.00 | Add Ask |
Leading Biology Inc.
2600 Hilltop DR, Building G, B Suite C138
Richmond, CA, 94806
Tel: 1-661-524(LBI)-0262
Email: info@leadingbiology.com
Complete this form and click send to ask us a question, request a quote or simply say hello.

You have 0 item in your cart

You have 0 item in your inquiry list