> Antigen, Antibodies, ELISA, Western Blot > Primary Antibody > Polyclonal Antibodies > HAVCR1 / KIM-1 Antibody (aa200-300)Brand |
Leading Biology | Catalog Number |
APR11123G |
Product Type |
Polyclonal Antibodies | Field of Research |
|
Product Overview |
We constantly strive to ensure we provide our customers with the best antibodies. As a result of this work we offer this antibody in purified format.
We are in the process of updating our datasheets. If you have any questions regarding this update, please feel free to contact our technical support team.
This product is a high quality HAVCR1 / KIM-1 antibody (aa200-300).
|
||
Molecular Weight |
39kDa
|
||
Cellular Localization |
Antigen Cellular Localization:
Membrane; Single-pass type I membrane protein
|
||
Host |
Rabbit
|
||
Species Reactivity |
Human, Mouse
|
||
Target |
A portion of amino acids 200-300 of human HAVCR1 protein was used as the immunogen.
|
||
Symbol |
KIM1, TIM1, TIMD1
|
||
GeneID |
|||
UniProt ID |
|||
Function |
May play a role in T-helper cell development and the regulation of asthma and allergic diseases. Receptor for TIMD4 (By similarity). In case of human hepatitis A virus (HHAV) infection, functions as a cell-surface receptor for the virus. May play a role in kidney injury and repair.
|
||
Summary |
May play a role in T-helper cell development and the regulation of asthma and allergic diseases. Receptor for TIMD4 (By similarity). In case of human hepatitis A virus (HHAV) infection, functions as a cell-surface receptor for the virus. May play a role in kidney injury and repair.
|
||
Form |
Liquid |
||
Storage & Stability |
Store at +4°C short term. For long-term storage, aliquot and store at -20°C or below. Stable for 12 months at -20°C. Avoid repeated freeze-thaw cycles.
|
||
Applications |
WB, IHC-P
|
||
Dilution |
IHC-P (2.5-5 μg/ml), WB (1-3 μg/ml),
|
||
Synonyms |
Hepatitis A virus cellular receptor 1, HAVcr-1, Kidney injury molecule 1, KIM-1, T-cell immunoglobulin and mucin domain-containing protein 1, TIMD-1, T-cell immunoglobulin mucin receptor 1, TIM, TIM-1, T-cell membrane protein 1, HAVCR1, KIM1, TIM1, TIMD1
|
||
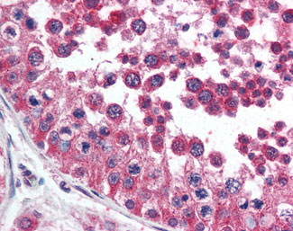
Images |
Anti-TIM-1 antibody IHC of human testis. |
||
Specification |
|||
Quantity |
|
||
| Select | Brand | Catalog No. | Product Name | Pack Size | Type | Field of Research | Specification | Quantity | Price(USD) | |
| 1 | Leading Biology | APR03440G | ITGA11 Antibody (N-term) | 100 μl | Polyclonal Antibodies |
|
$495.00 | Add Ask | ||
| 2 | Leading Biology | APR04537G | CMIP Antibody (C-term) | 100 μl | Polyclonal Antibodies |
|
$495.00 | Add Ask | ||
| 3 | Leading Biology | APR12422G | Human H4 Histamine Receptor (extracellular) Antibody | 50 μl | Polyclonal Antibodies |
|
$695.00 | Add Ask | ||
| 4 | Leading Biology | APR03844G | UBE2W Antibody (C-term) | 100 μl | Polyclonal Antibodies |
|
$495.00 | Add Ask | ||
| 5 | Leading Biology | APR04349G | HECTD2 Antibody (N-term) | 100 μl | Polyclonal Antibodies |
|
$495.00 | Add Ask | ||
| 6 | Leading Biology | APR03502G | IGHG1 Antibody (Center) | 100 μl | Polyclonal Antibodies |
|
$495.00 | Add Ask |
Leading Biology Inc.
2600 Hilltop DR, Building G, B Suite C138
Richmond, CA, 94806
Tel: 1-661-524(LBI)-0262
Email: info@leadingbiology.com
Complete this form and click send to ask us a question, request a quote or simply say hello.

You have 0 item in your cart

You have 0 item in your inquiry list