> Antigen, Antibodies, ELISA, Western Blot > Primary Antibody > Polyclonal Antibodies > HTT / Huntingtin Antibody (phospho-Ser421)Brand |
Leading Biology | Catalog Number |
APR12419G |
Product Type |
Polyclonal Antibodies | Field of Research |
|
Product Overview |
We constantly strive to ensure we provide our customers with the best antibodies. As a result of this work we offer this antibody in purified format.
We are in the process of updating our datasheets. If you have any questions regarding this update, please feel free to contact our technical support team.
This product is a high quality HTT / Huntingtin antibody (phospho-Ser421).
|
||
Molecular Weight |
348kDa
|
||
Cellular Localization |
Antigen Cellular Localization:
Cytoplasm. Nucleus. Note=The mutant Huntingtin protein colocalizes with AKAP8L in the nuclear matrix of Huntington disease neurons. Shuttles between cytoplasm and nucleus in a Ran GTPase-independent manner
|
||
Host |
Rabbit
|
||
Species Reactivity |
Human
|
||
Target |
Amino acids 416 to 424 of Human huntingtin protein phosphorylated at Ser421
|
||
Symbol |
HD, IT15
|
||
GeneID |
|||
UniProt ID |
|||
Function |
May play a role in microtubule-mediated transport or vesicle function.
|
||
Summary |
May play a role in microtubule-mediated transport or vesicle function.
|
||
Form |
Liquid |
||
Storage & Stability |
Store at +4°C short term. For long-term storage, aliquot and store at -20°C or below. Stable for 12 months at -20°C. Avoid repeated freeze-thaw cycles.
|
||
Applications |
WB, IHC-P, E
|
||
Dilution |
ELISA (1:10000-1:40000), IHC-P (10-20 μg/ml), WB (1:500-1:3000)
|
||
Synonyms |
Huntingtin, Huntington disease protein, HD protein, HTT, HD, IT15
|
||
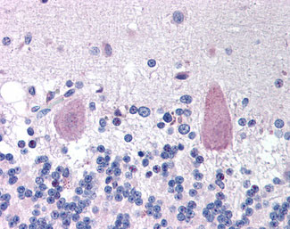
Images |
Anti-HTT / Huntingtin antibody IHC of human brain cerebellum. |
||
Specification |
|||
Quantity |
|
||
| Select | Brand | Catalog No. | Product Name | Pack Size | Type | Field of Research | Specification | Quantity | Price(USD) | |
| 1 | Leading Biology | APR03440G | ITGA11 Antibody (N-term) | 100 μl | Polyclonal Antibodies |
|
$495.00 | Add Ask | ||
| 2 | Leading Biology | APR04537G | CMIP Antibody (C-term) | 100 μl | Polyclonal Antibodies |
|
$495.00 | Add Ask | ||
| 3 | Leading Biology | APR12422G | Human H4 Histamine Receptor (extracellular) Antibody | 50 μl | Polyclonal Antibodies |
|
$695.00 | Add Ask | ||
| 4 | Leading Biology | APR03844G | UBE2W Antibody (C-term) | 100 μl | Polyclonal Antibodies |
|
$495.00 | Add Ask | ||
| 5 | Leading Biology | APR04349G | HECTD2 Antibody (N-term) | 100 μl | Polyclonal Antibodies |
|
$495.00 | Add Ask | ||
| 6 | Leading Biology | APR03502G | IGHG1 Antibody (Center) | 100 μl | Polyclonal Antibodies |
|
$495.00 | Add Ask |
Leading Biology Inc.
2600 Hilltop DR, Building G, B Suite C138
Richmond, CA, 94806
Tel: 1-661-524(LBI)-0262
Email: info@leadingbiology.com
Complete this form and click send to ask us a question, request a quote or simply say hello.

You have 0 item in your cart

You have 0 item in your inquiry list