> Antigen, Antibodies, ELISA, Western Blot > Primary Antibody > Polyclonal Antibodies > ENPP3 / CD203c Antibody (C-Terminus)Brand |
Leading Biology | Catalog Number |
APR07714G |
Product Type |
Polyclonal Antibodies | Field of Research |
|
Product Overview |
We constantly strive to ensure we provide our customers with the best antibodies. As a result of this work we offer this antibody in purified format.
We are in the process of updating our datasheets. If you have any questions regarding this update, please feel free to contact our technical support team.
This product is a high quality ENPP3 / CD203c antibody (C-Terminus).
|
||
Molecular Weight |
100kDa
|
||
Cellular Localization |
Antigen Cellular Localization:
Membrane; Single-pass type II membrane protein. Secreted Note=Located to the apical surface in intestinal and kidney epithelial cells. Located to the cell surface of basophils, and to the apical plasma membrane of bile duct cells. Secreted in serum, and in lumen of epithelial cells
|
||
Host |
Rabbit
|
||
Species Reactivity |
Human
|
||
Target |
Human ENPP3. BLAST analysis of the peptide immunogen showed no homology with other human proteins.
|
||
Symbol |
PDNP3
|
||
GeneID |
|||
UniProt ID |
|||
Function |
Cleaves a variety of phosphodiester and phosphosulfate bonds including deoxynucleotides, nucleotide sugars, and NAD.
|
||
Summary |
Cleaves a variety of phosphodiester and phosphosulfate bonds including deoxynucleotides, nucleotide sugars, and NAD.
|
||
Form |
Liquid |
||
Storage & Stability |
Store at +4°C short term. For long-term storage, aliquot and store at -20°C or below. Stable for 12 months at -20°C. Avoid repeated freeze-thaw cycles.
|
||
Applications |
IHC-P
|
||
Dilution |
IHC-P (2.5 μg/ml)
|
||
Synonyms |
Ectonucleotide pyrophosphatase/phosphodiesterase family member 3, E-NPP 3, Phosphodiesterase I beta, PD-Ibeta, Phosphodiesterase I/nucleotide pyrophosphatase 3, CD203c, Alkaline phosphodiesterase I, 3.1.4.1, Nucleotide pyrophosphatase, NPPase, 3.6.1.9, ENPP3, PDNP3
|
||
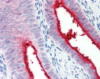
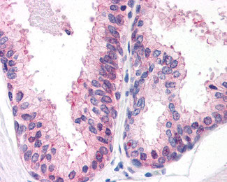
Images |
Anti-ENPP3 antibody APR07714G IHC of human prostate.
Anti-ENPP3 antibody APR07714G IHC of human uterus. |
||
Specification |
|||
Quantity |
|
||
| Select | Brand | Catalog No. | Product Name | Pack Size | Type | Field of Research | Specification | Quantity | Price(USD) | |
| 1 | Leading Biology | APR03440G | ITGA11 Antibody (N-term) | 100 μl | Polyclonal Antibodies |
|
$495.00 | Add Ask | ||
| 2 | Leading Biology | APR04537G | CMIP Antibody (C-term) | 100 μl | Polyclonal Antibodies |
|
$495.00 | Add Ask | ||
| 3 | Leading Biology | APR12422G | Human H4 Histamine Receptor (extracellular) Antibody | 50 μl | Polyclonal Antibodies |
|
$695.00 | Add Ask | ||
| 4 | Leading Biology | APR03844G | UBE2W Antibody (C-term) | 100 μl | Polyclonal Antibodies |
|
$495.00 | Add Ask | ||
| 5 | Leading Biology | APR04349G | HECTD2 Antibody (N-term) | 100 μl | Polyclonal Antibodies |
|
$495.00 | Add Ask | ||
| 6 | Leading Biology | APR03502G | IGHG1 Antibody (Center) | 100 μl | Polyclonal Antibodies |
|
$495.00 | Add Ask |
Leading Biology Inc.
2600 Hilltop DR, Building G, B Suite C138
Richmond, CA, 94806
Tel: 1-661-524(LBI)-0262
Email: info@leadingbiology.com
Complete this form and click send to ask us a question, request a quote or simply say hello.

You have 0 item in your cart

You have 0 item in your inquiry list