> Antigen, Antibodies, ELISA, Western Blot > Primary Antibody > Polyclonal Antibodies > SLC39A14 / ZIP14 Antibody (Internal)Brand |
Leading Biology | Catalog Number |
APR10085G |
Product Type |
Polyclonal Antibodies | Field of Research |
|
Product Overview |
We constantly strive to ensure we provide our customers with the best antibodies. As a result of this work we offer this antibody in purified format.
We are in the process of updating our datasheets. If you have any questions regarding this update, please feel free to contact our technical support team.
This product is a high quality SLC39A14 / ZIP14 antibody (Internal).
|
||
Molecular Weight |
54kDa
|
||
Cellular Localization |
Antigen Cellular Localization:
Cell membrane; Multi-pass membrane protein. Cell projection, lamellipodium Note=Localized to the plasma membrane and also found colocalized with F-actin concentrated on lamellipodiae
|
||
Host |
Rabbit
|
||
Species Reactivity |
Human, Pig, Horse, Dog
|
||
Target |
Human SLC39A14. BLAST analysis of the peptide immunogen showed no homology with other human proteins.
|
||
Symbol |
KIAA0062, ZIP14
|
||
GeneID |
|||
UniProt ID |
|||
Function |
May mediate cellular uptake of nontransferrin-bound iron (By similarity). Broad-scope metal ion transporter with a preference for zinc uptake.
|
||
Summary |
May mediate cellular uptake of nontransferrin-bound iron (By similarity). Broad-scope metal ion transporter with a preference for zinc uptake.
|
||
Form |
Liquid |
||
Storage & Stability |
Store at +4°C short term. For long-term storage, aliquot and store at -20°C or below. Stable for 12 months at -20°C. Avoid repeated freeze-thaw cycles.
|
||
Applications |
IHC-P
|
||
Dilution |
IHC-P (5-7.5 μg/ml)
|
||
Synonyms |
Zinc transporter ZIP14, LIV-1 subfamily of ZIP zinc transporter 4, LZT-Hs4, Solute carrier family 39 member 14, Zrt- and Irt-like protein 14, ZIP-14, SLC39A14, KIAA0062, ZIP14
|
||
Images |
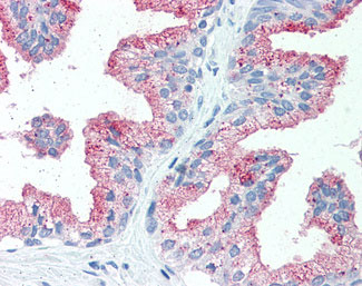
Anti-SLC39A14 antibody APR10085G IHC of human prostate.
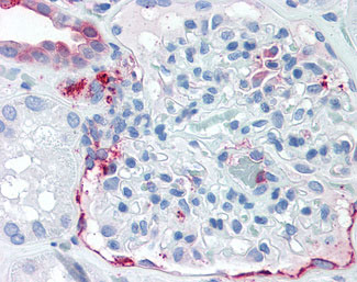
Anti-SLC39A14 antibody APR10085G IHC of human kidney. |
||
Specification |
|||
Quantity |
|
||
| Select | Brand | Catalog No. | Product Name | Pack Size | Type | Field of Research | Specification | Quantity | Price(USD) | |
| 1 | Leading Biology | APR03440G | ITGA11 Antibody (N-term) | 100 μl | Polyclonal Antibodies |
|
$495.00 | Add Ask | ||
| 2 | Leading Biology | APR04537G | CMIP Antibody (C-term) | 100 μl | Polyclonal Antibodies |
|
$495.00 | Add Ask | ||
| 3 | Leading Biology | APR12422G | Human H4 Histamine Receptor (extracellular) Antibody | 50 μl | Polyclonal Antibodies |
|
$695.00 | Add Ask | ||
| 4 | Leading Biology | APR03844G | UBE2W Antibody (C-term) | 100 μl | Polyclonal Antibodies |
|
$495.00 | Add Ask | ||
| 5 | Leading Biology | APR04349G | HECTD2 Antibody (N-term) | 100 μl | Polyclonal Antibodies |
|
$495.00 | Add Ask | ||
| 6 | Leading Biology | APR03502G | IGHG1 Antibody (Center) | 100 μl | Polyclonal Antibodies |
|
$495.00 | Add Ask |
Leading Biology Inc.
2600 Hilltop DR, Building G, B Suite C138
Richmond, CA, 94806
Tel: 1-661-524(LBI)-0262
Email: info@leadingbiology.com
Complete this form and click send to ask us a question, request a quote or simply say hello.

You have 0 item in your cart

You have 0 item in your inquiry list