> Antigen, Antibodies, ELISA, Western Blot > Primary Antibody > Polyclonal Antibodies > TRPM8 Antibody (N-Terminus)Brand |
Leading Biology | Catalog Number |
APR10541G |
Product Type |
Polyclonal Antibodies | Field of Research |
|
Product Overview |
We constantly strive to ensure we provide our customers with the best antibodies. As a result of this work we offer this antibody in purified format.
We are in the process of updating our datasheets. If you have any questions regarding this update, please feel free to contact our technical support team.
This product is a high quality TRPM8 antibody (N-Terminus).
|
||
Molecular Weight |
128kDa
|
||
Cellular Localization |
Antigen Cellular Localization:
Cell membrane; Multi-pass membrane protein. Membrane raft. Endoplasmic reticulum membrane. Note=Localizes to membrane rafts but is also located in the cell membrane outside of these regions where channel response to cold is enhanced compared to membrane rafts (By similarity). Located in the endoplasmic reticulum in prostate cancer cells.
|
||
Host |
Rabbit
|
||
Species Reactivity |
Human, Rabbit, Hamster, Monkey, Guinea Pig, Dog
|
||
Target |
Human TRPM8. BLAST analysis of the peptide immunogen showed no homology with other human proteins.
|
||
Symbol |
LTRPC6, TRPP8
|
||
GeneID |
|||
UniProt ID |
|||
Function |
Receptor-activated non-selective cation channel involved in detection of sensations such as coolness, by being activated by cold temperature below 25 degrees Celsius. Activated by icilin, eucalyptol, menthol, cold and modulation of intracellular pH. Involved in menthol sensation. Permeable for monovalent cations sodium, potassium, and cesium and divalent cation calcium. Temperature sensing is tightly linked to voltage-dependent gating. Activated upon depolarization, changes in temperature resulting in graded shifts of its voltage-dependent activation curves. The chemical agonist menthol functions as a gating modifier, shifting activation curves towards physiological membrane potentials. Temperature sensitivity arises from a tenfold difference in the activation energies associated with voltage-dependent opening and closing. In prostate cancer cells, shows strong inward rectification and high calcium selectivity in contrast to its behavior in normal cells which is characterized by outward rectification and poor cationic selectivity. Isoform 2 and isoform 3 negatively regulate menthol- and cold-induced channel activity by stabilizing the closed state of the channel.
|
||
Summary |
Receptor-activated non-selective cation channel involved in detection of sensations such as coolness, by being activated by cold temperature below 25 degrees Celsius. Activated by icilin, eucalyptol, menthol, cold and modulation of intracellular pH. Involved in menthol sensation. Permeable for monovalent cations sodium, potassium, and cesium and divalent cation calcium. Temperature sensing is tightly linked to voltage-dependent gating. Activated upon depolarization, changes in temperature resulting in graded shifts of its voltage-dependent activation curves. The chemical agonist menthol functions as a gating modifier, shifting activation curves towards physiological membrane potentials. Temperature sensitivity arises from a tenfold difference in the activation energies associated with voltage-dependent opening and closing. In prostate cancer cells, shows strong inward rectification and high calcium selectivity in contrast to its behavior in normal cells which is characterized by outward rectification and poor cationic selectivity. Isoform 2 and isoform 3 negatively regulate menthol- and cold-induced channel activity by stabilizing the closed state of the channel.
|
||
Form |
Liquid |
||
Storage & Stability |
Store at +4°C short term. For long-term storage, aliquot and store at -20°C or below. Stable for 12 months at -20°C. Avoid repeated freeze-thaw cycles.
|
||
Applications |
IHC-P
|
||
Dilution |
IHC-P (5 μg/ml)
|
||
Synonyms |
Transient receptor potential cation channel subfamily M member 8, Long transient receptor potential channel 6, LTrpC-6, LTrpC6, Transient receptor potential p8, Trp-p8, TRPM8, LTRPC6, TRPP8
|
||
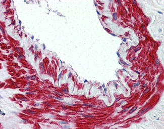
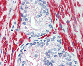
Images |
Anti-TRPM8 antibody APR10541G IHC of human prostate.
Anti-TRPM8 antibody APR10541G IHC of human lung, vessel. |
||
Specification |
|||
Quantity |
|
||
| Select | Brand | Catalog No. | Product Name | Pack Size | Type | Field of Research | Specification | Quantity | Price(USD) | |
| 1 | Leading Biology | APR03440G | ITGA11 Antibody (N-term) | 100 μl | Polyclonal Antibodies |
|
$495.00 | Add Ask | ||
| 2 | Leading Biology | APR04537G | CMIP Antibody (C-term) | 100 μl | Polyclonal Antibodies |
|
$495.00 | Add Ask | ||
| 3 | Leading Biology | APR12422G | Human H4 Histamine Receptor (extracellular) Antibody | 50 μl | Polyclonal Antibodies |
|
$695.00 | Add Ask | ||
| 4 | Leading Biology | APR03844G | UBE2W Antibody (C-term) | 100 μl | Polyclonal Antibodies |
|
$495.00 | Add Ask | ||
| 5 | Leading Biology | APR04349G | HECTD2 Antibody (N-term) | 100 μl | Polyclonal Antibodies |
|
$495.00 | Add Ask | ||
| 6 | Leading Biology | APR03502G | IGHG1 Antibody (Center) | 100 μl | Polyclonal Antibodies |
|
$495.00 | Add Ask |
Leading Biology Inc.
2600 Hilltop DR, Building G, B Suite C138
Richmond, CA, 94806
Tel: 1-661-524(LBI)-0262
Email: info@leadingbiology.com
Complete this form and click send to ask us a question, request a quote or simply say hello.

You have 0 item in your cart

You have 0 item in your inquiry list