> Antigen, Antibodies, ELISA, Western Blot > Primary Antibody > Polyclonal Antibodies > TAOK1 / TAO1 Antibody (Internal)Brand |
Leading Biology | Catalog Number |
AMM08089G |
Product Type |
Polyclonal Antibodies | Field of Research |
|
Product Overview |
We constantly strive to ensure we provide our customers with the best antibodies. As a result of this work we offer this antibody in purified format.
We are in the process of updating our datasheets. If you have any questions regarding this update, please feel free to contact our technical support team.
This product is a high quality TAOK1 / TAO1 antibody (Internal).
|
||
Molecular Weight |
116kDa
|
||
Cellular Localization |
Antigen Cellular Localization:
Cytoplasm.
|
||
Host |
Rabbit
|
||
Species Reactivity |
Human, Monkey
|
||
Target |
Human TAOK1. BLAST analysis of the peptide immunogen showed no homology with other human proteins.
|
||
Symbol |
KIAA1361, MAP3K16, MARKK
|
||
GeneID |
|||
UniProt ID |
|||
Function |
Serine/threonine-protein kinase involved in various processes such as p38/MAPK14 stress-activated MAPK cascade, DNA damage response and regulation of cytoskeleton stability. Phosphorylates MAP2K3, MAP2K6 and MARK2. Acts as an activator of the p38/MAPK14 stress-activated MAPK cascade by mediating phosphorylation and subsequent activation of the upstream MAP2K3 and MAP2K6 kinases. Involved in G-protein coupled receptor signaling to p38/MAPK14. In response to DNA damage, involved in the G2/M transition DNA damage checkpoint by activating the p38/MAPK14 stress-activated MAPK cascade, probably by mediating phosphorylation of MAP2K3 and MAP2K6. Acts as a regulator of cytoskeleton stability by phosphorylating 'Thr-208' of MARK2, leading to activate MARK2 kinase activity and subsequent phosphorylation and detachment of MAPT/TAU from microtubules. Also acts as a regulator of apoptosis: regulates apoptotic morphological changes, including cell contraction, membrane blebbing and apoptotic bodies formation via activation of the MAPK8/JNK cascade.
|
||
Summary |
Serine/threonine-protein kinase involved in various processes such as p38/MAPK14 stress-activated MAPK cascade, DNA damage response and regulation of cytoskeleton stability. Phosphorylates MAP2K3, MAP2K6 and MARK2. Acts as an activator of the p38/MAPK14 stress-activated MAPK cascade by mediating phosphorylation and subsequent activation of the upstream MAP2K3 and MAP2K6 kinases. Involved in G-protein coupled receptor signaling to p38/MAPK14. In response to DNA damage, involved in the G2/M transition DNA damage checkpoint by activating the p38/MAPK14 stress-activated MAPK cascade, probably by mediating phosphorylation of MAP2K3 and MAP2K6. Acts as a regulator of cytoskeleton stability by phosphorylating 'Thr-208' of MARK2, leading to activate MARK2 kinase activity and subsequent phosphorylation and detachment of MAPT/TAU from microtubules. Also acts as a regulator of apoptosis: regulates apoptotic morphological changes, including cell contraction, membrane blebbing and apoptotic bodies formation via activation of the MAPK8/JNK cascade.
|
||
Form |
Liquid |
||
Storage & Stability |
Store at +4°C short term. For long-term storage, aliquot and store at -20°C or below. Stable for 12 months at -20°C. Avoid repeated freeze-thaw cycles.
|
||
Applications |
IHC-P
|
||
Dilution |
IHC-P (5 μg/ml)
|
||
Synonyms |
Serine/threonine-protein kinase TAO1, 2.7.11.1, Kinase from chicken homolog B, hKFC-B, MARK Kinase, MARKK, Prostate-derived sterile 20-like kinase 2, PSK-2, PSK2, Prostate-derived STE20-like kinase 2, Thousand and one amino acid protein kinase 1, TAOK1, hTAOK1, TAOK1, KIAA1361, MAP3K16, MARKK
|
||
Images |
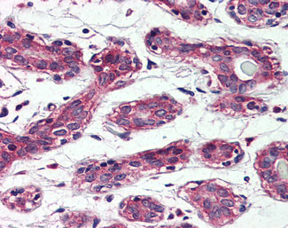
Anti-TAOK1 antibody AMM08089G IHC of human breast. |
||
Specification |
|||
Quantity |
|
||
| Select | Brand | Catalog No. | Product Name | Pack Size | Type | Field of Research | Specification | Quantity | Price(USD) | |
| 1 | Leading Biology | APR03440G | ITGA11 Antibody (N-term) | 100 μl | Polyclonal Antibodies |
|
$495.00 | Add Ask | ||
| 2 | Leading Biology | APR04537G | CMIP Antibody (C-term) | 100 μl | Polyclonal Antibodies |
|
$495.00 | Add Ask | ||
| 3 | Leading Biology | APR12422G | Human H4 Histamine Receptor (extracellular) Antibody | 50 μl | Polyclonal Antibodies |
|
$695.00 | Add Ask | ||
| 4 | Leading Biology | APR03844G | UBE2W Antibody (C-term) | 100 μl | Polyclonal Antibodies |
|
$495.00 | Add Ask | ||
| 5 | Leading Biology | APR04349G | HECTD2 Antibody (N-term) | 100 μl | Polyclonal Antibodies |
|
$495.00 | Add Ask | ||
| 6 | Leading Biology | APR03502G | IGHG1 Antibody (Center) | 100 μl | Polyclonal Antibodies |
|
$495.00 | Add Ask |
Leading Biology Inc.
2600 Hilltop DR, Building G, B Suite C138
Richmond, CA, 94806
Tel: 1-661-524(LBI)-0262
Email: info@leadingbiology.com
Complete this form and click send to ask us a question, request a quote or simply say hello.

You have 0 item in your cart

You have 0 item in your inquiry list