> Antigen, Antibodies, ELISA, Western Blot > Primary Antibody > Polyclonal Antibodies > ADGRG6 / GPR126 Antibody (N-Terminus)Brand |
Leading Biology | Catalog Number |
APR14848G |
Product Type |
Polyclonal Antibodies | Field of Research |
|
Product Overview |
We constantly strive to ensure we provide our customers with the best antibodies. As a result of this work we offer this antibody in purified format.
We are in the process of updating our datasheets. If you have any questions regarding this update, please feel free to contact our technical support team.
This product is a high quality ADGRG6 / GPR126 antibody (N-Terminus).
|
||
Molecular Weight |
137kDa
|
||
Cellular Localization |
Antigen Cellular Localization:
Cell membrane; Multi-pass membrane protein Note=Detected on the cell surface of activated but not resting umbilical vein
|
||
Host |
Rabbit
|
||
Species Reactivity |
Human, Mouse
|
||
Target |
Human GPR126. BLAST analysis of the peptide immunogen showed no homology with other human proteins, except GPR64 (50%).
|
||
Symbol |
DREG, VIGR
|
||
GeneID |
|||
UniProt ID |
|||
Function |
Orphan receptor. May be required for normal differentiation of promyelinating Schwann cells and for normal myelination of axons. Signals probably through G-proteins to transiently elevate cAMP levels (By similarity).
|
||
Summary |
Orphan receptor. May be required for normal differentiation of promyelinating Schwann cells and for normal myelination of axons. Signals probably through G-proteins to transiently elevate cAMP levels (By similarity).
|
||
Form |
Liquid |
||
Storage & Stability |
Store at +4°C short term. For long-term storage, aliquot and store at -20°C or below. Stable for 12 months at -20°C. Avoid repeated freeze-thaw cycles.
|
||
Applications |
IHC-P, E
|
||
Dilution |
IHC-P (10 μg/ml)
|
||
Synonyms |
G-protein coupled receptor 126, Developmentally regulated G-protein-coupled receptor, Vascular inducible G protein-coupled receptor, GPR126, DREG, VIGR
|
||
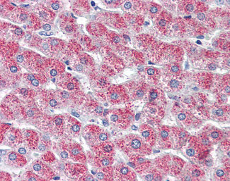
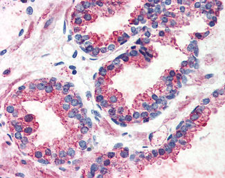
Images |
Anti-GPR126 antibody APR14848G IHC of human prostate.
Anti-GPR126 antibody APR14848G IHC of human liver. |
||
Specification |
|||
Quantity |
|
||
| Select | Brand | Catalog No. | Product Name | Pack Size | Type | Field of Research | Specification | Quantity | Price(USD) | |
| 1 | Leading Biology | APR03440G | ITGA11 Antibody (N-term) | 100 μl | Polyclonal Antibodies |
|
$495.00 | Add Ask | ||
| 2 | Leading Biology | APR04537G | CMIP Antibody (C-term) | 100 μl | Polyclonal Antibodies |
|
$495.00 | Add Ask | ||
| 3 | Leading Biology | APR12422G | Human H4 Histamine Receptor (extracellular) Antibody | 50 μl | Polyclonal Antibodies |
|
$695.00 | Add Ask | ||
| 4 | Leading Biology | APR03844G | UBE2W Antibody (C-term) | 100 μl | Polyclonal Antibodies |
|
$495.00 | Add Ask | ||
| 5 | Leading Biology | APR04349G | HECTD2 Antibody (N-term) | 100 μl | Polyclonal Antibodies |
|
$495.00 | Add Ask | ||
| 6 | Leading Biology | APR03502G | IGHG1 Antibody (Center) | 100 μl | Polyclonal Antibodies |
|
$495.00 | Add Ask |
Leading Biology Inc.
2600 Hilltop DR, Building G, B Suite C138
Richmond, CA, 94806
Tel: 1-661-524(LBI)-0262
Email: info@leadingbiology.com
Complete this form and click send to ask us a question, request a quote or simply say hello.

You have 0 item in your cart

You have 0 item in your inquiry list