> Antigen, Antibodies, ELISA, Western Blot > Primary Antibody > Polyclonal Antibodies > GPR48 / LGR4 Antibody (N-Terminus)Brand |
Leading Biology | Catalog Number |
APR16579G |
Product Type |
Polyclonal Antibodies | Field of Research |
|
Product Overview |
We constantly strive to ensure we provide our customers with the best antibodies. As a result of this work we offer this antibody in purified format.
We are in the process of updating our datasheets. If you have any questions regarding this update, please feel free to contact our technical support team.
This product is a high quality GPR48 / LGR4 antibody (N-Terminus).
|
||
Molecular Weight |
104kDa
|
||
Cellular Localization |
Antigen Cellular Localization:
Cell membrane; Multi-pass membrane protein
|
||
Host |
Rabbit
|
||
Species Reactivity |
Human, Mouse, Rabbit, Monkey, Pig
|
||
Target |
Human LGR4. BLAST analysis of the peptide immunogen showed no homology with other human proteins.
|
||
Symbol |
GPR48
|
||
GeneID |
|||
UniProt ID |
|||
Function |
Receptor for R-spondins that potentiates the canonical Wnt signaling pathway and is involved in the formation of various organs. Upon binding to R-spondins (RSPO1, RSPO2, RSPO3 or RSPO4), associates with phosphorylated LRP6 and frizzled receptors that are activated by extracellular Wnt receptors, triggering the canonical Wnt signaling pathway to increase expression of target genes. In contrast to classical G-protein coupled receptors, does not activate heterotrimeric G-proteins to transduce the signal. Its function as activator of the Wnt signaling pathway is required for the development of various organs, including liver, kidney, intestine, bone, reproductive tract and eye. May also act as a receptor for norrin (NDP), such results however require additional confirmation in vivo. Required during spermatogenesis to activate the Wnt signaling pathway in peritubular myoid cells. Required for the maintenance of intestinal stem cells and Paneth cell differentiation in postnatal intestinal crypts. Acts as a regulator of bone formation and remodeling. Involved in kidney development; required for maintaining the ureteric bud in an undifferentiated state. Involved in the development of the anterior segment of the eye. Required during erythropoiesis. Also acts as a negative regulator of innate immunity by inhibiting TLR2/TLR4 associated pattern-recognition and proinflammatory cytokine production. Plays an important role in regulating the circadian rhythms of plasma lipids, partially through regulating the rhythmic expression of MTTP (By similarity).
|
||
Summary |
Receptor for R-spondins that potentiates the canonical Wnt signaling pathway and is involved in the formation of various organs. Upon binding to R-spondins (RSPO1, RSPO2, RSPO3 or RSPO4), associates with phosphorylated LRP6 and frizzled receptors that are activated by extracellular Wnt receptors, triggering the canonical Wnt signaling pathway to increase expression of target genes. In contrast to classical G-protein coupled receptors, does not activate heterotrimeric G-proteins to transduce the signal. Its function as activator of the Wnt signaling pathway is required for the development of various organs, including liver, kidney, intestine, bone, reproductive tract and eye. May also act as a receptor for norrin (NDP), such results however require additional confirmation in vivo. Required during spermatogenesis to activate the Wnt signaling pathway in peritubular myoid cells. Required for the maintenance of intestinal stem cells and Paneth cell differentiation in postnatal intestinal crypts. Acts as a regulator of bone formation and remodeling. Involved in kidney development; required for maintaining the ureteric bud in an undifferentiated state. Involved in the development of the anterior segment of the eye. Required during erythropoiesis. Also acts as a negative regulator of innate immunity by inhibiting TLR2/TLR4 associated pattern-recognition and proinflammatory cytokine production. Plays an important role in regulating the circadian rhythms of plasma lipids, partially through regulating the rhythmic expression of MTTP (By similarity).
|
||
Form |
Liquid |
||
Storage & Stability |
Store at +4°C short term. For long-term storage, aliquot and store at -20°C or below. Stable for 12 months at -20°C. Avoid repeated freeze-thaw cycles.
|
||
Applications |
IHC-P
|
||
Dilution |
IHC-P (4 μg/ml)
|
||
Synonyms |
Leucine-rich repeat-containing G-protein coupled receptor 4, G-protein coupled receptor 48, LGR4, GPR48
|
||
Images |
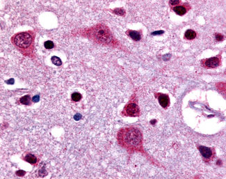
Anti-LGR4 antibody APR16579G IHC of human brain, caudate. |
||
Specification |
|||
Quantity |
|
||
| Select | Brand | Catalog No. | Product Name | Pack Size | Type | Field of Research | Specification | Quantity | Price(USD) | |
| 1 | Leading Biology | APR03440G | ITGA11 Antibody (N-term) | 100 μl | Polyclonal Antibodies |
|
$495.00 | Add Ask | ||
| 2 | Leading Biology | APR04537G | CMIP Antibody (C-term) | 100 μl | Polyclonal Antibodies |
|
$495.00 | Add Ask | ||
| 3 | Leading Biology | APR12422G | Human H4 Histamine Receptor (extracellular) Antibody | 50 μl | Polyclonal Antibodies |
|
$695.00 | Add Ask | ||
| 4 | Leading Biology | APR03844G | UBE2W Antibody (C-term) | 100 μl | Polyclonal Antibodies |
|
$495.00 | Add Ask | ||
| 5 | Leading Biology | APR04349G | HECTD2 Antibody (N-term) | 100 μl | Polyclonal Antibodies |
|
$495.00 | Add Ask | ||
| 6 | Leading Biology | APR03502G | IGHG1 Antibody (Center) | 100 μl | Polyclonal Antibodies |
|
$495.00 | Add Ask |
Leading Biology Inc.
2600 Hilltop DR, Building G, B Suite C138
Richmond, CA, 94806
Tel: 1-661-524(LBI)-0262
Email: info@leadingbiology.com
Complete this form and click send to ask us a question, request a quote or simply say hello.

You have 0 item in your cart

You have 0 item in your inquiry list