> Antigen, Antibodies, ELISA, Western Blot > Primary Antibody > Polyclonal Antibodies > TAAR1 / TA1 Antibody (Cytoplasmic Domain)Brand |
Leading Biology | Catalog Number |
APR13669G |
Product Type |
Polyclonal Antibodies | Field of Research |
|
Product Overview |
We constantly strive to ensure we provide our customers with the best antibodies. As a result of this work we offer this antibody in purified format.
We are in the process of updating our datasheets. If you have any questions regarding this update, please feel free to contact our technical support team.
This product is a high quality TAAR1 / TA1 antibody (Cytoplasmic Domain).
|
||
Molecular Weight |
39kDa
|
||
Cellular Localization |
Antigen Cellular Localization:
Cell membrane; Multi-pass membrane protein.
|
||
Host |
Rabbit
|
||
Species Reactivity |
Human
|
||
Target |
Human TAAR1. BLAST analysis of the peptide immunogen showed no homology with other human proteins.
|
||
Symbol |
TA1, TAR1, TRAR1
|
||
GeneID |
|||
UniProt ID |
|||
Function |
Receptor for trace amines, including beta- phenylethylamine (b-PEA), p-tyramine (p-TYR), octopamine and tryptamine, with highest affinity for b-PEA and p-TYR. Unresponsive to classical biogenic amines, such as epinephrine and histamine and only partially activated by dopamine and serotonine. Trace amines are biogenic amines present in very low levels in mammalian tissues. Although some trace amines have clearly defined roles as neurotransmitters in invertebrates, the extent to which they function as true neurotransmitters in vertebrates has remained speculative. Trace amines are likely to be involved in a variety of physiological functions that have yet to be fully understood. The signal transduced by this receptor is mediated by the G(s)-class of G-proteins which activate adenylate cyclase.
|
||
Summary |
Receptor for trace amines, including beta- phenylethylamine (b-PEA), p-tyramine (p-TYR), octopamine and tryptamine, with highest affinity for b-PEA and p-TYR. Unresponsive to classical biogenic amines, such as epinephrine and histamine and only partially activated by dopamine and serotonine. Trace amines are biogenic amines present in very low levels in mammalian tissues. Although some trace amines have clearly defined roles as neurotransmitters in invertebrates, the extent to which they function as true neurotransmitters in vertebrates has remained speculative. Trace amines are likely to be involved in a variety of physiological functions that have yet to be fully understood. The signal transduced by this receptor is mediated by the G(s)-class of G-proteins which activate adenylate cyclase.
|
||
Form |
Liquid |
||
Storage & Stability |
Store at +4°C short term. For long-term storage, aliquot and store at -20°C or below. Stable for 12 months at -20°C. Avoid repeated freeze-thaw cycles.
|
||
Applications |
WB, IHC-P
|
||
Dilution |
IHC-P (8-19 μg/ml)
|
||
Synonyms |
Trace amine-associated receptor 1, TaR-1, Trace amine receptor 1, TAAR1, TA1, TAR1, TRAR1
|
||
Images |
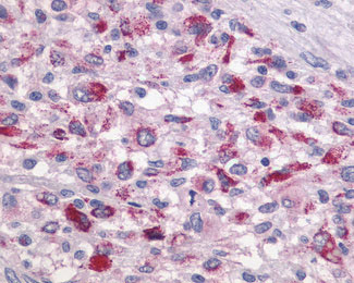
Anti-TAAR1 / TA1 antibody IHC of human Brain, Glioblastoma. |
||
Specification |
|||
Quantity |
|
||
| Select | Brand | Catalog No. | Product Name | Pack Size | Type | Field of Research | Specification | Quantity | Price(USD) | |
| 1 | Leading Biology | APR03440G | ITGA11 Antibody (N-term) | 100 μl | Polyclonal Antibodies |
|
$495.00 | Add Ask | ||
| 2 | Leading Biology | APR04537G | CMIP Antibody (C-term) | 100 μl | Polyclonal Antibodies |
|
$495.00 | Add Ask | ||
| 3 | Leading Biology | APR12422G | Human H4 Histamine Receptor (extracellular) Antibody | 50 μl | Polyclonal Antibodies |
|
$695.00 | Add Ask | ||
| 4 | Leading Biology | APR03844G | UBE2W Antibody (C-term) | 100 μl | Polyclonal Antibodies |
|
$495.00 | Add Ask | ||
| 5 | Leading Biology | APR04349G | HECTD2 Antibody (N-term) | 100 μl | Polyclonal Antibodies |
|
$495.00 | Add Ask | ||
| 6 | Leading Biology | APR03502G | IGHG1 Antibody (Center) | 100 μl | Polyclonal Antibodies |
|
$495.00 | Add Ask |
Leading Biology Inc.
2600 Hilltop DR, Building G, B Suite C138
Richmond, CA, 94806
Tel: 1-661-524(LBI)-0262
Email: info@leadingbiology.com
Complete this form and click send to ask us a question, request a quote or simply say hello.

You have 0 item in your cart

You have 0 item in your inquiry list