> Antigen, Antibodies, ELISA, Western Blot > Primary Antibody > Polyclonal Antibodies > OR51E1 Antibody (C-Terminus)Brand |
Leading Biology | Catalog Number |
APR12580G |
Product Type |
Polyclonal Antibodies | Field of Research |
|
Product Overview |
We constantly strive to ensure we provide our customers with the best antibodies. As a result of this work we offer this antibody in purified format.
We are in the process of updating our datasheets. If you have any questions regarding this update, please feel free to contact our technical support team.
This product is a high quality OR51E1 antibody (C-Terminus).
|
||
Molecular Weight |
35kDa
|
||
Cellular Localization |
Antigen Cellular Localization:
Cell membrane; Multi-pass membrane protein
|
||
Host |
Rabbit
|
||
Species Reactivity |
Human
|
||
Target |
Human OR51E1. BLAST analysis of the peptide immunogen showed no homology with other human proteins.
|
||
Symbol |
GPR164, OR51E1P, OR52A3P, POGR, PSGR2
|
||
GeneID |
|||
UniProt ID |
|||
Function |
Odorant receptor.
|
||
Summary |
Odorant receptor.
|
||
Form |
Liquid |
||
Storage & Stability |
Store at +4°C short term. For long-term storage, aliquot and store at -20°C or below. Stable for 12 months at -20°C. Avoid repeated freeze-thaw cycles.
|
||
Applications |
IHC-P
|
||
Dilution |
IHC-P (21-32 μg/ml)
|
||
Synonyms |
Olfactory receptor 51E1, D-GPCR, G-protein coupled receptor 164, Olfactory receptor 52A3, Prostate-overexpressed G protein-coupled receptor, Prostate-specific G protein-coupled receptor 2, OR51E1, GPR164, OR51E1P, OR52A3P, POGR, PSGR2
|
||
Images |
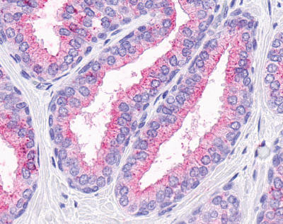
Anti-OR51E1 antibody APR12580G IHC of human prostate, glands. |
||
Specification |
|||
Quantity |
|
||
| Select | Brand | Catalog No. | Product Name | Pack Size | Type | Field of Research | Specification | Quantity | Price(USD) | |
| 1 | Leading Biology | APR03440G | ITGA11 Antibody (N-term) | 100 μl | Polyclonal Antibodies |
|
$495.00 | Add Ask | ||
| 2 | Leading Biology | APR04537G | CMIP Antibody (C-term) | 100 μl | Polyclonal Antibodies |
|
$495.00 | Add Ask | ||
| 3 | Leading Biology | APR12422G | Human H4 Histamine Receptor (extracellular) Antibody | 50 μl | Polyclonal Antibodies |
|
$695.00 | Add Ask | ||
| 4 | Leading Biology | APR03844G | UBE2W Antibody (C-term) | 100 μl | Polyclonal Antibodies |
|
$495.00 | Add Ask | ||
| 5 | Leading Biology | APR04349G | HECTD2 Antibody (N-term) | 100 μl | Polyclonal Antibodies |
|
$495.00 | Add Ask | ||
| 6 | Leading Biology | APR03502G | IGHG1 Antibody (Center) | 100 μl | Polyclonal Antibodies |
|
$495.00 | Add Ask |
Leading Biology Inc.
2600 Hilltop DR, Building G, B Suite C138
Richmond, CA, 94806
Tel: 1-661-524(LBI)-0262
Email: info@leadingbiology.com
Complete this form and click send to ask us a question, request a quote or simply say hello.

You have 0 item in your cart

You have 0 item in your inquiry list