> Antigen, Antibodies, ELISA, Western Blot > Primary Antibody > Polyclonal Antibodies > ACKR3 / CXCR7 Antibody (Cytoplasmic Domain)Brand |
Leading Biology | Catalog Number |
APR14765G |
Product Type |
Polyclonal Antibodies | Field of Research |
|
Product Overview |
We constantly strive to ensure we provide our customers with the best antibodies. As a result of this work we offer this antibody in purified format.
We are in the process of updating our datasheets. If you have any questions regarding this update, please feel free to contact our technical support team.
This product is a high quality ACKR3 / CXCR7 antibody (Cytoplasmic Domain).
|
||
Molecular Weight |
41kDa
|
||
Cellular Localization |
Antigen Cellular Localization:
Cell membrane; Multi-pass membrane protein. Cytoplasm, perinuclear region. Early endosome. Recycling endosome. Note=Predominantly localizes to endocytic vesicles, and upon stimulation by the ligand is internalized via clathrin- coated pits in a beta-arrestin-dependent manner. Once internalized, the ligand dissociates from the receptor, and is targeted to degradation while the receptor is recycled back to the cell membrane
|
||
Host |
Rabbit
|
||
Species Reactivity |
Human
|
||
Target |
Human CXCR7. BLAST analysis of the peptide immunogen showed no homology with other human proteins.
|
||
Symbol |
CMKOR1, CXCR7, GPR159, RDC1
|
||
GeneID |
|||
UniProt ID |
|||
Function |
Atypical chemokine receptor that controls chemokine levels and localization via high-affinity chemokine binding that is uncoupled from classic ligand-driven signal transduction cascades, resulting instead in chemokine sequestration, degradation, or transcytosis. Also known as interceptor (internalizing receptor) or chemokine-scavenging receptor or chemokine decoy receptor. Acts as a receptor for chemokines CXCL11 and CXCL12/SDF1. Chemokine binding does not activate G-protein- mediated signal transduction but instead induces beta-arrestin recruitment, leading to ligand internalization and activation of MAPK signaling pathway. Required for regulation of CXCR4 protein levels in migrating interneurons, thereby adapting their chemokine responsiveness. In glioma cells, transduces signals via MEK/ERK pathway, mediating resistance to apoptosis. Promotes cell growth and survival. Not involved in cell migration, adhesion or proliferation of normal hematopoietic progenitors but activated by CXCL11 in malignant hemapoietic cells, leading to phosphorylation of ERK1/2 (MAPK3/MAPK1) and enhanced cell adhesion and migration. Plays a regulatory role in CXCR4-mediated activation of cell surface integrins by CXCL12. Required for heart valve development. Acts as coreceptor with CXCR4 for a restricted number of HIV isolates.
|
||
Summary |
Atypical chemokine receptor that controls chemokine levels and localization via high-affinity chemokine binding that is uncoupled from classic ligand-driven signal transduction cascades, resulting instead in chemokine sequestration, degradation, or transcytosis. Also known as interceptor (internalizing receptor) or chemokine-scavenging receptor or chemokine decoy receptor. Acts as a receptor for chemokines CXCL11 and CXCL12/SDF1. Chemokine binding does not activate G-protein- mediated signal transduction but instead induces beta-arrestin recruitment, leading to ligand internalization and activation of MAPK signaling pathway. Required for regulation of CXCR4 protein levels in migrating interneurons, thereby adapting their chemokine responsiveness. In glioma cells, transduces signals via MEK/ERK pathway, mediating resistance to apoptosis. Promotes cell growth and survival. Not involved in cell migration, adhesion or proliferation of normal hematopoietic progenitors but activated by CXCL11 in malignant hemapoietic cells, leading to phosphorylation of ERK1/2 (MAPK3/MAPK1) and enhanced cell adhesion and migration. Plays a regulatory role in CXCR4-mediated activation of cell surface integrins by CXCL12. Required for heart valve development. Acts as coreceptor with CXCR4 for a restricted number of HIV isolates.
|
||
Form |
Liquid |
||
Storage & Stability |
Store at +4°C short term. For long-term storage, aliquot and store at -20°C or below. Stable for 12 months at -20°C. Avoid repeated freeze-thaw cycles.
|
||
Applications |
IHC-P
|
||
Dilution |
IHC-P (9 μg/ml)
|
||
Synonyms |
Atypical chemokine receptor 3, C-X-C chemokine receptor type 7, CXC-R7, CXCR-7, Chemokine orphan receptor 1, G-protein coupled receptor 159, G-protein coupled receptor RDC1 homolog, RDC-1, ACKR3, CMKOR1, CXCR7, GPR159, RDC1
|
||
Images |
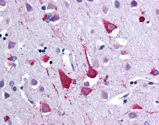
Anti-CXCR7 antibody APR14765G IHC of human brain, cortex. |
||
Specification |
|||
Quantity |
|
||
| Select | Brand | Catalog No. | Product Name | Pack Size | Type | Field of Research | Specification | Quantity | Price(USD) | |
| 1 | Leading Biology | APR03440G | ITGA11 Antibody (N-term) | 100 μl | Polyclonal Antibodies |
|
$495.00 | Add Ask | ||
| 2 | Leading Biology | APR04537G | CMIP Antibody (C-term) | 100 μl | Polyclonal Antibodies |
|
$495.00 | Add Ask | ||
| 3 | Leading Biology | APR12422G | Human H4 Histamine Receptor (extracellular) Antibody | 50 μl | Polyclonal Antibodies |
|
$695.00 | Add Ask | ||
| 4 | Leading Biology | APR03844G | UBE2W Antibody (C-term) | 100 μl | Polyclonal Antibodies |
|
$495.00 | Add Ask | ||
| 5 | Leading Biology | APR04349G | HECTD2 Antibody (N-term) | 100 μl | Polyclonal Antibodies |
|
$495.00 | Add Ask | ||
| 6 | Leading Biology | APR03502G | IGHG1 Antibody (Center) | 100 μl | Polyclonal Antibodies |
|
$495.00 | Add Ask |
Leading Biology Inc.
2600 Hilltop DR, Building G, B Suite C138
Richmond, CA, 94806
Tel: 1-661-524(LBI)-0262
Email: info@leadingbiology.com
Complete this form and click send to ask us a question, request a quote or simply say hello.

You have 0 item in your cart

You have 0 item in your inquiry list