> Antigen, Antibodies, ELISA, Western Blot > Primary Antibody > Polyclonal Antibodies > ADGRL2 / LPHN2 Antibody (N-Terminus)Brand |
Leading Biology | Catalog Number |
AMM05561G |
Product Type |
Polyclonal Antibodies | Field of Research |
|
Product Overview |
We constantly strive to ensure we provide our customers with the best antibodies. As a result of this work we offer this antibody in purified format.
We are in the process of updating our datasheets. If you have any questions regarding this update, please feel free to contact our technical support team.
This product is a high quality ADGRL2 / LPHN2 antibody (N-Terminus).
|
||
Molecular Weight |
163kDa
|
||
Cellular Localization |
Antigen Cellular Localization:
Cell membrane; Multi-pass membrane protein.
|
||
Host |
Rabbit
|
||
Species Reactivity |
Human
|
||
Target |
Human LPHN2. BLAST analysis of the peptide immunogen showed no homology with other human proteins.
|
||
Symbol |
KIAA0786, LEC1, LPHH1
|
||
GeneID |
|||
UniProt ID |
|||
Function |
Calcium-independent receptor of low affinity for alpha- latrotoxin, an excitatory neurotoxin present in black widow spider venom which triggers massive exocytosis from neurons and neuroendocrine cells. Receptor propably implicated in the regulation of exocytosis (By similarity).
|
||
Summary |
Calcium-independent receptor of low affinity for alpha- latrotoxin, an excitatory neurotoxin present in black widow spider venom which triggers massive exocytosis from neurons and neuroendocrine cells. Receptor propably implicated in the regulation of exocytosis (By similarity).
|
||
Form |
Liquid |
||
Storage & Stability |
Store at +4°C short term. For long-term storage, aliquot and store at -20°C or below. Stable for 12 months at -20°C. Avoid repeated freeze-thaw cycles.
|
||
Applications |
IHC-P
|
||
Dilution |
IHC-P (18-45 μg/ml)
|
||
Synonyms |
Latrophilin-2, Calcium-independent alpha-latrotoxin receptor 2, CIRL-2, Latrophilin homolog 1, Lectomedin-1, LPHN2, KIAA0786, LEC1, LPHH1
|
||
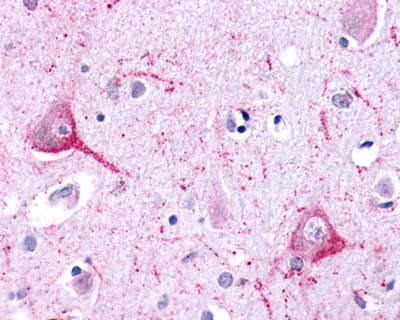
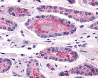
Images |
Anti-LPHN2 / Latrophilin-2 antibody IHC of human Prostate, Carcinoma.
Anti-LPHN2 antibody AMM05561G IHC of human brain, neurons and glia. |
||
Specification |
|||
Quantity |
|
||
| Select | Brand | Catalog No. | Product Name | Pack Size | Type | Field of Research | Specification | Quantity | Price(USD) | |
| 1 | Leading Biology | APR03440G | ITGA11 Antibody (N-term) | 100 μl | Polyclonal Antibodies |
|
$495.00 | Add Ask | ||
| 2 | Leading Biology | APR04537G | CMIP Antibody (C-term) | 100 μl | Polyclonal Antibodies |
|
$495.00 | Add Ask | ||
| 3 | Leading Biology | APR12422G | Human H4 Histamine Receptor (extracellular) Antibody | 50 μl | Polyclonal Antibodies |
|
$695.00 | Add Ask | ||
| 4 | Leading Biology | APR03844G | UBE2W Antibody (C-term) | 100 μl | Polyclonal Antibodies |
|
$495.00 | Add Ask | ||
| 5 | Leading Biology | APR04349G | HECTD2 Antibody (N-term) | 100 μl | Polyclonal Antibodies |
|
$495.00 | Add Ask | ||
| 6 | Leading Biology | APR03502G | IGHG1 Antibody (Center) | 100 μl | Polyclonal Antibodies |
|
$495.00 | Add Ask |
Leading Biology Inc.
2600 Hilltop DR, Building G, B Suite C138
Richmond, CA, 94806
Tel: 1-661-524(LBI)-0262
Email: info@leadingbiology.com
Complete this form and click send to ask us a question, request a quote or simply say hello.

You have 0 item in your cart

You have 0 item in your inquiry list