> Antigen, Antibodies, ELISA, Western Blot > Primary Antibody > Polyclonal Antibodies > Phospho-CREB-S133 AntibodyBrand |
Leading Biology | Catalog Number |
AMM05399G |
Product Type |
Polyclonal Antibodies | Field of Research |
|
Product Overview |
We constantly strive to ensure we provide our customers with the best antibodies. As a result of this work we offer this antibody in purified format.
We are in the process of updating our datasheets. If you have any questions regarding this update, please feel free to contact our technical support team.
This product is a high quality Phospho-CREB-S133 antibody.
|
||
Molecular Weight |
36688 Da
|
||
Cellular Localization |
Antigen Cellular Localization:
Nucleus {ECO:0000255|PROSITE- ProRule:PRU00312, ECO:0000255|PROSITE-ProRule:PRU00978, ECO:0000269|PubMed:12552083}
|
||
Host |
Rabbit
|
||
Species Reactivity |
Human, Mouse, Rat
|
||
Target |
The antibody was affinity-purified from rabbit antiserum using epitope-specific phosphopeptide column, and the antibody against non-phosphopeptide was removed using non-phosphopeptide column corresponding to the phosphorylation site.
|
||
Isotype |
Rabbit IgG
|
||
GeneID |
|||
UniProt ID |
|||
Function |
Phosphorylation-dependent transcription factor that stimulates transcription upon binding to the DNA cAMP response element (CRE), a sequence present in many viral and cellular promoters. Transcription activation is enhanced by the TORC coactivators which act independently of Ser-133 phosphorylation. Involved in different cellular processes including the synchronization of circadian rhythmicity and the differentiation of adipose cells.
|
||
Summary |
This gene encodes a transcription factor that is a member of the leucine zipper family of DNA binding proteins. This protein binds as a homodimer to the cAMP-responsive element, an octameric palindrome. The protein is phosphorylated by several protein kinases, and induces transcription of genes in response to hormonal stimulation of the cAMP pathway. Alternate splicing of this gene results in two transcript variants encoding different isoforms.
|
||
Form |
affinity Purified IgG, in PBS, 0.02% sodium azide and 50% glycerol. |
||
Storage & Stability |
Store at +4°C short term. For long-term storage, aliquot and store at -20°C or below. Stable for 12 months at -20°C. Avoid repeated freeze-thaw cycles.
|
||
Applications |
WB, IHC
|
||
Dilution |
WB~~1:500~1:1000
IHC~~1:50~1:100
|
||
Synonyms |
Cyclic AMP-responsive element-binding protein 1, CREB-1, cAMP-responsive element-binding protein 1, CREB1
|
||
Images |
Western blot analysis of extracts from HeLa cells using CREB Antibody (S133) ( AE1010b, Lane 1 and 2) and Phospho-CREB-S133 Antibody ( AMM05399G, Lane 3 and 4).
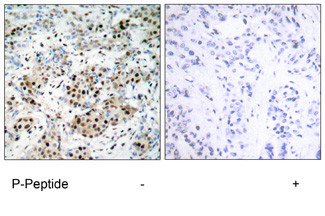
Immunohistochemical analysis of paraffin-embedded human breast carcinoma tissue using Phospho-CREB-S133 Antibody ( AMM05399G). |
||
Specification |
|||
Quantity |
|
||
| Select | Brand | Catalog No. | Product Name | Pack Size | Type | Field of Research | Specification | Quantity | Price(USD) | |
| 1 | Leading Biology | APR03440G | ITGA11 Antibody (N-term) | 100 μl | Polyclonal Antibodies |
|
$495.00 | Add Ask | ||
| 2 | Leading Biology | APR04537G | CMIP Antibody (C-term) | 100 μl | Polyclonal Antibodies |
|
$495.00 | Add Ask | ||
| 3 | Leading Biology | APR12422G | Human H4 Histamine Receptor (extracellular) Antibody | 50 μl | Polyclonal Antibodies |
|
$695.00 | Add Ask | ||
| 4 | Leading Biology | APR03844G | UBE2W Antibody (C-term) | 100 μl | Polyclonal Antibodies |
|
$495.00 | Add Ask | ||
| 5 | Leading Biology | APR04349G | HECTD2 Antibody (N-term) | 100 μl | Polyclonal Antibodies |
|
$495.00 | Add Ask | ||
| 6 | Leading Biology | APR03502G | IGHG1 Antibody (Center) | 100 μl | Polyclonal Antibodies |
|
$495.00 | Add Ask |
Leading Biology Inc.
2600 Hilltop DR, Building G, B Suite C138
Richmond, CA, 94806
Tel: 1-661-524(LBI)-0262
Email: info@leadingbiology.com
Complete this form and click send to ask us a question, request a quote or simply say hello.

You have 0 item in your cart

You have 0 item in your inquiry list