> Antigen, Antibodies, ELISA, Western Blot > Primary Antibody > Polyclonal Antibodies > ETV1 Antibody (C-Term)Brand |
Leading Biology | Catalog Number |
APR11867G |
Product Type |
Polyclonal Antibodies | Field of Research |
|
Product Overview |
We constantly strive to ensure we provide our customers with the best antibodies. As a result of this work we offer this antibody in purified format.
We are in the process of updating our datasheets. If you have any questions regarding this update, please feel free to contact our technical support team.
This product is a high quality ETV1 antibody (C-Term).
|
||
Molecular Weight |
H=55,53,52,43,48,50;M=55 KDa
|
||
Cellular Localization |
Antigen Cellular Localization:
Nucleus.
|
||
Host |
Rabbit
|
||
Species Reactivity |
Human, Mouse
|
||
Immunogen |
434-465 aa
|
||
Target |
This ETV1 antibody is generated from a rabbit immunized with a KLH conjugated synthetic peptide between 434-465 amino acids from human ETV1.
|
||
Symbol |
ER81
|
||
GeneID |
|||
UniProt ID |
|||
Function |
Transcriptional activator that binds to DNA sequences containing the consensus pentanucleotide 5'-CGGA[AT]-3'.
|
||
Summary |
Transcriptional activator that binds to DNA sequences containing the consensus pentanucleotide 5'-CGGA[AT]-3'.
|
||
Form |
Liquid. In PBS containing 0.02% sodium azide. |
||
Storage & Stability |
Store at +4°C short term. For long-term storage, aliquot and store at -20°C or below. Stable for 12 months at -20°C. Avoid repeated freeze-thaw cycles.
|
||
Applications |
WB
|
||
Dilution |
WB~~0.25
|
||
Synonyms |
ETS translocation variant 1, Ets-related protein 81, ETV1, ER81
|
||
Images |
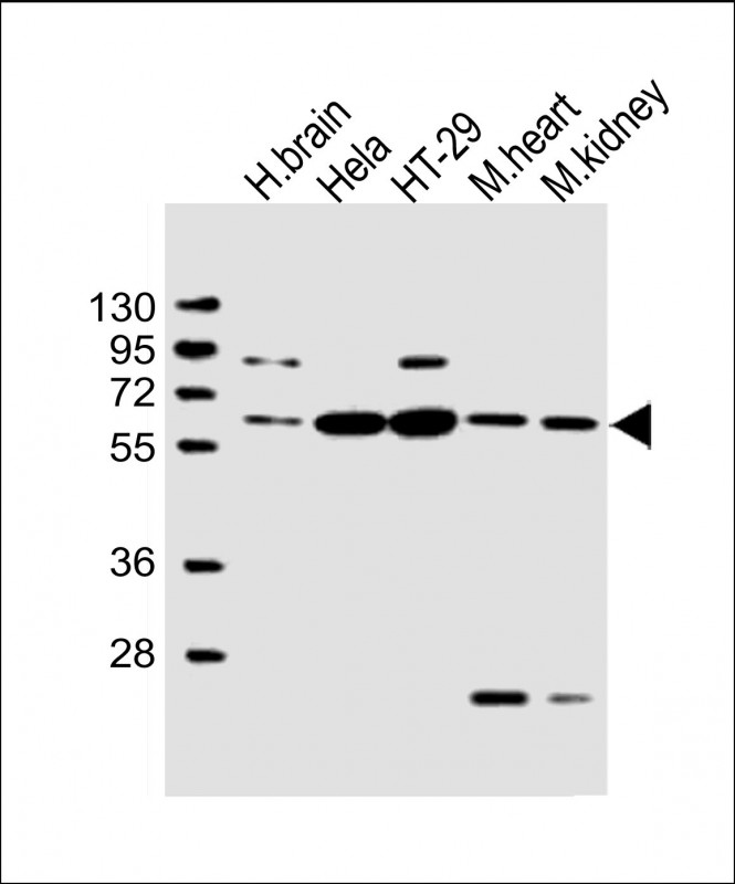
All lanes : Anti-ETV1 Antibody (C-Term) at 1:2000 dilution Lane 1: human brain lysate Lane 2: Hela whole cell lysate Lane 3: HT-29 whole cell lysate Lane 4: mouse heart lysate Lane 5: mouse kidney lysate Lysates/proteins at 20 μg per lane. Secondary Goat Anti-Rabbit IgG, (H+L), Peroxidase conjugated at 1/10000 dilution. Predicted band size : 55 kDa Blocking/Dilution buffer: 5% NFDM/TBST. |
||
Specification |
|||
Quantity |
|
||
| Select | Brand | Catalog No. | Product Name | Pack Size | Type | Field of Research | Specification | Quantity | Price(USD) | |
| 1 | Leading Biology | APR03440G | ITGA11 Antibody (N-term) | 100 μl | Polyclonal Antibodies |
|
$495.00 | Add Ask | ||
| 2 | Leading Biology | APR04537G | CMIP Antibody (C-term) | 100 μl | Polyclonal Antibodies |
|
$495.00 | Add Ask | ||
| 3 | Leading Biology | APR12422G | Human H4 Histamine Receptor (extracellular) Antibody | 50 μl | Polyclonal Antibodies |
|
$695.00 | Add Ask | ||
| 4 | Leading Biology | APR03844G | UBE2W Antibody (C-term) | 100 μl | Polyclonal Antibodies |
|
$495.00 | Add Ask | ||
| 5 | Leading Biology | APR04349G | HECTD2 Antibody (N-term) | 100 μl | Polyclonal Antibodies |
|
$495.00 | Add Ask | ||
| 6 | Leading Biology | APR03502G | IGHG1 Antibody (Center) | 100 μl | Polyclonal Antibodies |
|
$495.00 | Add Ask |
Leading Biology Inc.
2600 Hilltop DR, Building G, B Suite C138
Richmond, CA, 94806
Tel: 1-661-524(LBI)-0262
Email: info@leadingbiology.com
Complete this form and click send to ask us a question, request a quote or simply say hello.

You have 0 item in your cart

You have 0 item in your inquiry list