> Antigen, Antibodies, ELISA, Western Blot > Primary Antibody > Polyclonal Antibodies > MAP2K7 Antibody (C-Term)Brand |
Leading Biology | Catalog Number |
APR08319G |
Product Type |
Polyclonal Antibodies | Field of Research |
|
Product Overview |
We constantly strive to ensure we provide our customers with the best antibodies. As a result of this work we offer this antibody in purified format.
We are in the process of updating our datasheets. If you have any questions regarding this update, please feel free to contact our technical support team.
This product is a high quality MAP2K7 antibody (C-Term).
|
||
Molecular Weight |
H=47,52,49,48;M=59,48,43,39,44,49,52,51;R=48 KDa
|
||
Cellular Localization |
Antigen Cellular Localization:
Nucleus. Cytoplasm.
|
||
Host |
Rabbit
|
||
Species Reactivity |
Human
|
||
Immunogen |
343-376 aa
|
||
Target |
This MAP2K7 antibody is generated from a rabbit immunized with a KLH conjugated synthetic peptide between 343-376 amino acids of human MAP2K7.
|
||
Symbol |
JNKK2, MEK7, MKK7, PRKMK7, SKK4
|
||
GeneID |
|||
UniProt ID |
|||
Function |
Dual specificity protein kinase which acts as an essential component of the MAP kinase signal transduction pathway. Essential component of the stress-activated protein kinase/c-Jun N-terminal kinase (SAP/JNK) signaling pathway. With MAP2K4/MKK4, is the one of the only known kinase to directly activate the stress-activated protein kinase/c-Jun N-terminal kinases MAPK8/JNK1, MAPK9/JNK2 and MAPK10/JNK3. MAP2K4/MKK4 and MAP2K7/MKK7 both activate the JNKs by phosphorylation, but they differ in their preference for the phosphorylation site in the Thr-Pro-Tyr motif. MAP2K4/MKK4 shows preference for phosphorylation of the Tyr residue and MAP2K7/MKK7 for the Thr residue. The monophosphorylation of JNKs on the Thr residue is sufficient to increase JNK activity indicating that MAP2K7/MKK7 is important to trigger JNK activity, while the additional phosphorylation of the Tyr residue by MAP2K4/MKK4 ensures optimal JNK activation. Has a specific role in JNK signal transduction pathway activated by proinflammatory cytokines. The MKK/JNK signaling pathway is also involved in mitochondrial death signaling pathway, including the release cytochrome c, leading to apoptosis.
|
||
Summary |
Dual specificity protein kinase which acts as an essential component of the MAP kinase signal transduction pathway. Essential component of the stress-activated protein kinase/c-Jun N-terminal kinase (SAP/JNK) signaling pathway. With MAP2K4/MKK4, is the one of the only known kinase to directly activate the stress-activated protein kinase/c-Jun N-terminal kinases MAPK8/JNK1, MAPK9/JNK2 and MAPK10/JNK3. MAP2K4/MKK4 and MAP2K7/MKK7 both activate the JNKs by phosphorylation, but they differ in their preference for the phosphorylation site in the Thr-Pro-Tyr motif. MAP2K4/MKK4 shows preference for phosphorylation of the Tyr residue and MAP2K7/MKK7 for the Thr residue. The monophosphorylation of JNKs on the Thr residue is sufficient to increase JNK activity indicating that MAP2K7/MKK7 is important to trigger JNK activity, while the additional phosphorylation of the Tyr residue by MAP2K4/MKK4 ensures optimal JNK activation. Has a specific role in JNK signal transduction pathway activated by proinflammatory cytokines. The MKK/JNK signaling pathway is also involved in mitochondrial death signaling pathway, including the release cytochrome c, leading to apoptosis.
|
||
Form |
Liquid. In PBS containing 0.02% sodium azide. |
||
Storage & Stability |
Store at +4°C short term. For long-term storage, aliquot and store at -20°C or below. Stable for 12 months at -20°C. Avoid repeated freeze-thaw cycles.
|
||
Applications |
WB
|
||
Dilution |
WB~~1:2000
|
||
Synonyms |
Dual specificity mitogen-activated protein kinase kinase 7, MAP kinase kinase 7, MAPKK 7, JNK-activating kinase 2, MAPK/ERK kinase 7, MEK 7, Stress-activated protein kinase kinase 4, SAPK kinase 4, SAPKK-4, SAPKK4, c-Jun N-terminal kinase kinase 2, JNK kinase 2, JNKK 2, MAP2K7, JNKK2, MEK7, MKK7, PRKMK7, SKK4
|
||
Images |
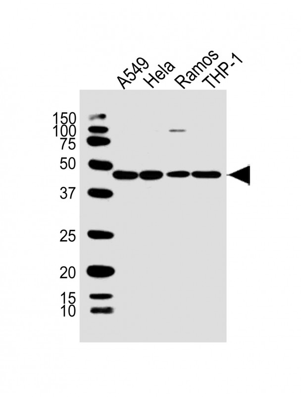
All lanes : Anti-MAP2K7 Antibody (C-Term) at 1:2000 dilution Lane 1: A549 whole cell lysate Lane 2: Hela whole cell lysate Lane 3: Ramos whole cell lysate Lane 4: THP-1 whole cell lysate Lysates/proteins at 20 μg per lane. Secondary Goat Anti-Rabbit IgG, (H+L), Peroxidase conjugated at 1/10000 dilution. Predicted band size : 47 kDa Blocking/Dilution buffer: 5% NFDM/TBST. |
||
Specification |
|||
Quantity |
|
||
| Select | Brand | Catalog No. | Product Name | Pack Size | Type | Field of Research | Specification | Quantity | Price(USD) | |
| 1 | Leading Biology | APR03440G | ITGA11 Antibody (N-term) | 100 μl | Polyclonal Antibodies |
|
$495.00 | Add Ask | ||
| 2 | Leading Biology | APR04537G | CMIP Antibody (C-term) | 100 μl | Polyclonal Antibodies |
|
$495.00 | Add Ask | ||
| 3 | Leading Biology | APR12422G | Human H4 Histamine Receptor (extracellular) Antibody | 50 μl | Polyclonal Antibodies |
|
$695.00 | Add Ask | ||
| 4 | Leading Biology | APR03844G | UBE2W Antibody (C-term) | 100 μl | Polyclonal Antibodies |
|
$495.00 | Add Ask | ||
| 5 | Leading Biology | APR04349G | HECTD2 Antibody (N-term) | 100 μl | Polyclonal Antibodies |
|
$495.00 | Add Ask | ||
| 6 | Leading Biology | APR03502G | IGHG1 Antibody (Center) | 100 μl | Polyclonal Antibodies |
|
$495.00 | Add Ask |
Leading Biology Inc.
2600 Hilltop DR, Building G, B Suite C138
Richmond, CA, 94806
Tel: 1-661-524(LBI)-0262
Email: info@leadingbiology.com
Complete this form and click send to ask us a question, request a quote or simply say hello.

You have 0 item in your cart

You have 0 item in your inquiry list