> Antigen, Antibodies, ELISA, Western Blot > Primary Antibody > Polyclonal Antibodies > Glycerol kinase (GPK2) Antibody (C-term)Brand |
Leading Biology | Catalog Number |
APR16165G |
Product Type |
Polyclonal Antibodies | Field of Research |
|
Product Overview |
We constantly strive to ensure we provide our customers with the best antibodies. As a result of this work we offer this antibody in purified format.
We are in the process of updating our datasheets. If you have any questions regarding this update, please feel free to contact our technical support team.
This product is a high quality Glycerol kinase (GPK2) antibody (C-term).
|
||
Molecular Weight |
H=61;M=61 KDa
|
||
Cellular Localization |
Antigen Cellular Localization:
Mitochondrion outer membrane; Peripheral membrane protein; Cytoplasmic side. Cytoplasm. Note=In sperm the majority of the enzyme is bound to mitochondria.
|
||
Host |
Rabbit
|
||
Species Reactivity |
Human
|
||
Immunogen |
487-515 aa
|
||
Target |
This Glycerol kinase (GPK2) antibody is generated from rabbits immunized with a KLH conjugated synthetic peptide between 487-515 amino acids from the C-terminal region of human Glycerol kinase (GPK2).
|
||
Symbol |
GKP2, GKTA
|
||
GeneID |
|||
UniProt ID |
|||
Function |
Key enzyme in the regulation of glycerol uptake and metabolism.
|
||
Summary |
The human glycerol kinase gene family consists of at least 3 expressed loci. The GK1 locus on Xp21.3 is the site of mutations (deletions) causing glycerol kinase deficiency. It comprises 19 exons and is probably ancestral to several other genes which, because they are intronless, are suspected of having arisen by reverse transcriptase mediated events. These include 2 genes on chromosome 4. They are expressed as a single mRNA species in testis where expression is at a high level.
|
||
Form |
Liquid. In PBS containing 0.02% sodium azide. |
||
Storage & Stability |
Store at +4°C short term. For long-term storage, aliquot and store at -20°C or below. Stable for 12 months at -20°C. Avoid repeated freeze-thaw cycles.
|
||
Applications |
WB, IHC-P
|
||
Dilution |
WB~~1:1000
IHC-P~~1:50~100
|
||
Synonyms |
Glycerol kinase 2, GK 2, Glycerokinase 2, ATP:glycerol 3-phosphotransferase 2, Glycerol kinase, testis specific 2, GK2, GKP2, GKTA
|
||
Images |
All lanes : Anti-GPK2/3 Antibody (T502) at 1:1000 dilution Lane 1: human liver lysate Lane 2: Jurkat whole cell lysate Lysates/proteins at 20 μg per lane. Secondary Goat Anti-Rabbit IgG, (H+L), Peroxidase conjugated at 1/10000 dilution. Predicted band size : 61 kDa Blocking/Dilution buffer: 5% NFDM/TBST.
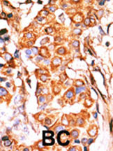
Formalin-fixed and paraffin-embedded human cancer tissue reacted with the primary antibody, which was peroxidase-conjugated to the secondary antibody, followed by AEC staining. This data demonstrates the use of this antibody for immunohistochemistry; clinical relevance has not been evaluated. BC = breast carcinoma; HC = hepatocarcinoma. |
||
Specification |
|||
Quantity |
|
||
| Select | Brand | Catalog No. | Product Name | Pack Size | Type | Field of Research | Specification | Quantity | Price(USD) | |
| 1 | Leading Biology | APR03440G | ITGA11 Antibody (N-term) | 100 μl | Polyclonal Antibodies |
|
$495.00 | Add Ask | ||
| 2 | Leading Biology | APR04537G | CMIP Antibody (C-term) | 100 μl | Polyclonal Antibodies |
|
$495.00 | Add Ask | ||
| 3 | Leading Biology | APR12422G | Human H4 Histamine Receptor (extracellular) Antibody | 50 μl | Polyclonal Antibodies |
|
$695.00 | Add Ask | ||
| 4 | Leading Biology | APR03844G | UBE2W Antibody (C-term) | 100 μl | Polyclonal Antibodies |
|
$495.00 | Add Ask | ||
| 5 | Leading Biology | APR04349G | HECTD2 Antibody (N-term) | 100 μl | Polyclonal Antibodies |
|
$495.00 | Add Ask | ||
| 6 | Leading Biology | APR03502G | IGHG1 Antibody (Center) | 100 μl | Polyclonal Antibodies |
|
$495.00 | Add Ask |
Leading Biology Inc.
2600 Hilltop DR, Building G, B Suite C138
Richmond, CA, 94806
Tel: 1-661-524(LBI)-0262
Email: info@leadingbiology.com
Complete this form and click send to ask us a question, request a quote or simply say hello.

You have 0 item in your cart

You have 0 item in your inquiry list