> Antigen, Antibodies, ELISA, Western Blot > Primary Antibody > Polyclonal Antibodies > FABP3 AntibodyBrand |
Leading Biology | Catalog Number |
APC00101G |
Product Type |
Polyclonal Antibodies | Field of Research |
|
Product Overview |
We constantly strive to ensure we provide our customers with the best antibodies. As a result of this work we offer this antibody in purified format.
We are in the process of updating our datasheets. If you have any questions regarding this update, please feel free to contact our technical support team.
This product is a high quality FABP3 antibody.
|
||
Molecular Weight |
H=15;M=15;Rat=15 KDa
|
||
Cellular Localization |
Antigen Cellular Localization:
Cytoplasm.
|
||
Host |
Rabbit
|
||
Species Reactivity |
Human
|
||
Target |
This antibody is generated from a rabbit immunized with a KLH conjugated synthetic peptide between amino acids from human.
|
||
Symbol |
FABP11, MDGI
|
||
GeneID |
|||
UniProt ID |
|||
Function |
FABP are thought to play a role in the intracellular transport of long-chain fatty acids and their acyl-CoA esters.
|
||
Summary |
FABP are thought to play a role in the intracellular transport of long-chain fatty acids and their acyl-CoA esters.
|
||
Form |
Purified polyclonal antibody supplied in PBS with 0.09% (W/V) sodium azide. This antibody is purified through a protein A column, followed by peptide affinity purification. |
||
Storage & Stability |
Store at +4°C short term. For long-term storage, aliquot and store at -20°C or below. Stable for 12 months at -20°C. Avoid repeated freeze-thaw cycles.
|
||
Applications |
FC, WB, IHC-P
|
||
Dilution |
WB~~1:1000
FC~~1:25
IHC-P~~1:25
|
||
Synonyms |
Fatty acid-binding protein, heart, Fatty acid-binding protein 3, Heart-type fatty acid-binding protein, H-FABP, Mammary-derived growth inhibitor, MDGI, Muscle fatty acid-binding protein, M-FABP, FABP3, FABP11, MDGI
|
||
Images |
Western blot analysis of lysates from human heart and skeletal muscle tissue lysate (from left to right), using FABP3 Antibody(Cat. APC00101G). APC00101G was diluted at 1:1000 at each lane. A goat anti-rabbit IgG H&L(HRP) at 1:10000 dilution was used as the secondary antibody.
Flow cytometric analysis of HepG2 cells using FABP3(green, APC00101G) compared to an isotype control of rabbit IgG(blue). APC00101G was diluted at 1:25 dilution. An Alexa Fluor? 488 goat anti-rabbit lgG at 1:400 dilution was used as the secondary antibody.
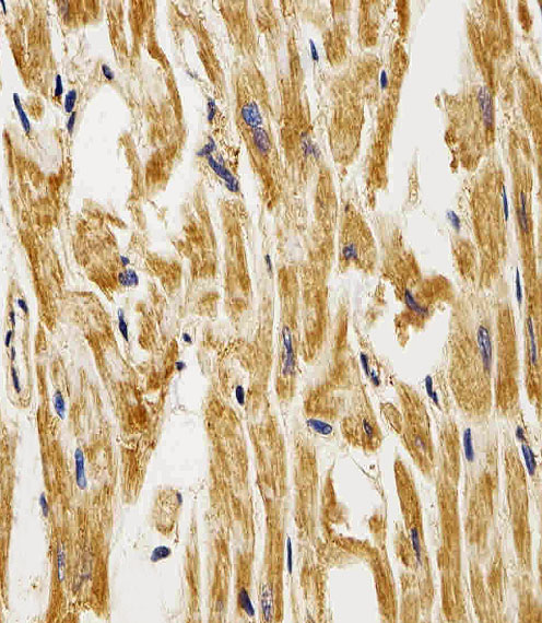
Immunohistochemical analysis of paraffin-embedded H. heart section using FABP3( APC00101G). APC00101G was diluted at 1:25 dilution. A peroxidase-conjugated goat anti-rabbit IgG at 1:400 dilution was used as the secondary antibody, followed by DAB staining. |
||
Specification |
|||
Quantity |
|
||
| Select | Brand | Catalog No. | Product Name | Pack Size | Type | Field of Research | Specification | Quantity | Price(USD) | |
| 1 | Leading Biology | APR03440G | ITGA11 Antibody (N-term) | 100 μl | Polyclonal Antibodies |
|
$495.00 | Add Ask | ||
| 2 | Leading Biology | APR04537G | CMIP Antibody (C-term) | 100 μl | Polyclonal Antibodies |
|
$495.00 | Add Ask | ||
| 3 | Leading Biology | APR12422G | Human H4 Histamine Receptor (extracellular) Antibody | 50 μl | Polyclonal Antibodies |
|
$695.00 | Add Ask | ||
| 4 | Leading Biology | APR03844G | UBE2W Antibody (C-term) | 100 μl | Polyclonal Antibodies |
|
$495.00 | Add Ask | ||
| 5 | Leading Biology | APR04349G | HECTD2 Antibody (N-term) | 100 μl | Polyclonal Antibodies |
|
$495.00 | Add Ask | ||
| 6 | Leading Biology | APR03502G | IGHG1 Antibody (Center) | 100 μl | Polyclonal Antibodies |
|
$495.00 | Add Ask |
Leading Biology Inc.
2600 Hilltop DR, Building G, B Suite C138
Richmond, CA, 94806
Tel: 1-661-524(LBI)-0262
Email: info@leadingbiology.com
Complete this form and click send to ask us a question, request a quote or simply say hello.

You have 0 item in your cart

You have 0 item in your inquiry list