> Antigen, Antibodies, ELISA, Western Blot > Primary Antibody > Polyclonal Antibodies > Goat Anti-Tensin 1 Antibody (internal region)Brand |
Leading Biology | Catalog Number |
APR16413G |
Product Type |
Polyclonal Antibodies | Field of Research |
|
Product Overview |
We constantly strive to ensure we provide our customers with the best antibodies. As a result of this work we offer this antibody in purified format.
We are in the process of updating our datasheets. If you have any questions regarding this update, please feel free to contact our technical support team.
This product is a high quality Goat Anti-Tensin 1 antibody (internal region).
|
||
Molecular Weight |
185701 Da
|
||
Cellular Localization |
Antigen Cellular Localization:
Cell surface. Cell junction, focal adhesion Cytoplasm, cytoskeleton Note=Localized at cell periphery preferentially to fibrillar adhesions than focal adhesions. Translocates from the cell edge to cell center in an ITGB1BP1-dependent manner
|
||
Host |
Goat
|
||
Species Reactivity |
Human
|
||
Symbol |
TNS
|
||
GeneID |
|||
UniProt ID |
|||
Function |
Involved in fibrillar adhesion formation. May be involved in cell migration, cartilage development and in linking signal transduction pathways to the cytoskeleton.
|
||
Form |
Supplied at 0.5 mg/ml in Tris saline, 0.02% sodium azide, pH7.3 with 0.5% bovine serum albumin.Aliquot and store at -20°C. Minimize freezing and thawing. |
||
Storage & Stability |
Store at +4°C short term. For long-term storage, aliquot and store at -20°C or below. Stable for 12 months at -20°C. Avoid repeated freeze-thaw cycles.
|
||
Applications |
IHC, E
|
||
Synonyms |
TNS1; tensin 1; DKFZp586K0617; MGC88584; MST091; MST122; MST127; MSTP122; MSTP127; MXRA6; TNS; Matrix-remodelling-associated protein 6; OTTHUMP00000207627; OTTHUMP00000207628; matrix-remodelling associated 6; tensin-1
|
||
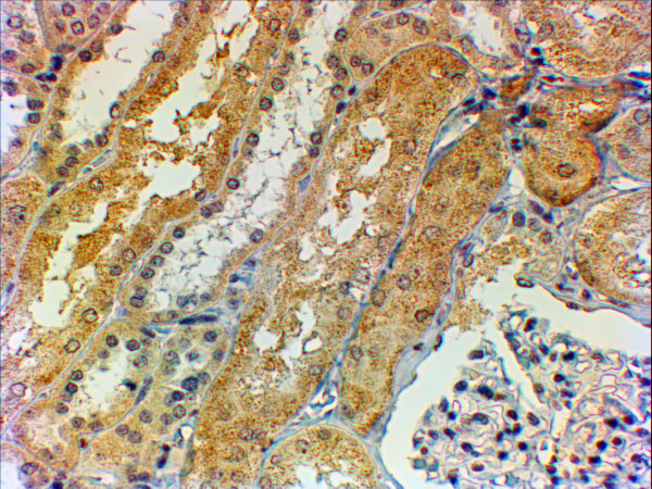
Images |
APR16413G (2 μg/ml) staining of paraffin embedded Human Kidney. Steamed antigen retrieval with citrate buffer pH 6, HRP-staining. |
||
Specification |
|||
Quantity |
|
||
| Select | Brand | Catalog No. | Product Name | Pack Size | Type | Field of Research | Specification | Quantity | Price(USD) | |
| 1 | Leading Biology | APR03440G | ITGA11 Antibody (N-term) | 100 μl | Polyclonal Antibodies |
|
$495.00 | Add Ask | ||
| 2 | Leading Biology | APR04537G | CMIP Antibody (C-term) | 100 μl | Polyclonal Antibodies |
|
$495.00 | Add Ask | ||
| 3 | Leading Biology | APR12422G | Human H4 Histamine Receptor (extracellular) Antibody | 50 μl | Polyclonal Antibodies |
|
$695.00 | Add Ask | ||
| 4 | Leading Biology | APR03844G | UBE2W Antibody (C-term) | 100 μl | Polyclonal Antibodies |
|
$495.00 | Add Ask | ||
| 5 | Leading Biology | APR04349G | HECTD2 Antibody (N-term) | 100 μl | Polyclonal Antibodies |
|
$495.00 | Add Ask | ||
| 6 | Leading Biology | APR03502G | IGHG1 Antibody (Center) | 100 μl | Polyclonal Antibodies |
|
$495.00 | Add Ask |
Leading Biology Inc.
2600 Hilltop DR, Building G, B Suite C138
Richmond, CA, 94806
Tel: 1-661-524(LBI)-0262
Email: info@leadingbiology.com
Complete this form and click send to ask us a question, request a quote or simply say hello.

You have 0 item in your cart

You have 0 item in your inquiry list