> Antigen, Antibodies, ELISA, Western Blot > Primary Antibody > Polyclonal Antibodies > GNAT3 Antibody (internal region)Brand |
Leading Biology | Catalog Number |
APR12055G |
Product Type |
Polyclonal Antibodies | Field of Research |
|
Product Overview |
We constantly strive to ensure we provide our customers with the best antibodies. As a result of this work we offer this antibody in purified format.
We are in the process of updating our datasheets. If you have any questions regarding this update, please feel free to contact our technical support team.
This product is a high quality GNAT3 antibody (internal region).
|
||
Molecular Weight |
40357 Da
|
||
Cellular Localization |
Antigen Cellular Localization:
Cytoplasm. Note=Dual ditribution pattern; plasmalemmal pattern with apical region localization and cytosolic pattern with localization throughout the cytoplasm
|
||
Host |
Goat
|
||
Species Reactivity |
Human
|
||
Isotype |
IgG
|
||
GeneID |
|||
UniProt ID |
|||
Function |
Guanine nucleotide-binding protein (G protein) alpha subunit playing a prominent role in bitter and sweet taste transduction as well as in umami (monosodium glutamate, monopotassium glutamate, and inosine monophosphate) taste transduction. Transduction by this alpha subunit involves coupling of specific cell-surface receptors with a cGMP-phosphodiesterase; Activation of phosphodiesterase lowers intracellular levels of cAMP and cGMP which may open a cyclic nucleotide-suppressible cation channel leading to influx of calcium, ultimately leading to release of neurotransmitter. Indeed, denatonium and strychnine induce transient reduction in cAMP and cGMP in taste tissue, whereas this decrease is inhibited by GNAT3 antibody. Gustducin heterotrimer transduces response to bitter and sweet compounds via regulation of phosphodiesterase for alpha subunit, as well as via activation of phospholipase C for beta and gamma subunits, with ultimate increase inositol trisphosphate and increase of intracellular Calcium. GNAT3 can functionally couple to taste receptors to transmit intracellular signal: receptor heterodimer TAS1R2/TAS1R3 senses sweetness and TAS1R1/TAS1R3 transduces umami taste, whereas the T2R family GPCRs act as bitter sensors. Functions also as lumenal sugar sensors in the gut to control the expression of the Na+-glucose transporter SGLT1 in response to dietaty sugar, as well as the secretion of Glucagon-like peptide- 1, GLP-1 and glucose-dependent insulinotropic polypeptide, GIP. Thus, may modulate the gut capacity to absorb sugars, with implications in malabsorption syndromes and diet-related disorders including diabetes and obesity.
|
||
Form |
0.5 mg/ml in Tris saline, 0.02% sodium azide, pH7.3 with 0.5% bovine serum albumin |
||
Storage & Stability |
Store at +4°C short term. For long-term storage, aliquot and store at -20°C or below. Stable for 12 months at -20°C. Avoid repeated freeze-thaw cycles.
|
||
Applications |
IHC, E
|
||
Synonyms |
Guanine nucleotide-binding protein G(t) subunit alpha-3, Gustducin alpha-3 chain, GNAT3
|
||
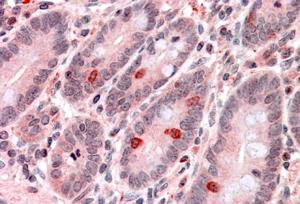
Images |
APR12055G (3.8 μg/ml) staining of paraffin embedded Human Small Intestine. Steamed antigen retrieval with citrate buffer pH 6, AP-staining. |
||
Specification |
|||
Quantity |
|
||
| Select | Brand | Catalog No. | Product Name | Pack Size | Type | Field of Research | Specification | Quantity | Price(USD) | |
| 1 | Leading Biology | APR03440G | ITGA11 Antibody (N-term) | 100 μl | Polyclonal Antibodies |
|
$495.00 | Add Ask | ||
| 2 | Leading Biology | APR04537G | CMIP Antibody (C-term) | 100 μl | Polyclonal Antibodies |
|
$495.00 | Add Ask | ||
| 3 | Leading Biology | APR12422G | Human H4 Histamine Receptor (extracellular) Antibody | 50 μl | Polyclonal Antibodies |
|
$695.00 | Add Ask | ||
| 4 | Leading Biology | APR03844G | UBE2W Antibody (C-term) | 100 μl | Polyclonal Antibodies |
|
$495.00 | Add Ask | ||
| 5 | Leading Biology | APR04349G | HECTD2 Antibody (N-term) | 100 μl | Polyclonal Antibodies |
|
$495.00 | Add Ask | ||
| 6 | Leading Biology | APR03502G | IGHG1 Antibody (Center) | 100 μl | Polyclonal Antibodies |
|
$495.00 | Add Ask |
Leading Biology Inc.
2600 Hilltop DR, Building G, B Suite C138
Richmond, CA, 94806
Tel: 1-661-524(LBI)-0262
Email: info@leadingbiology.com
Complete this form and click send to ask us a question, request a quote or simply say hello.

You have 0 item in your cart

You have 0 item in your inquiry list