> Antigen, Antibodies, ELISA, Western Blot > Primary Antibody > Polyclonal Antibodies > Goat Anti-PCSK9 (C Terminus) AntibodyBrand |
Leading Biology | Catalog Number |
AMM05077G |
Product Type |
Polyclonal Antibodies | Field of Research |
|
Product Overview |
We constantly strive to ensure we provide our customers with the best antibodies. As a result of this work we offer this antibody in purified format.
We are in the process of updating our datasheets. If you have any questions regarding this update, please feel free to contact our technical support team.
This product is a high quality Goat Anti-PCSK9 (C Terminus) antibody.
|
||
Molecular Weight |
74286 Da
|
||
Cellular Localization |
Antigen Cellular Localization:
Cytoplasm. Secreted. Endosome. Lysosome. Cell surface. Endoplasmic reticulum. Golgi apparatus Note=Autocatalytic cleavage is required to transport it from the endoplasmic reticulum to the Golgi apparatus and for the secretion of the mature protein. Localizes to the endoplasmic reticulum in the absence of LDLR and colocalizes to the cell surface and to the endosomes/lysosomes in the presence of LDLR. The sorting to the cell surface and endosomes is required in order to fully promote LDLR degradation
|
||
Host |
Goat
|
||
Species Reactivity |
Human
|
||
Isotype |
IgG
|
||
Symbol |
NARC1
|
||
GeneID |
|||
UniProt ID |
|||
Function |
Crucial player in the regulation of plasma cholesterol homeostasis. Binds to low-density lipid receptor family members: low density lipoprotein receptor (LDLR), very low density lipoprotein receptor (VLDLR), apolipoprotein E receptor (LRP1/APOER) and apolipoprotein receptor 2 (LRP8/APOER2), and promotes their degradation in intracellular acidic compartments. Acts via a non-proteolytic mechanism to enhance the degradation of the hepatic LDLR through a clathrin LDLRAP1/ARH-mediated pathway. May prevent the recycling of LDLR from endosomes to the cell surface or direct it to lysosomes for degradation. Can induce ubiquitination of LDLR leading to its subsequent degradation. Inhibits intracellular degradation of APOB via the autophagosome/lysosome pathway in a LDLR-independent manner. Involved in the disposal of non-acetylated intermediates of BACE1 in the early secretory pathway. Inhibits epithelial Na(+) channel (ENaC)-mediated Na(+) absorption by reducing ENaC surface expression primarily by increasing its proteasomal degradation. Regulates neuronal apoptosis via modulation of LRP8/APOER2 levels and related anti-apoptotic signaling pathways.
|
||
Summary |
This gene encodes a proprotein convertase belonging to the proteinase K subfamily of the secretory subtilase family. The encoded protein is synthesized as a soluble zymogen that undergoes autocatalytic intramolecular processing in the endoplasmic reticulum. The protein may function as a proprotein convertase. This protein plays a role in cholesterol homeostasis and may have a role in the differentiation of cortical neurons. Mutations in this gene have been associated with a third form of autosomal dominant familial hypercholesterolemia (HCHOLA3).
|
||
Form |
0.5 mg IgG/ml in Tris saline (20mM Tris pH7.3, 150mM NaCl), 0.02% sodium azide, with 0.5% bovine serum albumin |
||
Storage & Stability |
Store at +4°C short term. For long-term storage, aliquot and store at -20°C or below. Stable for 12 months at -20°C. Avoid repeated freeze-thaw cycles.
|
||
Applications |
WB, IHC, E
|
||
Synonyms |
Proprotein convertase subtilisin/kexin type 9, 3.4.21.-, Neural apoptosis-regulated convertase 1, NARC-1, Proprotein convertase 9, PC9, Subtilisin/kexin-like protease PC9, PCSK9, NARC1
|
||
Images |
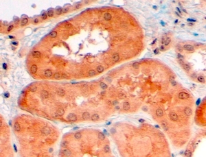
AMM05077G (4 μg/ml) staining of paraffin embedded Human Kidney. Steamed antigen retrieval with Tris/EDTA buffer pH 9, HRP-staining.
AMM05077G staining (0.2 μg/ml) of McA cell lysates: untransfected (1), transfected with wild type human pcsk9 (2), transfected with S127R human pcsk9 (3). Data kindly provided by Dr. X-M Sun, Hammersmith Hospital, London.
AMM05077G (0.3 μg/ml) staining of Human Adipose lysate (35 μg protein in RIPA buffer). Primary incubation was 1 hour. Detected by chemiluminescence. |
||
Specification |
|||
Quantity |
|
||
| Select | Brand | Catalog No. | Product Name | Pack Size | Type | Field of Research | Specification | Quantity | Price(USD) | |
| 1 | Leading Biology | APR03440G | ITGA11 Antibody (N-term) | 100 μl | Polyclonal Antibodies |
|
$495.00 | Add Ask | ||
| 2 | Leading Biology | APR04537G | CMIP Antibody (C-term) | 100 μl | Polyclonal Antibodies |
|
$495.00 | Add Ask | ||
| 3 | Leading Biology | APR12422G | Human H4 Histamine Receptor (extracellular) Antibody | 50 μl | Polyclonal Antibodies |
|
$695.00 | Add Ask | ||
| 4 | Leading Biology | APR03844G | UBE2W Antibody (C-term) | 100 μl | Polyclonal Antibodies |
|
$495.00 | Add Ask | ||
| 5 | Leading Biology | APR04349G | HECTD2 Antibody (N-term) | 100 μl | Polyclonal Antibodies |
|
$495.00 | Add Ask | ||
| 6 | Leading Biology | APR03502G | IGHG1 Antibody (Center) | 100 μl | Polyclonal Antibodies |
|
$495.00 | Add Ask |
Leading Biology Inc.
2600 Hilltop DR, Building G, B Suite C138
Richmond, CA, 94806
Tel: 1-661-524(LBI)-0262
Email: info@leadingbiology.com
Complete this form and click send to ask us a question, request a quote or simply say hello.

You have 0 item in your cart

You have 0 item in your inquiry list