> Antigen, Antibodies, ELISA, Western Blot > Primary Antibody > Polyclonal Antibodies > Goat Anti-Pancreatic Polypeptide / PPY AntibodyBrand |
Leading Biology | Catalog Number |
APR16351G |
Product Type |
Polyclonal Antibodies | Field of Research |
|
Product Overview |
We constantly strive to ensure we provide our customers with the best antibodies. As a result of this work we offer this antibody in purified format.
We are in the process of updating our datasheets. If you have any questions regarding this update, please feel free to contact our technical support team.
This product is a high quality Goat Anti-Pancreatic Polypeptide / PPY antibody.
|
||
Molecular Weight |
10445 Da
|
||
Cellular Localization |
Antigen Cellular Localization:
Secreted.
|
||
Host |
Goat
|
||
Species Reactivity |
Human, Mouse
|
||
Isotype |
IgG
|
||
Symbol |
PNP
|
||
GeneID |
|||
UniProt ID |
|||
Function |
Pancreatic hormone is synthesized in pancreatic islets of Langerhans and acts as a regulator of pancreatic and gastrointestinal functions.
|
||
Summary |
This gene belongs to the NPY family and it encodes a protein that is synthesized as a 95 aa polypeptide precursor in the pancreatic islets of Langerhans. It is cleaved into two peptide products; the active hormone of 36 aa and an icosapeptide of unknown function. The hormone acts as a regulator of pancreatic and gastrointestinal functions and may be important in the regulation of food intake. Plasma level of this hormone has been shown to be reduced in conditions associated with increased food intake and elevated in anorexia nervosa. In addition, infusion of this hormone in obese rodents has shown to decrease weight gain.
|
||
Form |
0.5 mg IgG/ml in Tris saline (20mM Tris pH7.3, 150mM NaCl), 0.02% sodium azide, with 0.5% bovine serum albumin |
||
Storage & Stability |
Store at +4°C short term. For long-term storage, aliquot and store at -20°C or below. Stable for 12 months at -20°C. Avoid repeated freeze-thaw cycles.
|
||
Applications |
IHC, E
|
||
Synonyms |
Pancreatic prohormone, Pancreatic polypeptide, PP, Obinepitide, Pancreatic hormone, PH, Pancreatic icosapeptide, PI, PPY, PNP
|
||
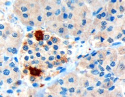
Images |
APR16351G (3 μg/ml) staining of paraffin embedded human pancreas. Microwaved antigen retrieval with Tris/EDTA buffer pH9, HRP-staining. |
||
Specification |
|||
Quantity |
|
||
| Select | Brand | Catalog No. | Product Name | Pack Size | Type | Field of Research | Specification | Quantity | Price(USD) | |
| 1 | Leading Biology | APR03440G | ITGA11 Antibody (N-term) | 100 μl | Polyclonal Antibodies |
|
$495.00 | Add Ask | ||
| 2 | Leading Biology | APR04537G | CMIP Antibody (C-term) | 100 μl | Polyclonal Antibodies |
|
$495.00 | Add Ask | ||
| 3 | Leading Biology | APR12422G | Human H4 Histamine Receptor (extracellular) Antibody | 50 μl | Polyclonal Antibodies |
|
$695.00 | Add Ask | ||
| 4 | Leading Biology | APR03844G | UBE2W Antibody (C-term) | 100 μl | Polyclonal Antibodies |
|
$495.00 | Add Ask | ||
| 5 | Leading Biology | APR04349G | HECTD2 Antibody (N-term) | 100 μl | Polyclonal Antibodies |
|
$495.00 | Add Ask | ||
| 6 | Leading Biology | APR03502G | IGHG1 Antibody (Center) | 100 μl | Polyclonal Antibodies |
|
$495.00 | Add Ask |
Leading Biology Inc.
2600 Hilltop DR, Building G, B Suite C138
Richmond, CA, 94806
Tel: 1-661-524(LBI)-0262
Email: info@leadingbiology.com
Complete this form and click send to ask us a question, request a quote or simply say hello.

You have 0 item in your cart

You have 0 item in your inquiry list