> Antigen, Antibodies, ELISA, Western Blot > Primary Antibody > Polyclonal Antibodies > Goat Anti-Laforin (isoform a) AntibodyBrand |
Leading Biology | Catalog Number |
AMM05030G |
Product Type |
Polyclonal Antibodies | Field of Research |
|
Product Overview |
We constantly strive to ensure we provide our customers with the best antibodies. As a result of this work we offer this antibody in purified format.
We are in the process of updating our datasheets. If you have any questions regarding this update, please feel free to contact our technical support team.
This product is a high quality Goat Anti-Laforin (isoform a) antibody.
|
||
Molecular Weight |
37158 Da
|
||
Cellular Localization |
Antigen Cellular Localization:
Cytoplasm Note=Under glycogenolytic conditions localizes to the nucleus Isoform 2: Endoplasmic reticulum. Cell membrane. Nucleus. Note=Also found in the nucleus Isoform 5: Cytoplasm. Nucleus.
|
||
Host |
Goat
|
||
Species Reactivity |
Human
|
||
Isotype |
IgG
|
||
GeneID |
|||
UniProt ID |
|||
Function |
Has both dual-specificity protein phosphatase and glucan phosphatase activities. Together with the E3 ubiquitin ligase NHLRC1/malin, appears to be involved in the clearance of toxic polyglucosan and protein aggregates via multiple pathways. Dephosphorylates phosphotyrosine, phosphoserine and phosphothreonine substrates in vitro. Has also been shown to dephosphorylate MAPT. Shows strong phosphatase activity towards complex carbohydrates in vitro, avoiding glycogen hyperphosphorylation which is associated with reduced branching and formation of insoluble aggregates. Forms a complex with NHLRC1/malin and HSP70, which suppresses the cellular toxicity of misfolded proteins by promoting their degradation through the ubiquitin-proteasome system (UPS). Acts as a scaffold protein to facilitate PPP1R3C/PTG ubiquitination by NHLRC1/malin. Also promotes proteasome-independent protein degradation through the macroautophagy pathway. Isoform 2, an inactive phosphatase, could function as a dominant-negative regulator for the phosphatase activity of isoform 1.
|
||
Summary |
This gene encodes a dual-specificity phosphatase that associates with polyribosomes. The encoded protein may be involved in the regulation of glycogen metabolism. Mutations in this gene have been associated with myoclonic epilepsy of Lafora. Alternative splicing results in multiple transcript variants.
|
||
Form |
0.5 mg IgG/ml in Tris saline (20mM Tris pH7.3, 150mM NaCl), 0.02% sodium azide, with 0.5% bovine serum albumin |
||
Storage & Stability |
Store at +4°C short term. For long-term storage, aliquot and store at -20°C or below. Stable for 12 months at -20°C. Avoid repeated freeze-thaw cycles.
|
||
Applications |
WB, IHC, E
|
||
Synonyms |
Laforin, 3.1.3.-, 3.1.3.16, 3.1.3.48, Glucan phosphatase, Lafora PTPase, LAFPTPase, EPM2A
|
||
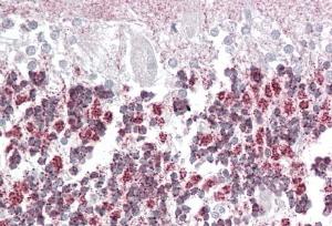
Images |
AMM05030G (3.8 μg/ml) staining of paraffin embedded Human Cerebellum. Steamed antigen retrieval with citrate buffer pH 6, AP-staining.
AMM05030G (0.1 μg/ml) staining of Human Cerebellum lysate (35 μg protein in RIPA buffer). Primary incubation was 1 hour. Detected by chemiluminescence. |
||
Specification |
|||
Quantity |
|
||
| Select | Brand | Catalog No. | Product Name | Pack Size | Type | Field of Research | Specification | Quantity | Price(USD) | |
| 1 | Leading Biology | APR03440G | ITGA11 Antibody (N-term) | 100 μl | Polyclonal Antibodies |
|
$495.00 | Add Ask | ||
| 2 | Leading Biology | APR04537G | CMIP Antibody (C-term) | 100 μl | Polyclonal Antibodies |
|
$495.00 | Add Ask | ||
| 3 | Leading Biology | APR12422G | Human H4 Histamine Receptor (extracellular) Antibody | 50 μl | Polyclonal Antibodies |
|
$695.00 | Add Ask | ||
| 4 | Leading Biology | APR03844G | UBE2W Antibody (C-term) | 100 μl | Polyclonal Antibodies |
|
$495.00 | Add Ask | ||
| 5 | Leading Biology | APR04349G | HECTD2 Antibody (N-term) | 100 μl | Polyclonal Antibodies |
|
$495.00 | Add Ask | ||
| 6 | Leading Biology | APR03502G | IGHG1 Antibody (Center) | 100 μl | Polyclonal Antibodies |
|
$495.00 | Add Ask |
Leading Biology Inc.
2600 Hilltop DR, Building G, B Suite C138
Richmond, CA, 94806
Tel: 1-661-524(LBI)-0262
Email: info@leadingbiology.com
Complete this form and click send to ask us a question, request a quote or simply say hello.

You have 0 item in your cart

You have 0 item in your inquiry list