> Antigen, Antibodies, ELISA, Western Blot > Primary Antibody > Polyclonal Antibodies > CRP AntibodyBrand |
Leading Biology | Catalog Number |
APG02787G |
Product Type |
Polyclonal Antibodies | Field of Research |
|
Product Overview |
We constantly strive to ensure we provide our customers with the best antibodies. As a result of this work we offer this antibody in purified format.
We are in the process of updating our datasheets. If you have any questions regarding this update, please feel free to contact our technical support team.
This product is a high quality CRP antibody.
|
||
Molecular Weight |
25039 Da
|
||
Cellular Localization |
Antigen Cellular Localization:
Secreted.
|
||
Host |
Rabbit
|
||
Species Reactivity |
Human, Mouse, Rat
|
||
Target |
CRP
|
||
Isotype |
Rabbit IgG
|
||
Symbol |
PTX1
|
||
GeneID |
|||
UniProt ID |
|||
Function |
Displays several functions associated with host defense: it promotes agglutination, bacterial capsular swelling, phagocytosis and complement fixation through its calcium-dependent binding to phosphorylcholine. Can interact with DNA and histones and may scavenge nuclear material released from damaged circulating cells.
|
||
Summary |
C-Reactive protein (CRP) is an acute-phase protein that can have both pro-and anti-inflammatory effects. CRP is synthesized by the liver in response to factors released by fat cells or adipocytes. CRP is a member of the pentaxin family of proteins and in its native form is composed of five identical subunits, non-covalently linked to form a symmetrical disc of ~ 115 KDa. Widely used as a clinical marker of the state of inflammation. Increased CRP levels are found in inflammatory conditions including: bacterial infection, rheumatic fever, active arthritis, myocardial infarction, malignancies and in the post-operative state.
|
||
Form |
Liquid |
||
Storage & Stability |
Store at +4°C short term. For long-term storage, aliquot and store at -20°C or below. Stable for 12 months at -20°C. Avoid repeated freeze-thaw cycles.
|
||
Applications |
WB
|
||
Synonyms |
C-Reactive Protein
|
||
Images |
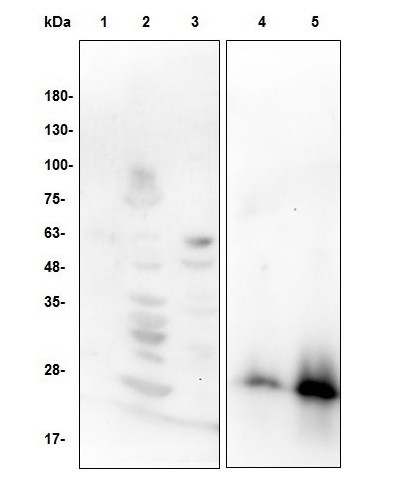
Western blot with CRP antibody: Lane 1: 60 μg Jurkat cell lysate; Lane 2: 44 μg mouse muscle lysate; Lane 3: 60 μg rat kidney lysate; Lane 4: 2 ng Recombinant human CRP; Lane 5: 10 ng Recombinant human CRP |
||
Specification |
|||
Quantity |
|
||
| Select | Brand | Catalog No. | Product Name | Pack Size | Type | Field of Research | Specification | Quantity | Price(USD) | |
| 1 | Leading Biology | APR03440G | ITGA11 Antibody (N-term) | 100 μl | Polyclonal Antibodies |
|
$495.00 | Add Ask | ||
| 2 | Leading Biology | APR04537G | CMIP Antibody (C-term) | 100 μl | Polyclonal Antibodies |
|
$495.00 | Add Ask | ||
| 3 | Leading Biology | APR12422G | Human H4 Histamine Receptor (extracellular) Antibody | 50 μl | Polyclonal Antibodies |
|
$695.00 | Add Ask | ||
| 4 | Leading Biology | APR03844G | UBE2W Antibody (C-term) | 100 μl | Polyclonal Antibodies |
|
$495.00 | Add Ask | ||
| 5 | Leading Biology | APR04349G | HECTD2 Antibody (N-term) | 100 μl | Polyclonal Antibodies |
|
$495.00 | Add Ask | ||
| 6 | Leading Biology | APR03502G | IGHG1 Antibody (Center) | 100 μl | Polyclonal Antibodies |
|
$495.00 | Add Ask |
Leading Biology Inc.
2600 Hilltop DR, Building G, B Suite C138
Richmond, CA, 94806
Tel: 1-661-524(LBI)-0262
Email: info@leadingbiology.com
Complete this form and click send to ask us a question, request a quote or simply say hello.

You have 0 item in your cart

You have 0 item in your inquiry list