> Antigen, Antibodies, ELISA, Western Blot > Primary Antibody > Polyclonal Antibodies > ALDH4A1 antibody - C-terminal regionBrand |
Leading Biology | Catalog Number |
APG01768G |
Product Type |
Polyclonal Antibodies | Field of Research |
|
Product Overview |
We constantly strive to ensure we provide our customers with the best antibodies. As a result of this work we offer this antibody in purified format.
We are in the process of updating our datasheets. If you have any questions regarding this update, please feel free to contact our technical support team.
This product is a high quality ALDH4A1 antibody - C-terminal region.
|
||
Molecular Weight |
62kDa
|
||
Cellular Localization |
Antigen Cellular Localization:
Mitochondrion matrix.
|
||
Host |
Rabbit
|
||
Species Reactivity |
Human, Mouse, Rat, Rabbit, Zebrafish, Pig, Horse, Bovine, Dog
|
||
Symbol |
ALDH4, P5CDH
|
||
GeneID |
|||
UniProt ID |
|||
Function |
Irreversible conversion of delta-1-pyrroline-5- carboxylate (P5C), derived either from proline or ornithine, to glutamate. This is a necessary step in the pathway interconnecting the urea and tricarboxylic acid cycles. The preferred substrate is glutamic gamma-semialdehyde, other substrates include succinic, glutaric and adipic semialdehydes.
|
||
Form |
Liquid. Purified antibody supplied in 1x PBS buffer with 0.09% (w/v) sodium azide and 2% sucrose. |
||
Storage & Stability |
Store at +4°C short term. For long-term storage, aliquot and store at -20°C or below. Stable for 12 months at -20°C. Avoid repeated freeze-thaw cycles.
|
||
Applications |
WB, IHC
|
||
Synonyms |
Delta-1-pyrroline-5-carboxylate dehydrogenase, mitochondrial, P5C dehydrogenase, 1.2.1.88, Aldehyde dehydrogenase family 4 member A1, L-glutamate gamma-semialdehyde dehydrogenase, ALDH4A1, ALDH4, P5CDH
|
||
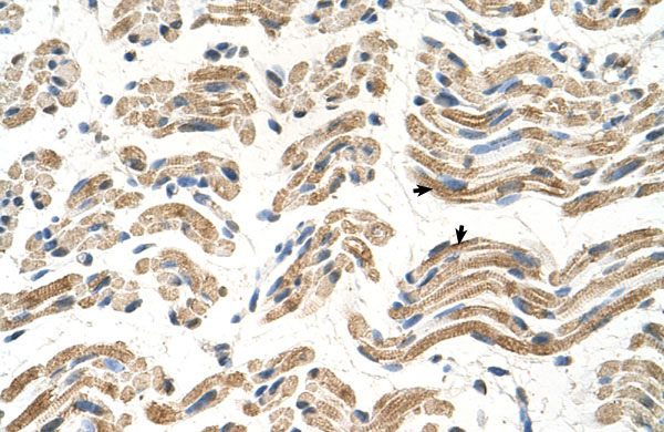
Images |
Human Muscle
WB Suggested Anti-ALDH4A1 Antibody Titration: 1.25 μg/ml Positive Control: Fetal liver cell lysate |
||
Specification |
|||
Quantity |
|
||
| Select | Brand | Catalog No. | Product Name | Pack Size | Type | Field of Research | Specification | Quantity | Price(USD) | |
| 1 | Leading Biology | APR03440G | ITGA11 Antibody (N-term) | 100 μl | Polyclonal Antibodies |
|
$495.00 | Add Ask | ||
| 2 | Leading Biology | APR04537G | CMIP Antibody (C-term) | 100 μl | Polyclonal Antibodies |
|
$495.00 | Add Ask | ||
| 3 | Leading Biology | APR12422G | Human H4 Histamine Receptor (extracellular) Antibody | 50 μl | Polyclonal Antibodies |
|
$695.00 | Add Ask | ||
| 4 | Leading Biology | APR03844G | UBE2W Antibody (C-term) | 100 μl | Polyclonal Antibodies |
|
$495.00 | Add Ask | ||
| 5 | Leading Biology | APR04349G | HECTD2 Antibody (N-term) | 100 μl | Polyclonal Antibodies |
|
$495.00 | Add Ask | ||
| 6 | Leading Biology | APR03502G | IGHG1 Antibody (Center) | 100 μl | Polyclonal Antibodies |
|
$495.00 | Add Ask |
Leading Biology Inc.
2600 Hilltop DR, Building G, B Suite C138
Richmond, CA, 94806
Tel: 1-661-524(LBI)-0262
Email: info@leadingbiology.com
Complete this form and click send to ask us a question, request a quote or simply say hello.

You have 0 item in your cart

You have 0 item in your inquiry list