> Antigen, Antibodies, ELISA, Western Blot > Primary Antibody > Polyclonal Antibodies > CHST1 antibody - N-terminal regionBrand |
Leading Biology | Catalog Number |
APG02592G |
Product Type |
Polyclonal Antibodies | Field of Research |
|
Product Overview |
We constantly strive to ensure we provide our customers with the best antibodies. As a result of this work we offer this antibody in purified format.
We are in the process of updating our datasheets. If you have any questions regarding this update, please feel free to contact our technical support team.
This product is a high quality CHST1 antibody - N-terminal region.
|
||
Molecular Weight |
47kDa
|
||
Cellular Localization |
Antigen Cellular Localization:
Golgi apparatus membrane; Single-pass type II membrane protein
|
||
Host |
Rabbit
|
||
Species Reactivity |
Human, Mouse, Rat, Rabbit, Pig, Bovine, Guinea Pig, Dog
|
||
GeneID |
|||
UniProt ID |
|||
Function |
Sulfotransferase that utilizes 3'-phospho-5'-adenylyl sulfate (PAPS) as sulfonate donor to catalyze the transfer of sulfate to position 6 of galactose (Gal) residues of keratan. Has a preference for sulfating keratan sulfate, but it also transfers sulfate to the unsulfated polymer. The sulfotransferase activity on sialyl LacNAc structures is much higher than the corresponding desialylated substrate, and only internal Gal residues are sulfated. May function in the sulfation of sialyl N- acetyllactosamine oligosaccharide chains attached to glycoproteins. Participates in biosynthesis of selectin ligands. Selectin ligands are present in high endothelial cells (HEVs) and play a central role in lymphocyte homing at sites of inflammation.
|
||
Form |
Liquid. Purified antibody supplied in 1x PBS buffer with 0.09% (w/v) sodium azide and 2% sucrose. |
||
Storage & Stability |
Store at +4°C short term. For long-term storage, aliquot and store at -20°C or below. Stable for 12 months at -20°C. Avoid repeated freeze-thaw cycles.
|
||
Applications |
WB, IHC
|
||
Synonyms |
Carbohydrate sulfotransferase 1, 2.8.2.21, Galactose/N-acetylglucosamine/N-acetylglucosamine 6-O-sulfotransferase 1, GST-1, Keratan sulfate Gal-6 sulfotransferase, KS6ST, KSGal6ST, KSST, CHST1
|
||
Images |
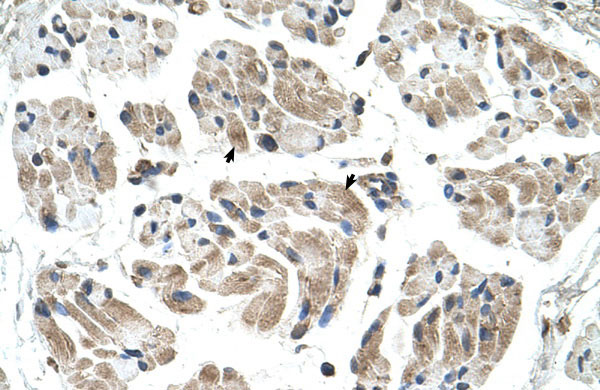
Human Muscle
WB Suggested Anti-CHST1 Antibody Titration: 1.25 μg/ml Positive Control: Jurkat cell lysate |
||
Specification |
|||
Quantity |
|
||
| Select | Brand | Catalog No. | Product Name | Pack Size | Type | Field of Research | Specification | Quantity | Price(USD) | |
| 1 | Leading Biology | APR03440G | ITGA11 Antibody (N-term) | 100 μl | Polyclonal Antibodies |
|
$495.00 | Add Ask | ||
| 2 | Leading Biology | APR04537G | CMIP Antibody (C-term) | 100 μl | Polyclonal Antibodies |
|
$495.00 | Add Ask | ||
| 3 | Leading Biology | APR12422G | Human H4 Histamine Receptor (extracellular) Antibody | 50 μl | Polyclonal Antibodies |
|
$695.00 | Add Ask | ||
| 4 | Leading Biology | APR03844G | UBE2W Antibody (C-term) | 100 μl | Polyclonal Antibodies |
|
$495.00 | Add Ask | ||
| 5 | Leading Biology | APR04349G | HECTD2 Antibody (N-term) | 100 μl | Polyclonal Antibodies |
|
$495.00 | Add Ask | ||
| 6 | Leading Biology | APR03502G | IGHG1 Antibody (Center) | 100 μl | Polyclonal Antibodies |
|
$495.00 | Add Ask |
Leading Biology Inc.
2600 Hilltop DR, Building G, B Suite C138
Richmond, CA, 94806
Tel: 1-661-524(LBI)-0262
Email: info@leadingbiology.com
Complete this form and click send to ask us a question, request a quote or simply say hello.

You have 0 item in your cart

You have 0 item in your inquiry list