> Antigen, Antibodies, ELISA, Western Blot > Primary Antibody > Polyclonal Antibodies > PLIN antibody - N-terminal regionBrand |
Leading Biology | Catalog Number |
AMR09384G |
Product Type |
Polyclonal Antibodies | Field of Research |
|
Product Overview |
We constantly strive to ensure we provide our customers with the best antibodies. As a result of this work we offer this antibody in purified format.
We are in the process of updating our datasheets. If you have any questions regarding this update, please feel free to contact our technical support team.
This product is a high quality PLIN antibody - N-terminal region.
|
||
Molecular Weight |
57kDa
|
||
Cellular Localization |
Antigen Cellular Localization:
Endoplasmic reticulum. Lipid droplet. Note=Lipid droplet surface- associated
|
||
Host |
Rabbit
|
||
Species Reactivity |
Human, Mouse, Rat, Zebrafish, Pig, Sheep, Horse, Bovine, Dog
|
||
Symbol |
PERI, PLIN
|
||
GeneID |
|||
UniProt ID |
|||
Function |
Modulator of adipocyte lipid metabolism. Coats lipid storage droplets to protect them from breakdown by hormone- sensitive lipase (HSL). Its absence may result in leanness. Plays a role in unilocular lipid droplet formation by activating CIDEC. Their interaction promotes lipid droplet enlargement and directional net neutral lipid transfer. May modulate lipolysis and triglyceride levels.
|
||
Form |
Liquid. Purified antibody supplied in 1x PBS buffer with 0.09% (w/v) sodium azide and 2% sucrose. |
||
Storage & Stability |
Store at +4°C short term. For long-term storage, aliquot and store at -20°C or below. Stable for 12 months at -20°C. Avoid repeated freeze-thaw cycles.
|
||
Applications |
WB
|
||
Synonyms |
Perilipin-1, Lipid droplet-associated protein, PLIN1, PERI, PLIN
|
||
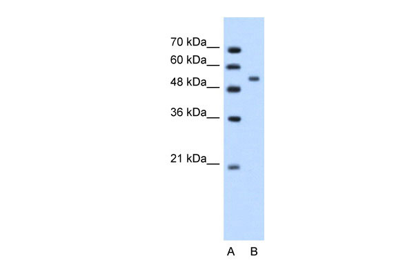
Images |
WB Suggested Anti-PLIN Antibody Titration: 1.25μg/ml Positive Control: Jurkat cell lysate |
||
Specification |
|||
Quantity |
|
||
| Select | Brand | Catalog No. | Product Name | Pack Size | Type | Field of Research | Specification | Quantity | Price(USD) | |
| 1 | Leading Biology | APR03440G | ITGA11 Antibody (N-term) | 100 μl | Polyclonal Antibodies |
|
$495.00 | Add Ask | ||
| 2 | Leading Biology | APR04537G | CMIP Antibody (C-term) | 100 μl | Polyclonal Antibodies |
|
$495.00 | Add Ask | ||
| 3 | Leading Biology | APR12422G | Human H4 Histamine Receptor (extracellular) Antibody | 50 μl | Polyclonal Antibodies |
|
$695.00 | Add Ask | ||
| 4 | Leading Biology | APR03844G | UBE2W Antibody (C-term) | 100 μl | Polyclonal Antibodies |
|
$495.00 | Add Ask | ||
| 5 | Leading Biology | APR04349G | HECTD2 Antibody (N-term) | 100 μl | Polyclonal Antibodies |
|
$495.00 | Add Ask | ||
| 6 | Leading Biology | APR03502G | IGHG1 Antibody (Center) | 100 μl | Polyclonal Antibodies |
|
$495.00 | Add Ask |
Leading Biology Inc.
2600 Hilltop DR, Building G, B Suite C138
Richmond, CA, 94806
Tel: 1-661-524(LBI)-0262
Email: info@leadingbiology.com
Complete this form and click send to ask us a question, request a quote or simply say hello.

You have 0 item in your cart

You have 0 item in your inquiry list