> Antigen, Antibodies, ELISA, Western Blot > Primary Antibody > Polyclonal Antibodies > Aldolase A (ALDOA) Antibody (CT)Brand |
Leading Biology | Catalog Number |
APG01810G |
Product Type |
Polyclonal Antibodies | Field of Research |
|
Product Overview |
We constantly strive to ensure we provide our customers with the best antibodies. As a result of this work we offer this antibody in purified format.
We are in the process of updating our datasheets. If you have any questions regarding this update, please feel free to contact our technical support team.
This product is a high quality Aldolase A (ALDOA) antibody (CT).
|
||
Molecular Weight |
39420 Da
|
||
Cellular Localization |
Antigen Cellular Localization:
Cytoplasm, myofibril, sarcomere, I band. Cytoplasm, myofibril, sarcomere, M line. Note=In skeletal muscle, accumulates around the M line and within the I band, colocalizing with FBP2 on both sides of the Z line in the absence of Ca(2+)
|
||
Host |
Rabbit
|
||
Species Reactivity |
Human, Mouse, Rabbit
|
||
Target |
ALDOA
|
||
Isotype |
Rabbit IgG
|
||
Symbol |
ALDA
|
||
GeneID |
|||
UniProt ID |
|||
Function |
Plays a key role in glycolysis and gluconeogenesis. In addition, may also function as scaffolding protein (By similarity).
|
||
Summary |
Fructose bisphosphate aldolase A, also known as Aldolase A is a glycolytic enzyme that catalyzes the reversible conversion of fructose-1,6-bisphosphate to glyceraldehyde 3-phosphate and dihydroxyacetone phosphate. It is found in the developing embryo and is produced in even greater amounts in adult muscle. Aldolase A expression is repressed in adult liver, kidney and intestine and similar to aldolase C levels in brain and other nervous tissue. Deficiency has been associated with myopathy and hemolytic anemia. Recombinant human Aldolase A, fused to His-tag at N-terminus, was expressed in E.coli and purified by using conventional chromatography techniques.
|
||
Form |
Liquid. In PBS containing 0.02% sodium azide. |
||
Storage & Stability |
Store at +4°C short term. For long-term storage, aliquot and store at -20°C or below. Stable for 12 months at -20°C. Avoid repeated freeze-thaw cycles.
|
||
Applications |
WB, IHC
|
||
Synonyms |
ALDOA; ALDA; Fructose-bisphosphate aldolase A; Lung cancer antigen NY-LU-1; Muscle-type aldolase.
|
||
Images |
Western blot analysis of mouse liver tissue lysates (35 μg lysate).
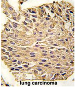
Formalin-fixed and paraffin-embedded human lung carcinoma reacted with ALDOA antibody, which was peroxidase-conjugated to the secondary antibody, followed by DAB staining. |
||
Specification |
|||
Quantity |
|
||
| Select | Brand | Catalog No. | Product Name | Pack Size | Type | Field of Research | Specification | Quantity | Price(USD) | |
| 1 | Leading Biology | APR03440G | ITGA11 Antibody (N-term) | 100 μl | Polyclonal Antibodies |
|
$495.00 | Add Ask | ||
| 2 | Leading Biology | APR04537G | CMIP Antibody (C-term) | 100 μl | Polyclonal Antibodies |
|
$495.00 | Add Ask | ||
| 3 | Leading Biology | APR12422G | Human H4 Histamine Receptor (extracellular) Antibody | 50 μl | Polyclonal Antibodies |
|
$695.00 | Add Ask | ||
| 4 | Leading Biology | APR03844G | UBE2W Antibody (C-term) | 100 μl | Polyclonal Antibodies |
|
$495.00 | Add Ask | ||
| 5 | Leading Biology | APR04349G | HECTD2 Antibody (N-term) | 100 μl | Polyclonal Antibodies |
|
$495.00 | Add Ask | ||
| 6 | Leading Biology | APR03502G | IGHG1 Antibody (Center) | 100 μl | Polyclonal Antibodies |
|
$495.00 | Add Ask |
Leading Biology Inc.
2600 Hilltop DR, Building G, B Suite C138
Richmond, CA, 94806
Tel: 1-661-524(LBI)-0262
Email: info@leadingbiology.com
Complete this form and click send to ask us a question, request a quote or simply say hello.

You have 0 item in your cart

You have 0 item in your inquiry list