> Antigen, Antibodies, ELISA, Western Blot > Primary Antibody > Polyclonal Antibodies > ALDH5A1 Antibody (NT)Brand |
Leading Biology | Catalog Number |
APG01780G |
Product Type |
Polyclonal Antibodies | Field of Research |
|
Product Overview |
We constantly strive to ensure we provide our customers with the best antibodies. As a result of this work we offer this antibody in purified format.
We are in the process of updating our datasheets. If you have any questions regarding this update, please feel free to contact our technical support team.
This product is a high quality ALDH5A1 antibody (NT).
|
||
Molecular Weight |
57215 Da
|
||
Cellular Localization |
Antigen Cellular Localization:
Mitochondrion.
|
||
Host |
Rabbit
|
||
Target |
ALDH5A1
|
||
Isotype |
Rabbit IgG
|
||
Symbol |
SSADH
|
||
GeneID |
|||
UniProt ID |
|||
Function |
Catalyzes one step in the degradation of the inhibitory neurotransmitter gamma-aminobutyric acid (GABA).
|
||
Summary |
Aldehyde dehydrogenases (ALDHs) mediate the NADP+-dependent oxidation of aldehydes into acids and play an important role in the detoxification of alcohol-derived acetaldehyde, as well as in lipid peroxidation and in the metabolism of corticosteroids, biogenic amines and neurotransmitters. ALDH5A1 (aldehyde dehydrogenase 5 family, member A1), also known as SSDH or SSADH, is a 535 amino acid protein that localizes to the mitochondria and belongs to the aldehyde dehydrogenase family. Expressed in a variety of tissues, including liver, heart, lung, brain, kidney and placenta, ALDH5A1 is required for gamma-aminobutyric acid (GABA) recycling from the synaptic cleft. Mutations of ALDH5A1 lead to succinate semialdehyde dehydrogenase deficiency (SSADH deficiency) that is characterized by severe ataxia and by mildly retarded psychomotor development.
|
||
Form |
Liquid. In PBS containing 0.02% sodium azide. |
||
Storage & Stability |
Store at +4°C short term. For long-term storage, aliquot and store at -20°C or below. Stable for 12 months at -20°C. Avoid repeated freeze-thaw cycles.
|
||
Applications |
WB, IHC, FC
|
||
Synonyms |
ALDH5A1; SSADH; Succinate-semialdehyde dehydrogenase, mitochondrial; Aldehyde dehydrogenase family 5 members A1; NAD (+)-dependent succinic semialdehyde dehydrogenase.
|
||
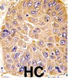
Images |
Formalin-fixed and paraffin-embedded human hepatocarcinoma reacted with ALDH5A1 antibody, which was peroxidase-conjugated to the secondary antibody, followed by DAB staining.
Western blot analysis in 293 cell lysates (35 μg/lane). |
||
Specification |
|||
Quantity |
|
||
| Select | Brand | Catalog No. | Product Name | Pack Size | Type | Field of Research | Specification | Quantity | Price(USD) | |
| 1 | Leading Biology | APR03440G | ITGA11 Antibody (N-term) | 100 μl | Polyclonal Antibodies |
|
$495.00 | Add Ask | ||
| 2 | Leading Biology | APR04537G | CMIP Antibody (C-term) | 100 μl | Polyclonal Antibodies |
|
$495.00 | Add Ask | ||
| 3 | Leading Biology | APR12422G | Human H4 Histamine Receptor (extracellular) Antibody | 50 μl | Polyclonal Antibodies |
|
$695.00 | Add Ask | ||
| 4 | Leading Biology | APR03844G | UBE2W Antibody (C-term) | 100 μl | Polyclonal Antibodies |
|
$495.00 | Add Ask | ||
| 5 | Leading Biology | APR04349G | HECTD2 Antibody (N-term) | 100 μl | Polyclonal Antibodies |
|
$495.00 | Add Ask | ||
| 6 | Leading Biology | APR03502G | IGHG1 Antibody (Center) | 100 μl | Polyclonal Antibodies |
|
$495.00 | Add Ask |
Leading Biology Inc.
2600 Hilltop DR, Building G, B Suite C138
Richmond, CA, 94806
Tel: 1-661-524(LBI)-0262
Email: info@leadingbiology.com
Complete this form and click send to ask us a question, request a quote or simply say hello.

You have 0 item in your cart

You have 0 item in your inquiry list