> Antigen, Antibodies, ELISA, Western Blot > Primary Antibody > Polyclonal Antibodies > ABCG1 Antibody (Center)Brand |
Leading Biology | Catalog Number |
APG01452G |
Product Type |
Polyclonal Antibodies | Field of Research |
|
Product Overview |
We constantly strive to ensure we provide our customers with the best antibodies. As a result of this work we offer this antibody in purified format.
We are in the process of updating our datasheets. If you have any questions regarding this update, please feel free to contact our technical support team.
This product is a high quality ABCG1 antibody (Center).
|
||
Molecular Weight |
75592 Da
|
||
Cellular Localization |
Antigen Cellular Localization:
Mitochondrion. Endoplasmic reticulum membrane; Multi-pass membrane protein. Golgi apparatus membrane; Multi-pass membrane protein. Note=Predominantly localized in the intracellular compartments mainly associated with the endoplasmic reticulum (ER) and Golgi membranes
|
||
Host |
Rabbit
|
||
Species Reactivity |
Human
|
||
Target |
ABCG1
|
||
Isotype |
Rabbit IgG
|
||
Symbol |
ABC8, WHT1
|
||
GeneID |
|||
UniProt ID |
|||
Function |
Transporter involved in macrophage lipid homeostasis. Is an active component of the macrophage lipid export complex. Could also be involved in intracellular lipid transport processes. The role in cellular lipid homeostasis may not be limited to macrophages.
|
||
Summary |
ABCG1 (ATP-binding cassette sub-family G member 1), a transporter protein primarily involved in macrophage lipid homeostasis, localizes to intracellular compartments associated with ER /Golgi membranes, and its expression is highest in macrophage-rich tissue such as spleen, lung, and thymus as well as in brain. ABCG1 form heterodimers with heterologous ABCG partners and functional heterodimerization with ABCG4 has been of great interest because brain cells, mainly neurons and astrocytes, depict high expression of both transporters. ABCG1 is involved in the export of a variety of lipids (in conjunction with ABCA1) including cholesterol and phospholipids from macrophages to HDL. Macrophage lipid export is the first step in the reverse cholesterol transport pathway that exports cholesterol from peripheral cells to circulating lipoproteins for eventual excretion via liver. Cholesterol export to lipoprotein acceptors is compromised in macrophage foam cells, one of the early hallmarks of atherosclerosis. Moreover, ABCG1 plays role in T cells/inflammation, brain lipid homeostasis and its expression increases in macrophages of Tangier disease patients.
|
||
Form |
Liquid. In PBS containing 0.02% sodium azide. |
||
Storage & Stability |
Store at +4°C short term. For long-term storage, aliquot and store at -20°C or below. Stable for 12 months at -20°C. Avoid repeated freeze-thaw cycles.
|
||
Applications |
WB, IHC, FC
|
||
Synonyms |
ABCG1; ABC8; WHT1; ATP-binding cassette sub-family G member 1; ATP-binding cassette transporter 8; White protein homolog
|
||
Images |
Western blot analysis of ABCG1 Antibody (Center) in 293 cell line lysates (35 μg/lane). ABCG1 (arrow) was detected using the purified pAb.
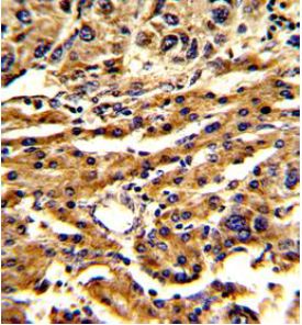
Formalin-fixed and paraffin-embedded human hepatocarcinoma reacted with ABCG1 Antibody (Center), which was peroxidase-conjugated to the secondary antibody, followed by DAB staining. This data demonstrates the use of this antibody for immunohistochemistry; clinical relevance has not been evaluated. |
||
Specification |
|||
Quantity |
|
||
| Select | Brand | Catalog No. | Product Name | Pack Size | Type | Field of Research | Specification | Quantity | Price(USD) | |
| 1 | Leading Biology | APR03440G | ITGA11 Antibody (N-term) | 100 μl | Polyclonal Antibodies |
|
$495.00 | Add Ask | ||
| 2 | Leading Biology | APR04537G | CMIP Antibody (C-term) | 100 μl | Polyclonal Antibodies |
|
$495.00 | Add Ask | ||
| 3 | Leading Biology | APR12422G | Human H4 Histamine Receptor (extracellular) Antibody | 50 μl | Polyclonal Antibodies |
|
$695.00 | Add Ask | ||
| 4 | Leading Biology | APR03844G | UBE2W Antibody (C-term) | 100 μl | Polyclonal Antibodies |
|
$495.00 | Add Ask | ||
| 5 | Leading Biology | APR04349G | HECTD2 Antibody (N-term) | 100 μl | Polyclonal Antibodies |
|
$495.00 | Add Ask | ||
| 6 | Leading Biology | APR03502G | IGHG1 Antibody (Center) | 100 μl | Polyclonal Antibodies |
|
$495.00 | Add Ask |
Leading Biology Inc.
2600 Hilltop DR, Building G, B Suite C138
Richmond, CA, 94806
Tel: 1-661-524(LBI)-0262
Email: info@leadingbiology.com
Complete this form and click send to ask us a question, request a quote or simply say hello.

You have 0 item in your cart

You have 0 item in your inquiry list