> Antigen, Antibodies, ELISA, Western Blot > Primary Antibody > Polyclonal Antibodies > DCI Antibody (C-term)Brand |
Leading Biology | Catalog Number |
APR07520G |
Product Type |
Polyclonal Antibodies | Field of Research |
|
Product Overview |
We constantly strive to ensure we provide our customers with the best antibodies. As a result of this work we offer this antibody in purified format.
We are in the process of updating our datasheets. If you have any questions regarding this update, please feel free to contact our technical support team.
This product is a high quality DCI antibody (C-term).
|
||
Molecular Weight |
32816 Da
|
||
Cellular Localization |
Antigen Cellular Localization:
Mitochondrion matrix.
|
||
Host |
Rabbit
|
||
Species Reactivity |
Human
|
||
Immunogen |
275-302 aa
|
||
Target |
This DCI antibody is generated from rabbits immunized with a KLH conjugated synthetic peptide between 275-302 amino acids from the C-terminal region of human DCI.
|
||
Isotype |
Rabbit Ig
|
||
Symbol |
DCI
|
||
GeneID |
|||
UniProt ID |
|||
Function |
Able to isomerize both 3-cis and 3-trans double bonds into the 2-trans form in a range of enoyl-CoA species.
|
||
Summary |
DCI is a member of the hydratase/isomerase superfamily. The protein encoded is a key mitochondrial enzyme involved in beta-oxidation of unsaturated fatty acids. It catalyzes the transformation of 3-cis and 3-trans-enoyl-CoA esters arising during the stepwise degradation of cis-, mono-, and polyunsaturated fatty acids to the 2-trans-enoyl-CoA intermediates.
|
||
Form |
Purified polyclonal antibody supplied in PBS with 0.09% (W/V) sodium azide. This antibody is purified through a protein A column, followed by peptide affinity purification. |
||
Storage & Stability |
Store at +4°C short term. For long-term storage, aliquot and store at -20°C or below. Stable for 12 months at -20°C. Avoid repeated freeze-thaw cycles.
|
||
Applications |
WB, IHC-P, FC, E
|
||
Dilution |
WB~~1:1000
IHC-P~~1:10~50
FC~~1:10~50
|
||
Synonyms |
Enoyl-CoA delta isomerase 1, mitochondrial, 2-trans-enoyl-CoA isomerase, Delta(3), Delta(2)-enoyl-CoA isomerase, D3, D2-enoyl-CoA isomerase, Dodecenoyl-CoA isomerase, ECI1, DCI
|
||
Images |
Anti-DCI Antibody (C-term) at 1:1000 dilution + HepG2 whole cell lysate Lysates/proteins at 20 μg per lane. Secondary Goat Anti-Rabbit IgG, (H+L), Peroxidase conjugated at 1/10000 dilution. Predicted band size : 33 kDa Blocking/Dilution buffer: 5% NFDM/TBST.
Anti-DCI Antibody (C-term) at 1:1000 dilution + HepG2 whole cell lysate Lysates/proteins at 20 μg per lane. Secondary Goat Anti-Rabbit IgG, (H+L), Peroxidase conjugated at 1/10000 dilution. Predicted band size : 33 kDa Blocking/Dilution buffer: 5% NFDM/TBST.
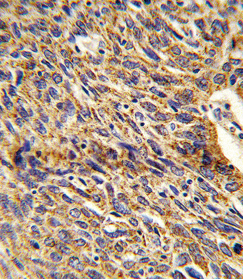
Formalin-fixed and paraffin-embedded human lung carcinoma reacted with DCI Antibody (C-term), which was peroxidase-conjugated to the secondary antibody, followed by DAB staining. This data demonstrates the use of this antibody for immunohistochemistry; clinical relevance has not been evaluated. |
||
Specification |
|||
Quantity |
|
||
| Select | Brand | Catalog No. | Product Name | Pack Size | Type | Field of Research | Specification | Quantity | Price(USD) | |
| 1 | Leading Biology | APR03440G | ITGA11 Antibody (N-term) | 100 μl | Polyclonal Antibodies |
|
$495.00 | Add Ask | ||
| 2 | Leading Biology | APR04537G | CMIP Antibody (C-term) | 100 μl | Polyclonal Antibodies |
|
$495.00 | Add Ask | ||
| 3 | Leading Biology | APR12422G | Human H4 Histamine Receptor (extracellular) Antibody | 50 μl | Polyclonal Antibodies |
|
$695.00 | Add Ask | ||
| 4 | Leading Biology | APR03844G | UBE2W Antibody (C-term) | 100 μl | Polyclonal Antibodies |
|
$495.00 | Add Ask | ||
| 5 | Leading Biology | APR04349G | HECTD2 Antibody (N-term) | 100 μl | Polyclonal Antibodies |
|
$495.00 | Add Ask | ||
| 6 | Leading Biology | APR03502G | IGHG1 Antibody (Center) | 100 μl | Polyclonal Antibodies |
|
$495.00 | Add Ask |
Leading Biology Inc.
2600 Hilltop DR, Building G, B Suite C138
Richmond, CA, 94806
Tel: 1-661-524(LBI)-0262
Email: info@leadingbiology.com
Complete this form and click send to ask us a question, request a quote or simply say hello.

You have 0 item in your cart

You have 0 item in your inquiry list