> Antigen, Antibodies, ELISA, Western Blot > Primary Antibody > Polyclonal Antibodies > HK2 (Hexokinase II) Antibody (Center)Brand |
Leading Biology | Catalog Number |
APR07762G |
Product Type |
Polyclonal Antibodies | Field of Research |
|
Product Overview |
We constantly strive to ensure we provide our customers with the best antibodies. As a result of this work we offer this antibody in purified format.
We are in the process of updating our datasheets. If you have any questions regarding this update, please feel free to contact our technical support team.
This product is a high quality HK2 (Hexokinase II) antibody (Center).
|
||
Molecular Weight |
102380 Da
|
||
Cellular Localization |
Antigen Cellular Localization:
Mitochondrion outer membrane. Note=Its hydrophobic N-terminal sequence may be involved in membrane binding.
|
||
Host |
Rabbit
|
||
Species Reactivity |
Human
|
||
Immunogen |
453-483 aa
|
||
Target |
This HK2 (Hexokinase II) antibody is generated from rabbits immunized with a KLH conjugated synthetic peptide between 453-483 amino acids from the Central region of human HK2 (Hexokinase II).
|
||
Isotype |
Rabbit Ig
|
||
GeneID |
|||
UniProt ID |
|||
Summary |
In vertebrates there are four major glucose-phosphorylating isoenzymes, designated hexokinase I, II, III, and IV. Hexokinase is an allosteric enzyme inhibited by its product GLC-6-P. Hexokinase activity is involved in the first step in several metabolic pathways. HK3 is bound to the outer mitochondrial membrane. Its hydrophobic N-terminal sequence may be involved in membrane bindng. It is the predominant hexokinase isozyme expressed in insuline-responsive tissues such as skeletal muscle. The N- and C-terminal halves of this hexokinase show extensive sequence similarity to each other. The catalytic activity is associated with the C-terminus while regulatory function is associated wiht the N-terminus. Although found in NIDDM patients, genetic variations of HK2 do not contribute to the disease.
|
||
Form |
Purified polyclonal antibody supplied in PBS with 0.09% (W/V) sodium azide. This antibody is prepared by Saturated Ammonium Sulfate (SAS) precipitation followed by dialysis against PBS. |
||
Storage & Stability |
Store at +4°C short term. For long-term storage, aliquot and store at -20°C or below. Stable for 12 months at -20°C. Avoid repeated freeze-thaw cycles.
|
||
Applications |
WB, IHC-P, E
|
||
Dilution |
IHC-P~~1:100
WB~~1:1000
|
||
Synonyms |
Hexokinase-2, Hexokinase type II, HK II, Muscle form hexokinase, HK2
|
||
Images |
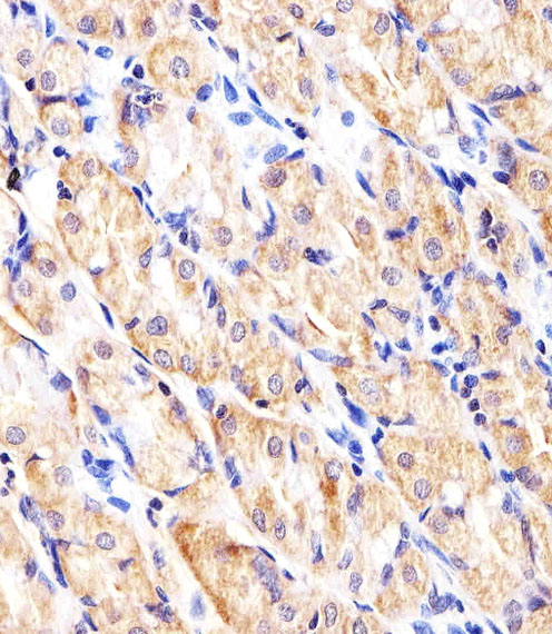
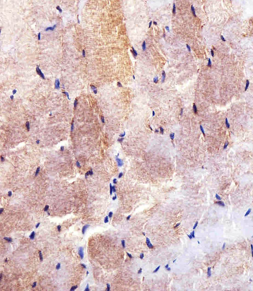
Immunohistochemical analysis of paraffin-embedded H. skeletal muscle section using HK2 (Hexokinase II) Antibody (Center)( APR07762G). APR07762G was diluted at 1:100 dilution. A undiluted biotinylated goat polyvalent antibody was used as the secondary, followed by DAB staining.
Immunohistochemical analysis of paraffin-embedded H. stomach section using HK2 (Hexokinase II) Antibody (Center)( APR07762G). APR07762G was diluted at 1:100 dilution. A undiluted biotinylated goat polyvalent antibody was used as the secondary, followed by DAB staining.
HK2 Antibody (R468) (Cat. APR07762G) western blot analysis in Jurkat cell line lysates (35ug/lane).This demonstrates the HK2 antibody detected the HK2 protein (arrow). |
||
Specification |
|||
Quantity |
|
||
| Select | Brand | Catalog No. | Product Name | Pack Size | Type | Field of Research | Specification | Quantity | Price(USD) | |
| 1 | Leading Biology | APR03440G | ITGA11 Antibody (N-term) | 100 μl | Polyclonal Antibodies |
|
$495.00 | Add Ask | ||
| 2 | Leading Biology | APR04537G | CMIP Antibody (C-term) | 100 μl | Polyclonal Antibodies |
|
$495.00 | Add Ask | ||
| 3 | Leading Biology | APR12422G | Human H4 Histamine Receptor (extracellular) Antibody | 50 μl | Polyclonal Antibodies |
|
$695.00 | Add Ask | ||
| 4 | Leading Biology | APR03844G | UBE2W Antibody (C-term) | 100 μl | Polyclonal Antibodies |
|
$495.00 | Add Ask | ||
| 5 | Leading Biology | APR04349G | HECTD2 Antibody (N-term) | 100 μl | Polyclonal Antibodies |
|
$495.00 | Add Ask | ||
| 6 | Leading Biology | APR03502G | IGHG1 Antibody (Center) | 100 μl | Polyclonal Antibodies |
|
$495.00 | Add Ask |
Leading Biology Inc.
2600 Hilltop DR, Building G, B Suite C138
Richmond, CA, 94806
Tel: 1-661-524(LBI)-0262
Email: info@leadingbiology.com
Complete this form and click send to ask us a question, request a quote or simply say hello.

You have 0 item in your cart

You have 0 item in your inquiry list