> Antigen, Antibodies, ELISA, Western Blot > Primary Antibody > Polyclonal Antibodies > PGK1 Antibody (Center)Brand |
Leading Biology | Catalog Number |
AMM04370G |
Product Type |
Polyclonal Antibodies | Field of Research |
|
Product Overview |
We constantly strive to ensure we provide our customers with the best antibodies. As a result of this work we offer this antibody in purified format.
We are in the process of updating our datasheets. If you have any questions regarding this update, please feel free to contact our technical support team.
This product is a high quality PGK1 antibody (Center).
|
||
Molecular Weight |
44615 Da
|
||
Cellular Localization |
Antigen Cellular Localization:
Cytoplasm.
|
||
Host |
Rabbit
|
||
Species Reactivity |
Human, Mouse
|
||
Immunogen |
117-145 aa
|
||
Target |
This PGK1 antibody is generated from rabbits immunized with a KLH conjugated synthetic peptide between 117-145 amino acids from the Central region of human PGK1.
|
||
Isotype |
Rabbit Ig
|
||
Symbol |
PGKA
|
||
GeneID |
|||
UniProt ID |
|||
Function |
In addition to its role as a glycolytic enzyme, it seems that PGK-1 acts as a polymerase alpha cofactor protein (primer recognition protein).
|
||
Summary |
Also known as ATP:3-phosphoglycerate 1-phosphotransferase (EC 2.7.2.3), this major enzyme in glycolysis catalyzes the reversible conversion of 1,3-diphosphoglycerate to 3-phosphoglycerate, generating one molecule of ATP. New blood vessel formation or angiogenesis is critical for tumor expansion and metastasis. Lay et al. (2000) showed that the plasmin reductase isolated from conditioned medium of fibrosarcoma cells is the glycolytic enzyme phosphoglycerate kinase. They concluded that phosphoglycerate kinase not only functions in glycolysis but is secreted by tumor cells and participates in the angiogenic process as a disulfide reductase.
|
||
Form |
Purified polyclonal antibody supplied in PBS with 0.09% (W/V) sodium azide. This antibody is prepared by Saturated Ammonium Sulfate (SAS) precipitation followed by dialysis against PBS. |
||
Storage & Stability |
Store at +4°C short term. For long-term storage, aliquot and store at -20°C or below. Stable for 12 months at -20°C. Avoid repeated freeze-thaw cycles.
|
||
Applications |
WB, IHC-P, IF, FC, E
|
||
Dilution |
IHC-P~~1:10~50
WB~~1:1000
IF~~1:10~50
FC~~1:10~50
|
||
Synonyms |
Phosphoglycerate kinase 1, Cell migration-inducing gene 10 protein, Primer recognition protein 2, PRP 2, PGK1, PGKA
|
||
Images |
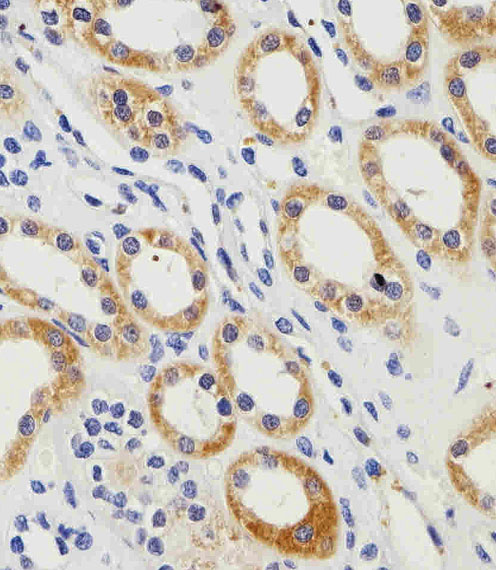
Immunohistochemical analysis of paraffin-embedded H. kidney section using PGK1 Antibody (Center)( AMM04370G). AMM04370G was diluted at 1:100 dilution. A peroxidase-conjugated goat anti-rabbit IgG at 1:400 dilution was used as the secondary antibody, followed by DAB staining.
Western blot analysis of lysates from Hela, U-937 cell line (from left to right), using PGK1 Antibody (G132)( AMM04370G). AMM04370G was diluted at 1:1000 at each lane. A goat anti-rabbit IgG H&L(HRP) at 1:5000 dilution was used as the secondary antibody. Lysates at 35ug per lane.
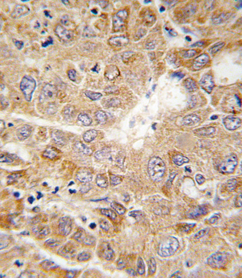
Formalin-fixed and paraffin-embedded human hepatocarcinoma tissue reacted with PGK1 antibody (Center), which was peroxidase-conjugated to the secondary antibody, followed by DAB staining. This data demonstrates the use of this antibody for immunohistochemistry; clinical relevance has not been evaluated. |
||
Specification |
|||
Quantity |
|
||
| Select | Brand | Catalog No. | Product Name | Pack Size | Type | Field of Research | Specification | Quantity | Price(USD) | |
| 1 | Leading Biology | APR03440G | ITGA11 Antibody (N-term) | 100 μl | Polyclonal Antibodies |
|
$495.00 | Add Ask | ||
| 2 | Leading Biology | APR04537G | CMIP Antibody (C-term) | 100 μl | Polyclonal Antibodies |
|
$495.00 | Add Ask | ||
| 3 | Leading Biology | APR12422G | Human H4 Histamine Receptor (extracellular) Antibody | 50 μl | Polyclonal Antibodies |
|
$695.00 | Add Ask | ||
| 4 | Leading Biology | APR03844G | UBE2W Antibody (C-term) | 100 μl | Polyclonal Antibodies |
|
$495.00 | Add Ask | ||
| 5 | Leading Biology | APR04349G | HECTD2 Antibody (N-term) | 100 μl | Polyclonal Antibodies |
|
$495.00 | Add Ask | ||
| 6 | Leading Biology | APR03502G | IGHG1 Antibody (Center) | 100 μl | Polyclonal Antibodies |
|
$495.00 | Add Ask |
Leading Biology Inc.
2600 Hilltop DR, Building G, B Suite C138
Richmond, CA, 94806
Tel: 1-661-524(LBI)-0262
Email: info@leadingbiology.com
Complete this form and click send to ask us a question, request a quote or simply say hello.

You have 0 item in your cart

You have 0 item in your inquiry list