> Antigen, Antibodies, ELISA, Western Blot > Primary Antibody > Polyclonal Antibodies > PDIA6 Antibody (Center K159)Brand |
Leading Biology | Catalog Number |
AMM07078G |
Product Type |
Polyclonal Antibodies | Field of Research |
|
Product Overview |
We constantly strive to ensure we provide our customers with the best antibodies. As a result of this work we offer this antibody in purified format.
We are in the process of updating our datasheets. If you have any questions regarding this update, please feel free to contact our technical support team.
This product is a high quality PDIA6 antibody (Center K159).
|
||
Molecular Weight |
48121 Da
|
||
Cellular Localization |
Antigen Cellular Localization:
Endoplasmic reticulum lumen {ECO:0000255|PROSITE-ProRule:PRU10138}. Cell membrane. Melanosome Note=Identified by mass spectrometry in melanosome fractions from stage I to stage IV
|
||
Host |
Rabbit
|
||
Species Reactivity |
Human, Mouse, Rat
|
||
Immunogen |
144-172 aa
|
||
Target |
This PDIA6 antibody is generated from rabbits immunized with a KLH conjugated synthetic peptide between 144-172 amino acids from the Central region of human PDIA6.
|
||
Isotype |
Rabbit Ig
|
||
Symbol |
ERP5, P5, TXNDC7
|
||
GeneID |
|||
UniProt ID |
|||
Function |
May function as a chaperone that inhibits aggregation of misfolded proteins. Plays a role in platelet aggregation and activation by agonists such as convulxin, collagen and thrombin.
|
||
Summary |
Protein disulfide isomerases (EC 5.3.4.1), such as PDIA6, are endoplasmic reticulum (ER) resident proteins that catalyze formation, reduction, and isomerization of disulfide bonds in proteins and are thought to play a role in folding of disulfide-bonded proteins.
|
||
Form |
Purified polyclonal antibody supplied in PBS with 0.09% (W/V) sodium azide. This antibody is prepared by Saturated Ammonium Sulfate (SAS) precipitation followed by dialysis against PBS. |
||
Storage & Stability |
Store at +4°C short term. For long-term storage, aliquot and store at -20°C or below. Stable for 12 months at -20°C. Avoid repeated freeze-thaw cycles.
|
||
Applications |
WB, IHC-P, FC, IF, E
|
||
Dilution |
IF~~1:100
IHC-P~~1:50~100
WB~~1:1000
FC~~1:10~50
|
||
Synonyms |
Protein disulfide-isomerase A6, Endoplasmic reticulum protein 5, ER protein 5, ERp5, Protein disulfide isomerase P5, Thioredoxin domain-containing protein 7, PDIA6, ERP5, P5, TXNDC7
|
||
Images |
Fluorescent image of HepG2 cells stained with XAF1 PDIA6 Antibody (Center K159)( AMM07078G). AMM07078G was diluted at 1:100 dilution. An Alexa Fluor 488-conjugated goat anti-rabbit lgG at 1:400 dilution was used as the secondary antibody (green). DAPI was used to stain the cell nuclear (blue). Cytoplasmic actin was counterstained with Alexa Fluor? 555 conjugated with Phalloidin (red).
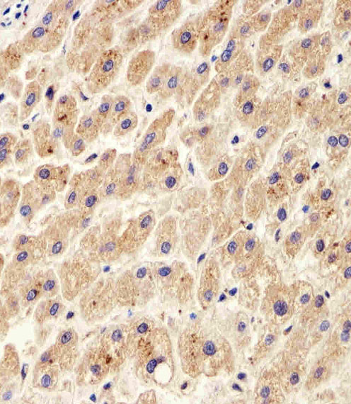
Immunohistochemical analysis of paraffin-embedded H. liver section using PDIA6 Antibody (Center K159)( AMM07078G). AMM07078G was diluted at 1:100 dilution. A peroxidase-conjugated goat anti-rabbit IgG at 1:400 dilution was used as the secondary antibody, followed by DAB staining.
Immunohistochemical analysis of paraffin-embedded H. brain section using PDIA6 Antibody (Center K159)( AMM07078G). AMM07078G was diluted at 1:100 dilution. A peroxidase-conjugated goat anti-rabbit IgG at 1:400 dilution was used as the secondary antibody, followed by DAB staining. |
||
Specification |
|||
Quantity |
|
||
| Select | Brand | Catalog No. | Product Name | Pack Size | Type | Field of Research | Specification | Quantity | Price(USD) | |
| 1 | Leading Biology | APR03440G | ITGA11 Antibody (N-term) | 100 μl | Polyclonal Antibodies |
|
$495.00 | Add Ask | ||
| 2 | Leading Biology | APR04537G | CMIP Antibody (C-term) | 100 μl | Polyclonal Antibodies |
|
$495.00 | Add Ask | ||
| 3 | Leading Biology | APR12422G | Human H4 Histamine Receptor (extracellular) Antibody | 50 μl | Polyclonal Antibodies |
|
$695.00 | Add Ask | ||
| 4 | Leading Biology | APR03844G | UBE2W Antibody (C-term) | 100 μl | Polyclonal Antibodies |
|
$495.00 | Add Ask | ||
| 5 | Leading Biology | APR04349G | HECTD2 Antibody (N-term) | 100 μl | Polyclonal Antibodies |
|
$495.00 | Add Ask | ||
| 6 | Leading Biology | APR03502G | IGHG1 Antibody (Center) | 100 μl | Polyclonal Antibodies |
|
$495.00 | Add Ask |
Leading Biology Inc.
2600 Hilltop DR, Building G, B Suite C138
Richmond, CA, 94806
Tel: 1-661-524(LBI)-0262
Email: info@leadingbiology.com
Complete this form and click send to ask us a question, request a quote or simply say hello.

You have 0 item in your cart

You have 0 item in your inquiry list