> Antigen, Antibodies, ELISA, Western Blot > Primary Antibody > Polyclonal Antibodies > GLS2 Antibody (C-term E513)Brand |
Leading Biology | Catalog Number |
APR07111G |
Product Type |
Polyclonal Antibodies | Field of Research |
|
Product Overview |
We constantly strive to ensure we provide our customers with the best antibodies. As a result of this work we offer this antibody in purified format.
We are in the process of updating our datasheets. If you have any questions regarding this update, please feel free to contact our technical support team.
This product is a high quality GLS2 antibody (C-term E513).
|
||
Molecular Weight |
66323 Da
|
||
Cellular Localization |
Antigen Cellular Localization:
Mitochondrion.
|
||
Host |
Rabbit
|
||
Species Reactivity |
Human, Mouse
|
||
Immunogen |
498-524 aa
|
||
Target |
This GLS2 antibody is generated from rabbits immunized with a KLH conjugated synthetic peptide between 498-524 amino acids from the C-terminal region of human GLS2.
|
||
Isotype |
Rabbit Ig
|
||
Symbol |
GA
|
||
GeneID |
|||
UniProt ID |
|||
Function |
Plays an important role in the regulation of glutamine catabolism. Promotes mitochondrial respiration and increases ATP generation in cells by catalyzing the synthesis of glutamate and alpha-ketoglutarate. Increases cellular anti-oxidant function via NADH and glutathione production. May play a role in preventing tumor proliferation.
|
||
Summary |
The protein encoded by this gene is a mitochondrialphosphate-activated glutaminase that catalyzes the hydrolysis ofglutamine to stoichiometric amounts of glutamate and ammonia. Thisprotein is functionally similar to the kidney glutaminase but is alittle smaller in size. Originally thought to be liver-specific,this protein has been found in other tissues as well. At least onetranscribed pseudogene has been found for this gene. [provided byRefSeq].
|
||
Form |
Purified polyclonal antibody supplied in PBS with 0.09% (W/V) sodium azide. This antibody is purified through a protein A column, followed by peptide affinity purification. |
||
Storage & Stability |
Store at +4°C short term. For long-term storage, aliquot and store at -20°C or below. Stable for 12 months at -20°C. Avoid repeated freeze-thaw cycles.
|
||
Applications |
WB, IHC-P, E
|
||
Dilution |
IHC-P~~1:10~50
WB~~1:1000
|
||
Synonyms |
Glutaminase liver isoform, mitochondrial, GLS, L-glutaminase, L-glutamine amidohydrolase, GLS2, GA
|
||
Images |
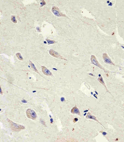
Immunohistochemical analysis of paraffin-embedded H.brain section using GLS2 Antibody (C-term E513)( APR07111G). APR07111G was diluted at 1:25 dilution. A peroxidase-conjugated goat anti-rabbit IgG at 1:400 dilution was used as the secondary antibody, followed by DAB staining.
Western blot analysis of lysate from human brain tissue lysate, using GLS2 Antibody (C-term E513)( APR07111G). APR07111G was diluted at 1:1000. A goat anti-rabbit IgG H&L(HRP) at 1:5000 dilution was used as the secondary antibody. Lysate at 35ug.
GLS2 Antibody (C-term E513) (Cat. APR07111G) western blot analysis in mouse brain tissue lysates (35ug/lane).This demonstrates the GLS2 antibody detected the GLS2 protein (arrow). |
||
Specification |
|||
Quantity |
|
||
| Select | Brand | Catalog No. | Product Name | Pack Size | Type | Field of Research | Specification | Quantity | Price(USD) | |
| 1 | Leading Biology | APR03440G | ITGA11 Antibody (N-term) | 100 μl | Polyclonal Antibodies |
|
$495.00 | Add Ask | ||
| 2 | Leading Biology | APR04537G | CMIP Antibody (C-term) | 100 μl | Polyclonal Antibodies |
|
$495.00 | Add Ask | ||
| 3 | Leading Biology | APR12422G | Human H4 Histamine Receptor (extracellular) Antibody | 50 μl | Polyclonal Antibodies |
|
$695.00 | Add Ask | ||
| 4 | Leading Biology | APR03844G | UBE2W Antibody (C-term) | 100 μl | Polyclonal Antibodies |
|
$495.00 | Add Ask | ||
| 5 | Leading Biology | APR04349G | HECTD2 Antibody (N-term) | 100 μl | Polyclonal Antibodies |
|
$495.00 | Add Ask | ||
| 6 | Leading Biology | APR03502G | IGHG1 Antibody (Center) | 100 μl | Polyclonal Antibodies |
|
$495.00 | Add Ask |
Leading Biology Inc.
2600 Hilltop DR, Building G, B Suite C138
Richmond, CA, 94806
Tel: 1-661-524(LBI)-0262
Email: info@leadingbiology.com
Complete this form and click send to ask us a question, request a quote or simply say hello.

You have 0 item in your cart

You have 0 item in your inquiry list