> Antigen, Antibodies, ELISA, Western Blot > Primary Antibody > Polyclonal Antibodies > FADS2 Antibody (Center)Brand |
Leading Biology | Catalog Number |
AMM04502G |
Product Type |
Polyclonal Antibodies | Field of Research |
|
Product Overview |
We constantly strive to ensure we provide our customers with the best antibodies. As a result of this work we offer this antibody in purified format.
We are in the process of updating our datasheets. If you have any questions regarding this update, please feel free to contact our technical support team.
This product is a high quality FADS2 antibody (Center).
|
||
Molecular Weight |
52259 Da
|
||
Cellular Localization |
Antigen Cellular Localization:
Endoplasmic reticulum membrane; Multi-pass membrane protein
|
||
Host |
Rabbit
|
||
Species Reactivity |
Human
|
||
Immunogen |
96-122 aa
|
||
Target |
This FADS2 antibody is generated from rabbits immunized with a KLH conjugated synthetic peptide between 96-122 amino acids from the Central region of human FADS2.
|
||
Isotype |
Rabbit Ig
|
||
GeneID |
|||
UniProt ID |
|||
Function |
Component of a lipid metabolic pathway that catalyzes biosynthesis of highly unsaturated fatty acids (HUFA) from precursor essential polyunsaturated fatty acids (PUFA) linoleic acid (LA) (18:2n-6) and alpha-linolenic acid (ALA) (18:3n-3). Catalyzes the first and rate limiting step in this pathway which is the desaturation of LA (18:2n-6) and ALA (18:3n-3) into gamma- linoleic acid (GLA) (18:3n-6) and stearidonic acid (18:4n-3) respectively and other desaturation steps. Highly unsaturated fatty acids (HUFA) play pivotal roles in many biological functions. It catalizes as well the introduction of a cis double bond in palmitate to produce the mono-unsaturated fatty acid sapienate, the most abundant fatty acid in sebum.
|
||
Summary |
The protein encoded by this gene is a member of the fattyacid desaturase (FADS) gene family. Desaturase enzymes regulateunsaturation of fatty acids through the introduction of doublebonds between defined carbons of the fatty acyl chain. FADS familymembers are considered fusion products composed of an N-terminalcytochrome b5-like domain and a C-terminal multiplemembrane-spanning desaturase portion, both of which arecharacterized by conserved histidine motifs. This gene is clusteredwith family members FADS1 and FADS2 at 11q12-q13.1; this cluster isthought to have arisen evolutionarily from gene duplication basedon its similar exon/intron organization.
|
||
Form |
Purified polyclonal antibody supplied in PBS with 0.09% (W/V) sodium azide. This antibody is purified through a protein A column, followed by peptide affinity purification. |
||
Storage & Stability |
Store at +4°C short term. For long-term storage, aliquot and store at -20°C or below. Stable for 12 months at -20°C. Avoid repeated freeze-thaw cycles.
|
||
Applications |
WB, FC, IHC-P, E
|
||
Dilution |
IHC-P~~1:25
WB~~1:1000
FC~~1:10~50
|
||
Synonyms |
Fatty acid desaturase 2, 11419-, Delta(6) fatty acid desaturase, D6D, Delta(6) desaturase, Delta-6 desaturase, FADS2
|
||
Images |
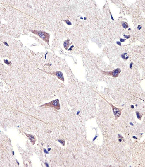
Immunohistochemical analysis of paraffin-embedded H.brain section using FADS2 Antibody (Center)( AMM04502G). AMM04502G was diluted at 1:25 dilution. A peroxidase-conjugated goat anti-rabbit IgG at 1:400 dilution was used as the secondary antibody, followed by DAB staining.
FADS2 Antibody (Center) (Cat. AMM04502G) western blot analysis in CEM cell line lysates (35ug/lane).This demonstrates the FADS2 antibody detected the FADS2 protein (arrow).
FADS2 Antibody (Center) (Cat. AMM04502G) flow cytometric analysis of CEM cells (right histogram) compared to a negative control cell (left histogram).FITC-conjugated goat-anti-rabbit secondary antibodies were used for the analysis. |
||
Specification |
|||
Quantity |
|
||
| Select | Brand | Catalog No. | Product Name | Pack Size | Type | Field of Research | Specification | Quantity | Price(USD) | |
| 1 | Leading Biology | APR03440G | ITGA11 Antibody (N-term) | 100 μl | Polyclonal Antibodies |
|
$495.00 | Add Ask | ||
| 2 | Leading Biology | APR04537G | CMIP Antibody (C-term) | 100 μl | Polyclonal Antibodies |
|
$495.00 | Add Ask | ||
| 3 | Leading Biology | APR12422G | Human H4 Histamine Receptor (extracellular) Antibody | 50 μl | Polyclonal Antibodies |
|
$695.00 | Add Ask | ||
| 4 | Leading Biology | APR03844G | UBE2W Antibody (C-term) | 100 μl | Polyclonal Antibodies |
|
$495.00 | Add Ask | ||
| 5 | Leading Biology | APR04349G | HECTD2 Antibody (N-term) | 100 μl | Polyclonal Antibodies |
|
$495.00 | Add Ask | ||
| 6 | Leading Biology | APR03502G | IGHG1 Antibody (Center) | 100 μl | Polyclonal Antibodies |
|
$495.00 | Add Ask |
Leading Biology Inc.
2600 Hilltop DR, Building G, B Suite C138
Richmond, CA, 94806
Tel: 1-661-524(LBI)-0262
Email: info@leadingbiology.com
Complete this form and click send to ask us a question, request a quote or simply say hello.

You have 0 item in your cart

You have 0 item in your inquiry list