> Antigen, Antibodies, ELISA, Western Blot > Primary Antibody > Polyclonal Antibodies > PSMAL Antibody (Center)Brand |
Leading Biology | Catalog Number |
AMR09579G |
Product Type |
Polyclonal Antibodies | Field of Research |
|
Product Overview |
We constantly strive to ensure we provide our customers with the best antibodies. As a result of this work we offer this antibody in purified format.
We are in the process of updating our datasheets. If you have any questions regarding this update, please feel free to contact our technical support team.
This product is a high quality PSMAL antibody (Center).
|
||
Molecular Weight |
50045 Da
|
||
Cellular Localization |
Antigen Cellular Localization:
Cytoplasm.
|
||
Host |
Rabbit
|
||
Species Reactivity |
Human
|
||
Immunogen |
155-183 aa
|
||
Target |
This PSMAL antibody is generated from rabbits immunized with a KLH conjugated synthetic peptide between 155-183 amino acids from the Central region of human PSMAL.
|
||
Isotype |
Rabbit Ig
|
||
Symbol |
PSMAL
|
||
GeneID |
|||
UniProt ID |
|||
Function |
Has both folate hydrolase and N-acetylated-alpha-linked- acidic dipeptidase (NAALADase) activity.
|
||
Summary |
PSMAL has both folate hydrolase and N-acetylated-alpha-linked-acidic dipeptidase (NAALADase) activity (By similarity). PSMAL exhibits a dipeptidyl-peptidase IV type activity
|
||
Form |
Purified polyclonal antibody supplied in PBS with 0.09% (W/V) sodium azide. This antibody is purified through a protein A column, followed by peptide affinity purification. |
||
Storage & Stability |
Store at +4°C short term. For long-term storage, aliquot and store at -20°C or below. Stable for 12 months at -20°C. Avoid repeated freeze-thaw cycles.
|
||
Applications |
WB, IHC-P, FC, E
|
||
Dilution |
IHC-P~~1:50~100
WB~~1:1000
FC~~1:10~50
|
||
Synonyms |
Putative N-acetylated-alpha-linked acidic dipeptidase, NAALADase, 34--, Cell growth-inhibiting gene 26 protein, Prostate-specific membrane antigen-like protein, Putative folate hydrolase 1B, FOLH1B, PSMAL
|
||
Images |
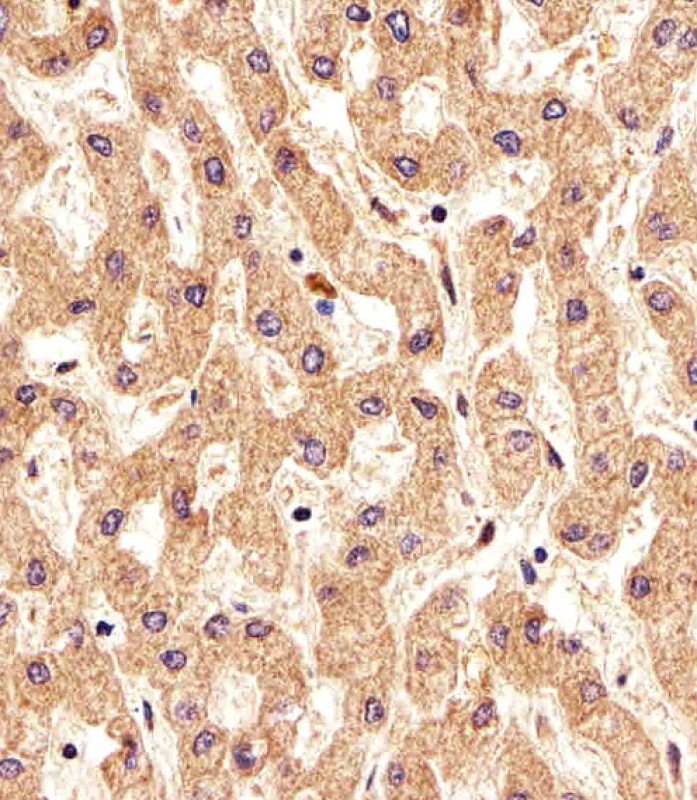
Immunohistochemical analysis of paraffin-embedded H. liver section using PSMAL Antibody (Center)( AMR09579G). AMR09579G was diluted at 1:25 dilution. A undiluted biotinylated goat polyvalent antibody was used as the secondary, followed by DAB staining.
Western blot analysis of lysate from human kidney tissue lysate, using PSMAL Antibody (Center)( AMR09579G). AMR09579G was diluted at 1:1000. A goat anti-rabbit IgG H&L(HRP) at 1:10000 dilution was used as the secondary antibody. Lysate at 35ug.
Western blot analysis of PSMAL Antibody (Center) (Cat. AMR09579G) in K562 cell line lysates (35ug/lane).PSMAL (arrow) was detected using the purified Pab. |
||
Specification |
|||
Quantity |
|
||
| Select | Brand | Catalog No. | Product Name | Pack Size | Type | Field of Research | Specification | Quantity | Price(USD) | |
| 1 | Leading Biology | APR03440G | ITGA11 Antibody (N-term) | 100 μl | Polyclonal Antibodies |
|
$495.00 | Add Ask | ||
| 2 | Leading Biology | APR04537G | CMIP Antibody (C-term) | 100 μl | Polyclonal Antibodies |
|
$495.00 | Add Ask | ||
| 3 | Leading Biology | APR12422G | Human H4 Histamine Receptor (extracellular) Antibody | 50 μl | Polyclonal Antibodies |
|
$695.00 | Add Ask | ||
| 4 | Leading Biology | APR03844G | UBE2W Antibody (C-term) | 100 μl | Polyclonal Antibodies |
|
$495.00 | Add Ask | ||
| 5 | Leading Biology | APR04349G | HECTD2 Antibody (N-term) | 100 μl | Polyclonal Antibodies |
|
$495.00 | Add Ask | ||
| 6 | Leading Biology | APR03502G | IGHG1 Antibody (Center) | 100 μl | Polyclonal Antibodies |
|
$495.00 | Add Ask |
Leading Biology Inc.
2600 Hilltop DR, Building G, B Suite C138
Richmond, CA, 94806
Tel: 1-661-524(LBI)-0262
Email: info@leadingbiology.com
Complete this form and click send to ask us a question, request a quote or simply say hello.

You have 0 item in your cart

You have 0 item in your inquiry list