> Antigen, Antibodies, ELISA, Western Blot > Primary Antibody > Polyclonal Antibodies > KCTD11 Antibody (N-Term)Brand |
Leading Biology | Catalog Number |
AMM06173G |
Product Type |
Polyclonal Antibodies | Field of Research |
|
Product Overview |
We constantly strive to ensure we provide our customers with the best antibodies. As a result of this work we offer this antibody in purified format.
We are in the process of updating our datasheets. If you have any questions regarding this update, please feel free to contact our technical support team.
This product is a high quality KCTD11 antibody (N-Term).
|
||
Molecular Weight |
25887 Da
|
||
Host |
Rabbit
|
||
Species Reactivity |
Human, Mouse
|
||
Target |
This KCTD11 antibody is generated from a rabbit immunized with a KLH conjugated synthetic peptide between 21-53 amino acids from human KCTD11.
|
||
Isotype |
Rabbit Ig
|
||
Symbol |
C17orf36, REN
|
||
GeneID |
|||
UniProt ID |
|||
Function |
Plays a role as a marker and a regulator of neuronal differentiation; Up-regulated by a variety of neurogenic signals, such as retinoic acid, epidermal growth factor/EGF and NGFB/nerve growth factor. Induces apoptosis, growth arrest and the expression of cyclin-dependent kinase inhibitor CDKN1B. Plays a role as a tumor repressor and inhibits cell growth and tumorigenicity of medulloblastoma (MDB). Acts as an E3 ubiquitin-protein ligase towards HDAC1, leading to its proteasomal degradation. Functions as antagonist of the Hedgehog pathway on cell proliferation and differentiation by affecting the nuclear transfer of transcrition factor GLI1, thus maintaining cerebellar granule cells in undifferentiated state, this effect probably occurs via HDAC1 down-regulation, keeping GLI1 acetylated and inactive. When knock- down, Hedgehog antagonism is impaired and proliferation of granule cells is sustained. Activates the caspase cascade.
|
||
Summary |
Plays a role as a marker and a regulator of neuronal differentiation; Up-regulated by a variety of neurogenic signals, such as retinoic acid, epidermal growth factor/EGF and NGFB/nerve growth factor. Induces apoptosis, growth arrest and the expression of cyclin-dependent kinase inhibitor CDKN1B. Plays a role as a tumor repressor and inhibits cell growth and tumorigenicity of medulloblastoma (MDB). Acts as an E3 ubiquitin-protein ligase towards HDAC1, leading to its proteasomal degradation. Functions as antagonist of the Hedgehog pathway on cell proliferation and differentiation by affecting the nuclear transfer of transcrition factor GLI1, thus maintaining cerebellar granule cells in undifferentiated state, this effect probably occurs via HDAC1 down-regulation, keeping GLI1 acetylated and inactive. When knock- down, Hedgehog antagonism is impaired and proliferation of granule cells is sustained. Activates the caspase cascade.
|
||
Form |
Purified polyclonal antibody supplied in PBS with 0.09% (W/V) sodium azide. This antibody is purified through a protein A column, followed by peptide affinity purification. |
||
Storage & Stability |
Store at +4°C short term. For long-term storage, aliquot and store at -20°C or below. Stable for 12 months at -20°C. Avoid repeated freeze-thaw cycles.
|
||
Applications |
IHC-P, WB, E
|
||
Dilution |
IHC-P~~1:25
WB~~1:1000-1:2000
|
||
Synonyms |
BTB/POZ domain-containing protein KCTD11, KCTD11, C17orf36, REN
|
||
Images |
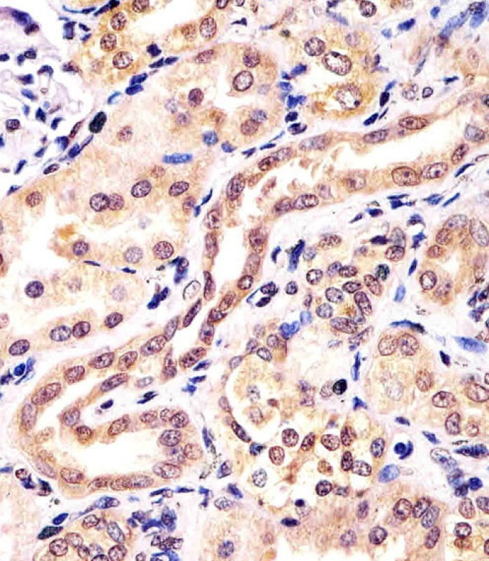
AMM06173G staining KCTD11 in human kidney tissue sections by Immunohistochemistry (IHC-P - paraformaldehyde-fixed, paraffin-embedded sections). Tissue was fixed with formaldehyde and blocked with 3% BSA for 0. 5 hour at room temperature; antigen retrieval was by heat mediation with a citrate buffer (pH6). Samples were incubated with primary antibody (1/25) for 1 hours at 37°C. A undiluted biotinylated goat polyvalent antibody was used as the secondary antibody.
All lanes : Anti-KCTD11 Antibody (N-Term) at 1:1000-1:2000 dilution Lane 1: human brain lysate Lane 2: human cerebellum lysate Lane 3: mouse cerebellum lysate Lysates/proteins at 20 μg per lane. Secondary Goat Anti-Rabbit IgG, (H+L), Peroxidase conjugated at 1/10000 dilution. Predicted band size : 26 kDa Blocking/Dilution buffer: 5% NFDM/TBST. |
||
Specification |
|||
Quantity |
|
||
| Select | Brand | Catalog No. | Product Name | Pack Size | Type | Field of Research | Specification | Quantity | Price(USD) | |
| 1 | Leading Biology | APR03440G | ITGA11 Antibody (N-term) | 100 μl | Polyclonal Antibodies |
|
$495.00 | Add Ask | ||
| 2 | Leading Biology | APR04537G | CMIP Antibody (C-term) | 100 μl | Polyclonal Antibodies |
|
$495.00 | Add Ask | ||
| 3 | Leading Biology | APR12422G | Human H4 Histamine Receptor (extracellular) Antibody | 50 μl | Polyclonal Antibodies |
|
$695.00 | Add Ask | ||
| 4 | Leading Biology | APR03844G | UBE2W Antibody (C-term) | 100 μl | Polyclonal Antibodies |
|
$495.00 | Add Ask | ||
| 5 | Leading Biology | APR04349G | HECTD2 Antibody (N-term) | 100 μl | Polyclonal Antibodies |
|
$495.00 | Add Ask | ||
| 6 | Leading Biology | APR03502G | IGHG1 Antibody (Center) | 100 μl | Polyclonal Antibodies |
|
$495.00 | Add Ask |
Leading Biology Inc.
2600 Hilltop DR, Building G, B Suite C138
Richmond, CA, 94806
Tel: 1-661-524(LBI)-0262
Email: info@leadingbiology.com
Complete this form and click send to ask us a question, request a quote or simply say hello.

You have 0 item in your cart

You have 0 item in your inquiry list